Barcelona reúne a farmacéuticas y empresas biotecnológicas para avanzar en oncología

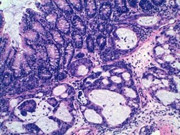
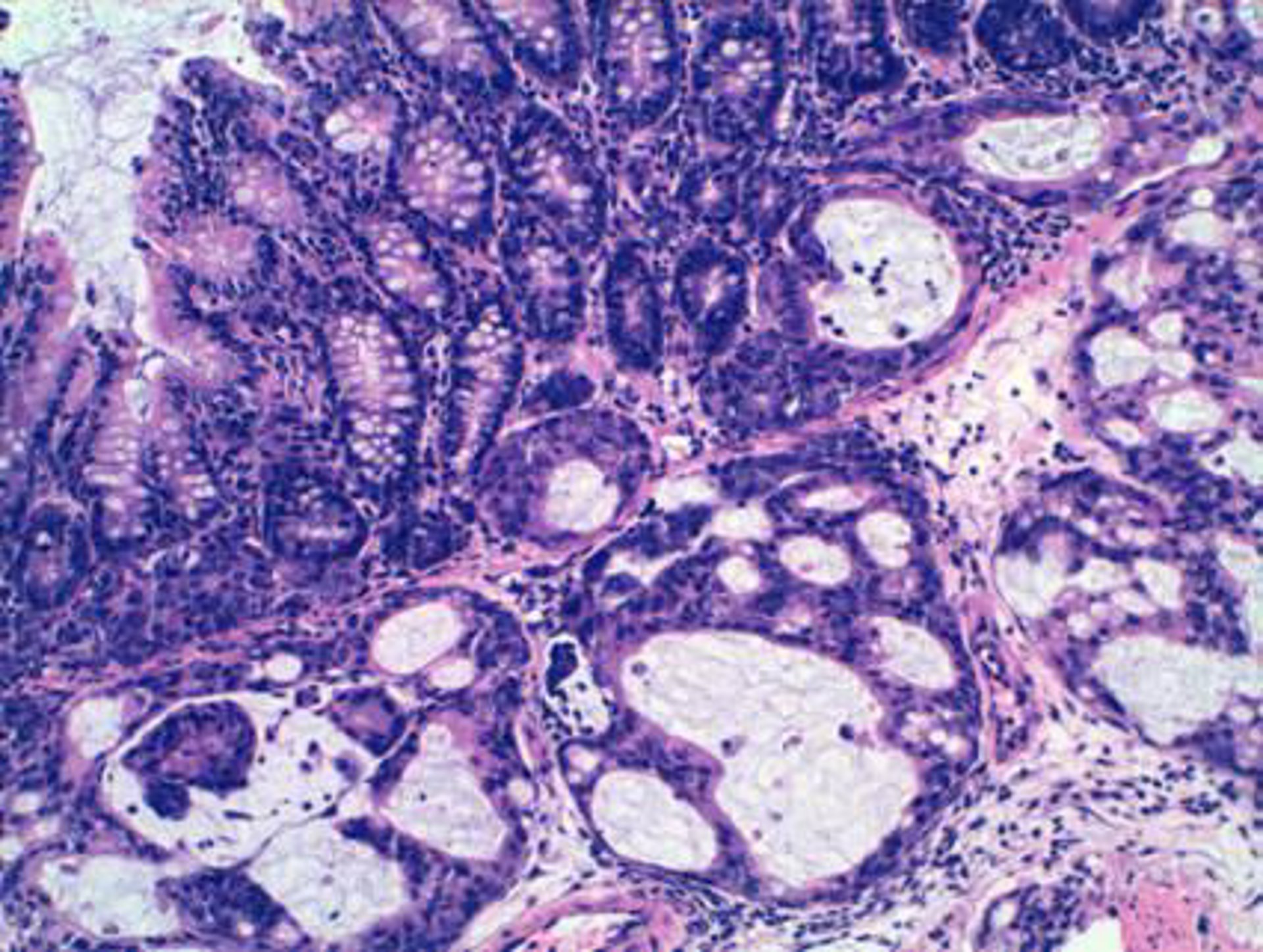
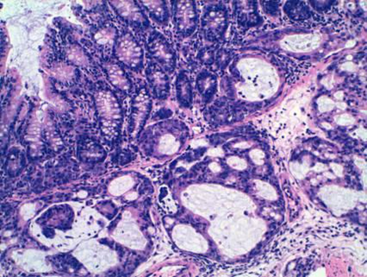
Tumor de colon cuyo crecimiento está inhibico con enoxacina
IDIBELL
Europa Press Catalunya
Actualizado: miércoles, 13 abril 2011 14:42

BARCELONA 13 Abr. (EUROPA PRESS) -

Un total de 13 empresas farmacéuticas y seis empresas biotecnológicas han celebrado este miércoles en Barcelona una jornada específica para explorar el futuro acerca del área terapéutica en oncología, en el marco de un acuerdo adoptado a través de la Plataforma Tecnológica Española Medicamentos Innovadores y CataloniaBio para la colaboración entre ambos sectores.

La jornada, organizada por Farmaindustria, es la segunda sesión de una serie de encuentros en los que las empresas biotecnológicas tienen previsto preparar y presentar los resultados de sus hallazgos a las farmacéuticas interesadas, de cara al desarrollo de nuevos fármacos, y se produce tras un primer encuentro celebrado en febrero en el que se habló del área de las neurociencias.

Un informe de Farmaindustria calcula que el 30% de la investigación clínica que se realiza en España se centra en el área de la oncología, y en el caso de Catalunya más de 45 compañías del sector apuestan por estas innovaciones.

El mayor conocimiento de los genes y las proteínas permite una nueva aproximación en la obtención de fármacos contra los diferentes tipos de cáncer, como demuestra el desarrollo en los últimos años de nuevos medicamentos más selectivos y con menos efectos secundarios.

En el encuentro han participado Advancell, VCN Biosciencies, Aromics, Bioncotech, Lipopharma y Oryzon --como empresas biotecnológicas-- y Abbot, AstraZeneca, Bayer, Esteve, Faes, Ferrer, Ipsen, Lilly, MSD, Pierre Fabre, Reig Jofré, Novartis y Sanofi Aventis como farmacéuticas.

Contenido patrocinado