Investigadores de Salamanca descubren una ruta clave en la metástasis del cáncer de mama

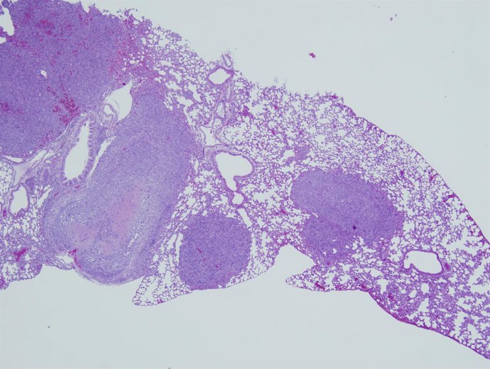
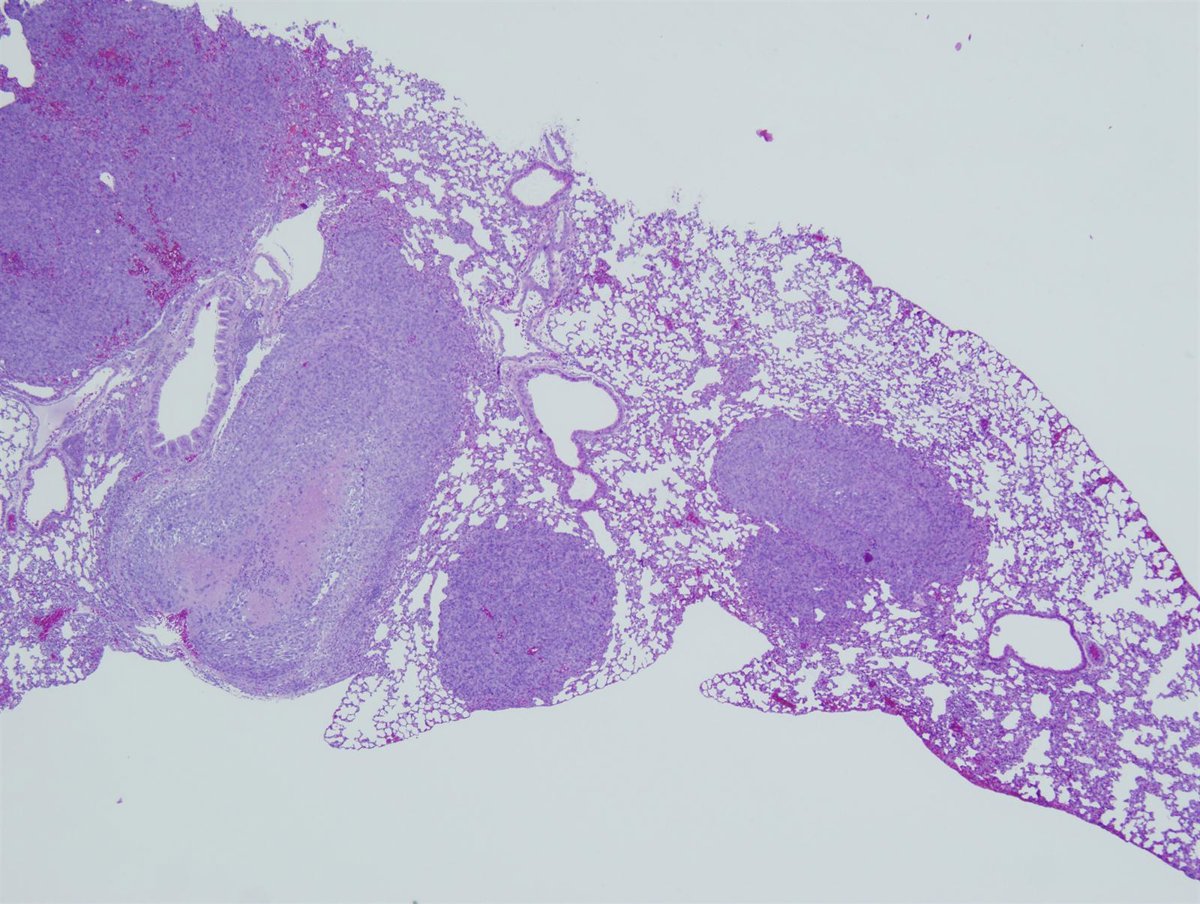
Metástasis de pulmón
CSIC
Europa Press Castilla y León
Actualizado: viernes, 28 septiembre 2012 12:52

