Investigadores del ISPA analizan la aplicación de la inmunoterapia para tumores raros de fosas nasales

Imagenes de la investigación sobre aplicación de inmunoterapia en pacientes con tumores de fosas nasales.
Imagenes de la investigación sobre aplicación de inmunoterapia en pacientes con tumores de fosas nasales. - ISPA
Europa Press Asturias
Publicado: lunes, 11 mayo 2020 14:33


OVIEDO, 11 May. (EUROPA PRESS) -

El equipo de Tumores nasosinusales del Instituto de Investigación Sanitaria del Principado de Asturias (ISPA), dirigido por el Doctor Mario Hermsen, ha publicado un artículo en el que se analiza la posibilidad de utilizar tratamientos inmunológicos en la lucha contra ciertos cánceres raros de fosas nasales.

Se trata de los adenocarcinomas de tipo intestinal, unos tumores raros asociados a la exposición profesional al polvo de madera, que se forman en el techo de las fosas nasales y suelen tener mal pronóstico.

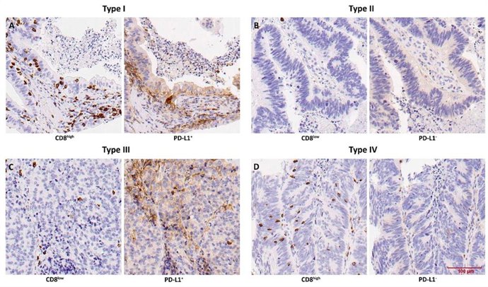
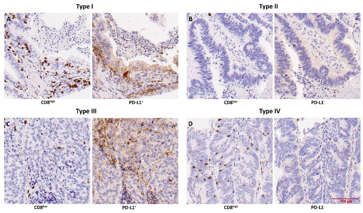
En el estudio, publicado en el número especial que la revista 'Vaccines' dedica a la inmunoterapia, se analizaron más de 100 muestras, buscando presencia de linfocitos T citotóxicos --células encargadas de la respuesta inmunitaria-- así como la expresión de la proteína tumoral PD-L1, que protege a la célula maligna de la acción de los linfocitos.

Los resultados mostraron que los tumores con alta presencia de linfocitos T eran los que tenían mayor tasa de supervivencia, "lo que sugiere un papel del sistema inmune en la lucha del organismo contra la enfermedad", según los investigadores.

Además se identificó un 6% de muestras que además de linfocitos T tenían expresión de PD-L1 y que podrían beneficiarse de un tratamiento con anticuerpos frente a dicha proteína.

El equipo de Tumores nasosinusales forma parte del grupo de Cáncer de Cabeza y Cuello del ISPA y ha sido financiado por la Asociación Española Contra el Cáncer (AECC) para realizar este trabajo, que abre una vía para el tratamiento de tumores que actualmente tienen bajas posibilidades de supervivencia.

Contenido patrocinado