Científicos del Centro del Cáncer de Salamanca identifican alteraciones genéticas relevantes en linfomas

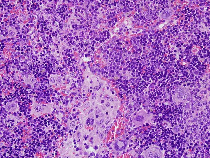
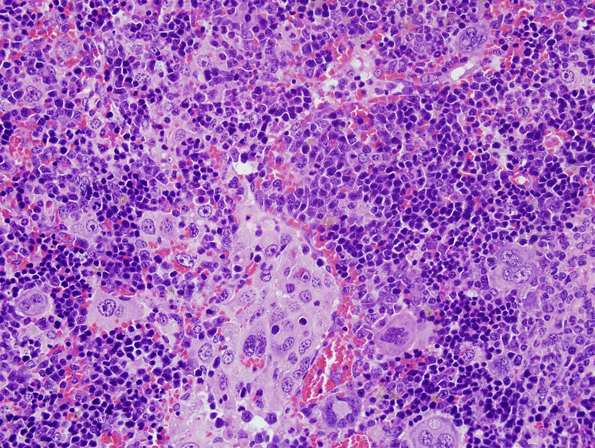
Imagen de microscopía del bazo de un ratón que ha desarrollado un linfoma periférico de células T a causa de alteraciones en el gen VAV1.
Imagen de microscopía del bazo de un ratón que ha desarrollado un linfoma periférico de células T a causa de alteraciones en el gen VAV1. - USAL
Europa Press Castilla y León
Publicado: miércoles, 20 octubre 2021 12:46


SALAMANCA, 20 Oct. (EUROPA PRESS) -

Un grupo de científicos pertenecientes al Centro de Investigación del Cáncer de Salamanca y al Programa de Mecanismos de Progresión Tumoral del CIBER de cáncer (CIBERONC), liderado por el doctor Xosé R.
Bustelo, ha colaborado en la identificación de alteraciones genéticas relevantes en linfomas.

Concretamente, este grupo ha publicado un artículo científico en donde destaca la realización de un catálogo completo de las mutaciones del gen VAV1 que se habían encontrado en distintos tipos de tumores humanos y, con frecuencia más alta, en un tumor originado en células de la sangre que se conoce como linfoma periférico de células T.

Esto ha permitido identificar aquéllas que conllevan la activación descontrolada de este gen y que, por tanto, pueden contribuir al origen o progresión maligna de los cánceres en donde se han encontrado, según la información aportada por el Centro de Investigación del Cáncer (CIC) y la Universidad de Salamanca (USAL) y recogida por Europa Press.

En este estudio, cuyo primer firmante es el investigador del CIC y del CIBER de cáncer Javier Robles-Valero, también han demostrado que "el tipo de mutación más frecuente de VAV1 en tumores causa de forma autónoma la rápida aparición de linfomas periféricos de células T cuando se expresa en ratones".

Este descubrimiento ha sido publicado en la revista científica EMBO Journal y el grupo ha contado con la financiación de la Fundación 'La Caixa', la Asociación Española contra el Cáncer, el Ministerio de Ciencia e Innovación, el Instituto de Salud Carlos III y la Junta de Castilla y León.

BUSTELO

"Junto con la demostración de que estas mutaciones de VAV1 actúan como agentes causales del cáncer, el modelo animal desarrollado en este estudio nos ha permitido desarrollar linfomas de células T que son muy similares a las que se encuentran en pacientes"; ha destacado el doctor Bustelo.

"Esto nos permitirá identificar con más facilidad los puntos débiles que poseen estos linfomas, identificar fármacos contra los mismos y, finalmente, probar la efectividad de dichos fármacos de forma pre-clínica en este modelo animal.

Esto es especialmente relevante en este tipo de tumores, dada la dificultad que ha existido hasta ahora para clasificarlos, estudiarlos y tratarlos de forma eficaz", ha añadido.

Últimas noticias sobre estos temas

Contenido patrocinado