El bloqueo de una proteína combate la metástasis

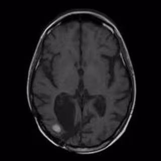
Resonancia Magnética De Un Cerebro Con Metástasis
IDIBELL
Europa Press Chance
Actualizado: viernes, 9 diciembre 2011 15:28

MADRID 9 Dic. (EUROPA PRESS) -

La proliferación de las metástasis es, a menudo, la principal causa de complicaciones y muerte por cáncer. Por primera vez, los investigadores están observando muy de cerca el desarrollo de estas metástasis, en lugar de centrarse en el cáncer primario del que provienen.

En un nuevo estudio, un equipo de investigadores del Centro Suizo de Investigación Experimental sobre el Cáncer (ISREC) de la Escuela politécnica federal de Lausana (Suiza), ha sido capaz de aislar una proteína que juega un papel importante en el desarrollo de la metástasis, demostrando que la formación de cánceres secundarios se podría prevenir mediante el bloqueo de estas proteínas. Los resultados, que han sido publicados en revista 'Nature', favorecerán nuevas opciones terapéuticas para el tratamiento del cáncer en estadio tardío.

Los investigadores ya sabían que las células cancerosas se diseminan ampliamente en todo el cuerpo una vez que se establece un tumor maligno; sin embargo, estas células no siempre provocan un cáncer secundario. Las células cancerosas no son todas iguales: sólo algunas de ellas, conocidas como "células madre del cáncer", pueden iniciar la metástasis aunque, para ello, deben instalarse en un lugar propicio para su desarrollo.

El equipo de ISREC ha logrado demostrar las condiciones necesarias para que el cáncer se propague: "en particular, hemos aislado una proteína, la periostina, en los nichos donde se desarrolla la metástasis", explica Joerg Huelsken, titular de la EPFL, quien añade que "sin esta proteína, las células madre del cáncer no pueden iniciar la metástasis, así que desaparecen o permanecen en estado latente".

La periostina existe de forma natural como parte de la matriz extracelular, y se ha demostrado que participa en el desarrollo fetal. En los adultos, sólo se activa en órganos específicos - las glándulas mamarias, los huesos, la piel y el intestino. Esta investigación parece demostrar que esta proteína, además, juega un papel esencial a la hora de crear el medio ambiente propicio para que una célula madre del cáncer desarrolle metástasis.

Así, los ratones criados sin esta proteína fueron resistentes a la formación de metástasis; "hemos desarrollado un anticuerpo que se adhiere a esta proteína y esperamos que, de esta manera, se bloquee el proceso de formación de metástasis", dice Huelsken, quien añade que estos experimentos que bloquean la proteína periostina dieron lugar a muy pocos efectos secundarios en los ratones, aunque el experto advierte que "esto no significa necesariamente que ocurra lo mismo con las personas, ni siquiera estamos seguros de ser capaces de encontrar un anticuerpo equivalente que funcione en humanos".

Este descubrimiento es, sin embargo, muy alentador, sobre todo porque ahora sabemos que los tumores malignos tienden a diseminarse más rápidamente de lo que se creía. Prevenir el desarrollo de la metástasis es, por lo tanto, una importante opción terapéutica para limitar los efectos nocivos del cáncer.

Contenido patrocinado