Un estudio del CSIC con más de 8.000 pacientes identifica numerosos genes implicados en vasculitis

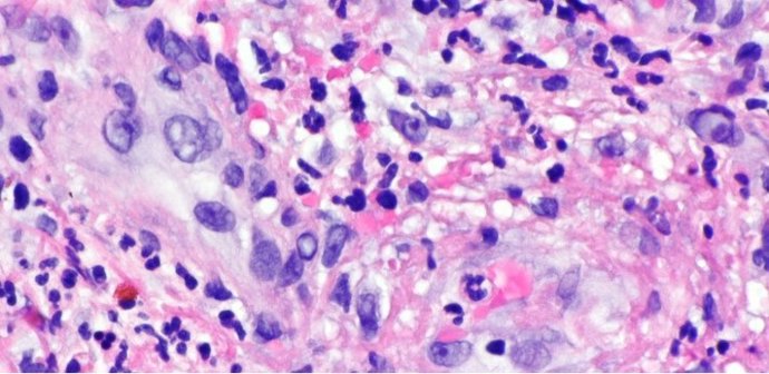
Células afectadas por vasculitis linfocítica.
Células afectadas por vasculitis linfocítica. - WIKIMEDIA.
Europa Press Andalucía
Publicado: viernes, 24 marzo 2023 12:54

GRANADA 24 Mar. (EUROPA PRESS) -

Investigadores del Consejo Superior de Investigaciones Científicas (CSIC) han liderado un gran estudio internacional sobre el componente genético compartido entre los diferentes tipos de vasculitis sistémicas, unas patologías caracterizadas por la inflamación de los vasos sanguíneos y que conllevan importantes daños, incluyendo ceguera y afectación a nivel renal, respiratorio y del sistema nervioso central.

El estudio, publicado en 'Annals of the Rheumatic Diseases', es el mayor de estas características realizado hasta la fecha. Mediante un análisis en profundidad del genoma de más de 8.000 pacientes con ocho tipos distintos de vasculitis y casi 30.000 individuos sanos, los investigadores identificaron 16 regiones del genoma implicadas en el riesgo de desarrollar dos o más de estas enfermedades.

Este estudio demuestra que las distintas vasculitis presentan factores de riesgo compartidos. "Una mejor comprensión del componente genético compartido entre las diferentes formas de vasculitis sistémica resulta fundamental para la identificación de mecanismos biológicos comunes, así como de nuevas opciones terapéuticas que permitan un tratamiento más efectivo de estas patologías", expone Lourdes Ortiz, investigadora del CSIC en el Instituto de Parasitología y Biomedicina López-Neyra.

Las vasculitis representan un grupo de enfermedades autoinmunes heterogéneas desde el punto de vista clínico, todas ellas caracterizadas por la inflamación de la pared de los vasos sanguíneos. En general, estas enfermedades pueden afectar a cualquier parte del cuerpo, presentando una gran variedad de síntomas, algunos con un gran impacto en la salud y en la calidad de vida de los pacientes, como la aparición de aneurisma, ceguera, afectación renal y pulmonar y lesiones en la arteria coronaria, entre otros.

"Las vasculitis están causadas por numerosas variantes genéticas, cada una de ellas con un efecto muy pequeño en el riesgo a padecer la enfermedad, y, además, son enfermedades poco frecuentes. Por ello, este tipo de estudios, en los que se combinan datos genómicos de distintas patologías, resultan fundamentales para poder analizar un número elevado de individuos", afirma Javier Martín, investigador del CSIC en el Instituto de Parasitología y Biomedicina López-Neyra (IPBLN) y uno de los coordinadores del estudio junto a Lourdes Ortiz y Ana Márquez, del mismo centro.

MEDICAMENTOS

Actualmente, existen diversos tratamientos que permiten una mejora de los síntomas; sin embargo, algunos de estos fármacos traen consigo la aparición de importantes efectos adversos y, además, un importante porcentaje de los pacientes no responde a los tratamientos utilizados hasta ahora. Las vasculitis se consideran enfermedades complejas, ya que su desarrollo se debe a la acción conjunta de factores genéticos y ambientales. Sin embargo, el avance en la identificación de los genes implicados en estas patologías ha sido bastante limitado.

Además de las variantes genéticas compartidas en vasculitis, este estudio también identificó los genes afectados por estos cambios genéticos, gran parte de los cuales codifican proteínas que son dianas de fármacos utilizados actualmente en el tratamiento de otras enfermedades autoinmunes, como es el caso de abatacept, indicado para tratar la artritis reumatoide y la artritis psoriásica.

"Nuestros hallazgos tienen relevancia desde el punto de vista clínico, ya que proponemos una serie de fármacos utilizados actualmente en otras enfermedades y que podrían ser útiles en el tratamiento de las vasculitis. Al ser medicamentos ya aprobados, se simplifica y agiliza en gran medida su uso potencial en otras patologías", explica Ana Márquez.

La colaboración internacional ha sido clave para llevar a cabo la exitosa realización de esta investigación liderada por investigadores del IPBLN de Granada. El estudio ha contado con la colaboración de más de 20 investigadores de prestigiosas instituciones de investigación y hospitales de Estados Unidos, Australia, China, Turquía, Singapur, Italia, Reino Unido y España.

Contenido patrocinado

Es Andalucía
Cabecera Andalucía
Cabecera Andalucía