Hallan seis proteínas que se coordinan para favorecer el crecimiento del tumor primario

SALAMANCA/MADRID, 28 Sep. (EUROPA PRESS) -

Investigadores del Centro de Investigador del Cáncer de Salamanca y perteneciente a la Red Temática de Investigación Cooperativa en Cáncer (RTICC), dirigidos por el doctor e investigador del Centro Superior de Investigaciones Científicas (CSIC), Xosé Bustelo, han descubierto una nueva vía de señalización que condiciona el crecimiento de tumores de mama y su diseminación metastática hacia el pulmón.

Para llevar a cabo esta investigación, publicada en 'Science Signaling', se inactivó genéticamente el gen que codifica la proteína Vav3 y está frecuentemente enriquecido en muestras tumorales de cáncer de mama, y otro altamente relacionado Vav2 en modelos animales, para comprobar si tenían papeles relevantes en este tipo de tumor.

Los resultados indicaron que las proteínas Vav2 y Vav3 actuaban coordinadamente en el crecimiento del tumor de mama primario y, lo que fue más sorprendentemente, eran críticos para la formación de metástasis.

Asimismo, un estudio subsecuente de las células que carecían de expresión permitió revelar que estas proteínas son esenciales para la expresión de un vasto programa transcripcional en las células de cáncer de mama.

El siguiente paso consistió en averiguar si esta 'firma genética' pro-metastática podía tener interés desde un punto de vista terapéutico o de diagnóstico clínico. Para el primer objetivo, los investigadores seleccionaron genes pertenecientes a esa 'firma genética' que codifican moléculas con potencial terapéutico --que pudiesen ser inhibidas por métodos clásicos como fármacos, anticuerpos o microRNAs-- en esta enfermedad.

Los investigadores descubrieron en esta fase de la investigación que, además de las proteínas Vav2 y Vav3, existían cuatro proteínas adicionales --Ilk, Inhibina betaA, ciclooxigenasa 2 y Tacstd2--- que cuando se inhibían genéticamente disminuían el crecimiento del tumor primario y eliminaban por completo las metástasis del cáncer de mama al pulmón.

Los resultados indican que la inhibición de estas seis proteínas, bien individualmente o de manera combinada, podrían utilizarse en un futuro como dianas terapéuticas.

FIRMA GENÉTICA DIAGNÓSTICA EN PACIENTES

Asimismo, mediante métodos metagenómicos y bioinformáticos se confirmó además el valor diagnóstico de esta 'firma genética' en pacientes con cáncer de mama. Lo que les permitió subsecuentemente definir una 'firma genética diagnóstica' restringida a 102 genes que podía predecir con alta fiabilidad diferentes parámetros de la evolución de pacientes con cáncer de mama: como su grado de supervivencia, posibilidad de recurrencia de la enfermedad, o el posible desarrollo de metástasis en el pulmón.

"Este trabajo ha identificado nuevas dianas terapéuticas y demostrado a nivel pre-clínico que potencialmente serían de interés en este tipo de cáncer. Sin embargo, su implementación práctica vendrá condicionada por la capacidad de desarrollar en un futuro próximo fármacos capaces de inhibirlas de manera efectiva y, obviamente, a que funcionen sin efectos colaterales tóxicos en los pacientes con cáncer. Este trabajo apunta hacia una dirección a seguir, pero todavía falta establecer el camino que nos permita llegar al final del trayecto", ha comentado Bustelo.

Sin embargo, la firma genética diagnóstica podría implementarse rápidamente si existe una empresa interesada en su comercialización. En este sentido, este experto ha explicado que los estudios metagenómicos están basados en el uso de bases de datos procedentes de pacientes con información clínica, por lo que dan una imagen "muy exacta" de cómo funcionaría la firma genética en el mundo real. "Sabemos ya que la firma genética descrita por nuestros grupos es comparable, o incluso mejor, que otras herramientas diagnósticas desarrolladas recientemente como es el caso del MamaPrint", ha confirmado.

Junto con esta publicación, el trabajo ha resultado en dos patentes que protegen los resultados sobre dianas terapéuticas y la firma genética diagnóstica que han sido registradas conjuntamente por la Universidad de Salamanca, el CSIC y el CIEMAT.

Contenido patrocinado