Los niños con mejor forma física tienen cerebros más grandes, según un estudio de la Universidad de Granada

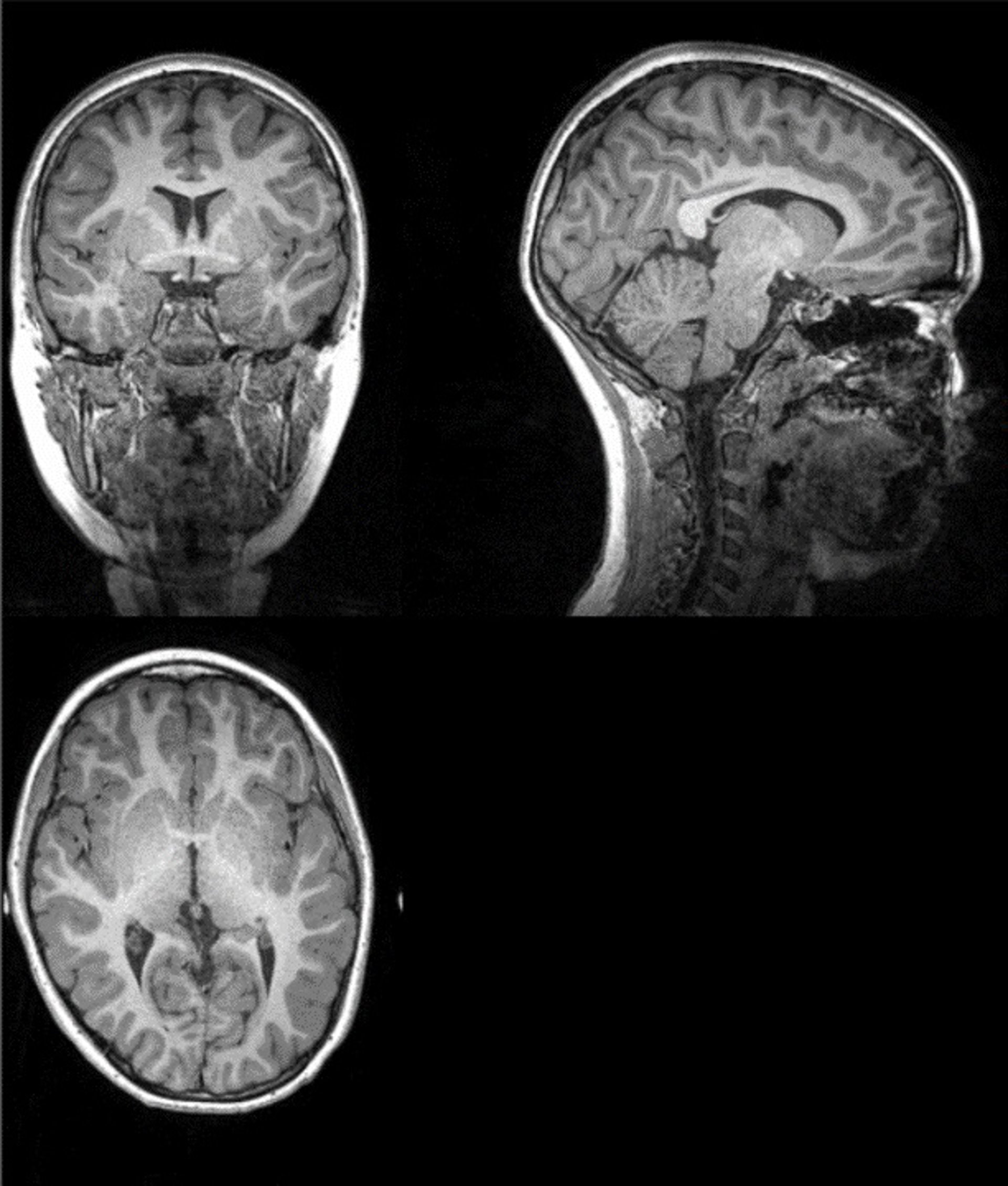
Ejemplo de imagen original de la resonancia magnética a partir de la cual investigadores de la UGR han extraído la cantidad total de materia gris, materia blanca, y cantidad total cerebral
Ejemplo de imagen original de la resonancia magnética a partir de la cual investigadores de la UGR han extraído la cantidad total de materia gris, materia blanca, y cantidad total cerebral - UGR
Europa Press Andalucía
Publicado: jueves, 11 febrero 2021 13:40

GRANADA 11 Feb. (EUROPA PRESS) -

Los niños que tienen mejor forma física tienen cerebros más grandes, según han demostrado investigadores de la Universidad de Granada (UGR), que lideran el proyecto ActiveBrains, en el que han participado más de cien niños con sobrepeso u obesidad.

Según este estudio, la UGR ha informado en una nota de prensa que tanto la capacidad aeróbica como la fuerza o la velocidad están relacionadas con la cantidad de "materia gris y blanca" del cerebro en niños con sobrepeso u obesidad. Además, una mayor cantidad de "materia blanca" en el cerebro está relacionada con un mayor rendimiento cognitivo.

Los investigadores de UGR pertenecen al departamento de Educación Física y Deportiva de la Facultad de Ciencias del Deporte, al Instituto Mixto Salud y Deporte y al Centro de Investigación Mente, Cerebro y Comportamiento.

Este trabajo, publicado en la revista 'Scandinavian Journal of Medicine & Science in Sports', revela que los niños que fueron clasificados como "en forma" tenían mayor cantidad de materia gris, materia blanca, y en general, cerebros más grandes que aquellos niños que fueron agrupados como "en baja forma". Asimismo, tener más materia blanca en el cerebro estaba relacionado con un mayor rendimiento cognitivo, concretamente, mayor flexibilidad cognitiva y función ejecutiva.

"Nuestra investigación demuestra la importancia de tener una buena forma física en edades tempranas para un mejor desarrollo cerebral como es la infancia", ha explicado Cristina Cadenas-Sánchez, investigadora postdoctoral del grupo de investigación Profith de la UGR y autora principal del trabajo.

"Estudios previos habían demostrado que, durante el envejecimiento, el cerebro se va encogiendo y el ejercicio físico y una buena condición física pueden atenuar este proceso fisiológico. Nuestro estudio viene a demostrar, por primera vez, que en el polo opuesto de la vida, la infancia, donde el cerebro está en crecimiento y desarrollo, mantener buenos niveles de condición física está ligado a un mayor desarrollo cerebral total", ha explicado el investigador principal del proyecto, Francisco Bartolomé Ortega.

Estos hallazgos conllevan importantes implicaciones para evaluar los niveles de condición física en etapa escolar, y no es solo informativo del nivel de salud física como ya han demostrado estudios previos, sino también de salud cerebral. También puede servir para abrir las puertas a investigar cómo aumentando el nivel de condición física mediante programas de ejercicio físico en niños "puede beneficiar el desarrollo cerebral y la cognición", ha agregado Ortega.

Últimas noticias sobre estos temas

Contenido patrocinado

Es Andalucía
Cabecera Andalucía
Cabecera Andalucía