El servicio de Cardiología del HUCA implanta un nuevo modelo de válvula aórtica de mayor tamaño

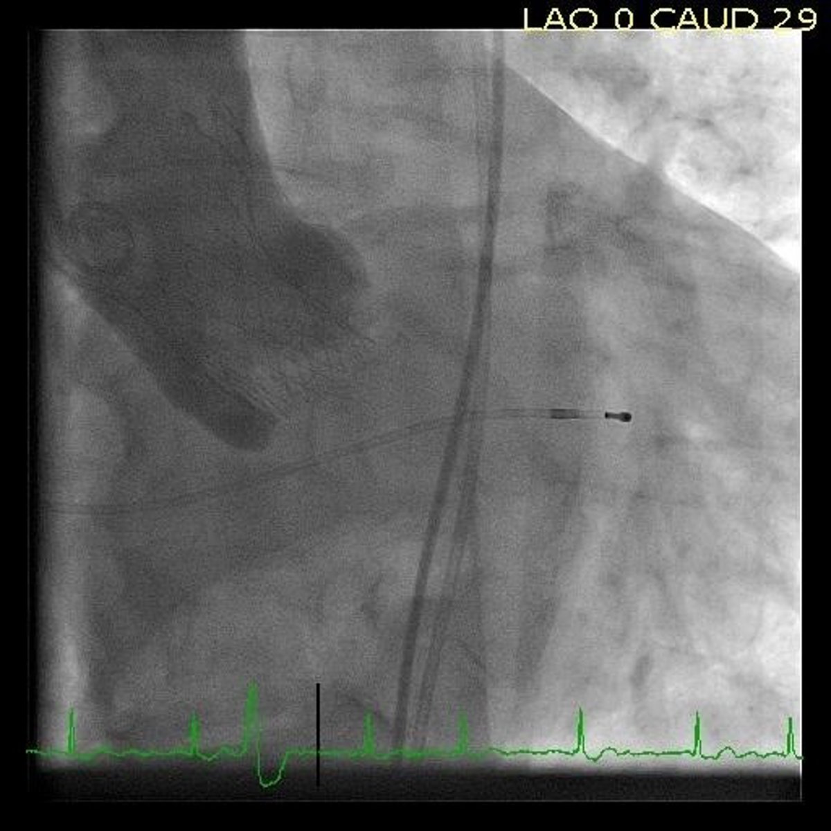
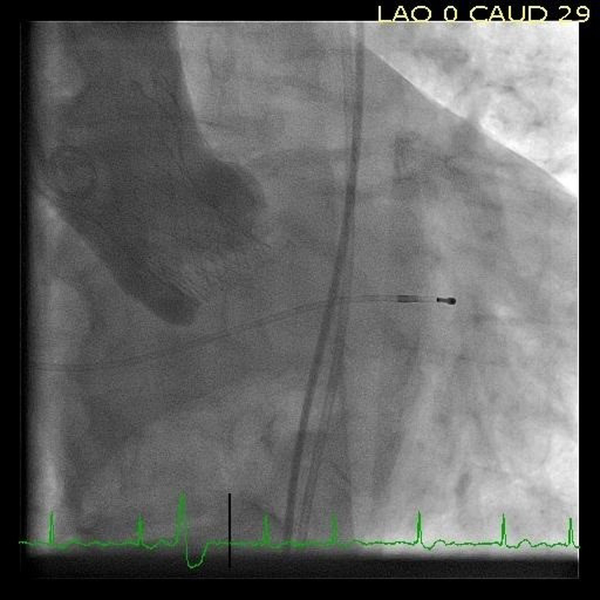
Intervención
GOBIERNO DE ASTURIAS
Europa Press Asturias
Publicado: domingo, 29 enero 2017 10:22

OVIEDO 29 Ene. (EUROPA PRESS) -

El Servicio de Cardiología del Hospital Universitario Central de Asturias (HUCA) ha implantado con éxito este mes, por primera vez en España, un nuevo modelo de válvula aórtica de mayor tamaño que las normales, diseñado especialmente para pacientes con anillos aórticos más grandes que la mayoría de la población. La nueva válvula es de 34 milímetros.

Según ha informado el Gobierno asturiano a través de una nota de prensa, hasta ahora, las intervenciones en este tipo de pacientes únicamente se podían realizar mediante cirugía abierta, pero ahora ya es posible llevarlas a cabo de forma íntegra con catéteres que se introducen a través de arterias de la ingle.

Este avance supone un paso más en el desarrollo de una técnica que el HUCA ya desarrolló en enero de 2007, cuando el equipo dirigido por el cardiólogo César Morís se convirtió en el primero de España en tratar a los pacientes de estenosis aórtica con un implante percutáneo conocido como TAVI.

Desde 2007, el servicio de Cardiología ha tratado a unos 370 pacientes, en estrecha colaboración con otros departamentos del hospital como los de Cirugía Cardiaca, Anestesiología, Unidad de Cuidados Intensivos y Cirugía Vascular.

La estenosis aórtica es la enfermedad de las válvulas cardiacas más frecuente en los países desarrollados. Su frecuencia aumenta con la edad y afecta al 10% de la población en la década de los 80 a 89 años. Se prevé que en 2025 sufrirán esta patología hasta 1,3 millones de personas en Europa y casi uno en Estados Unidos, y que estas cifras se habrán doblado en 2050.

Contenido patrocinado