Descubren una proteína "imprescindible" para formar óvulos y espermatozoides

Un anticonceptivo masculino podría inhibir la proteína

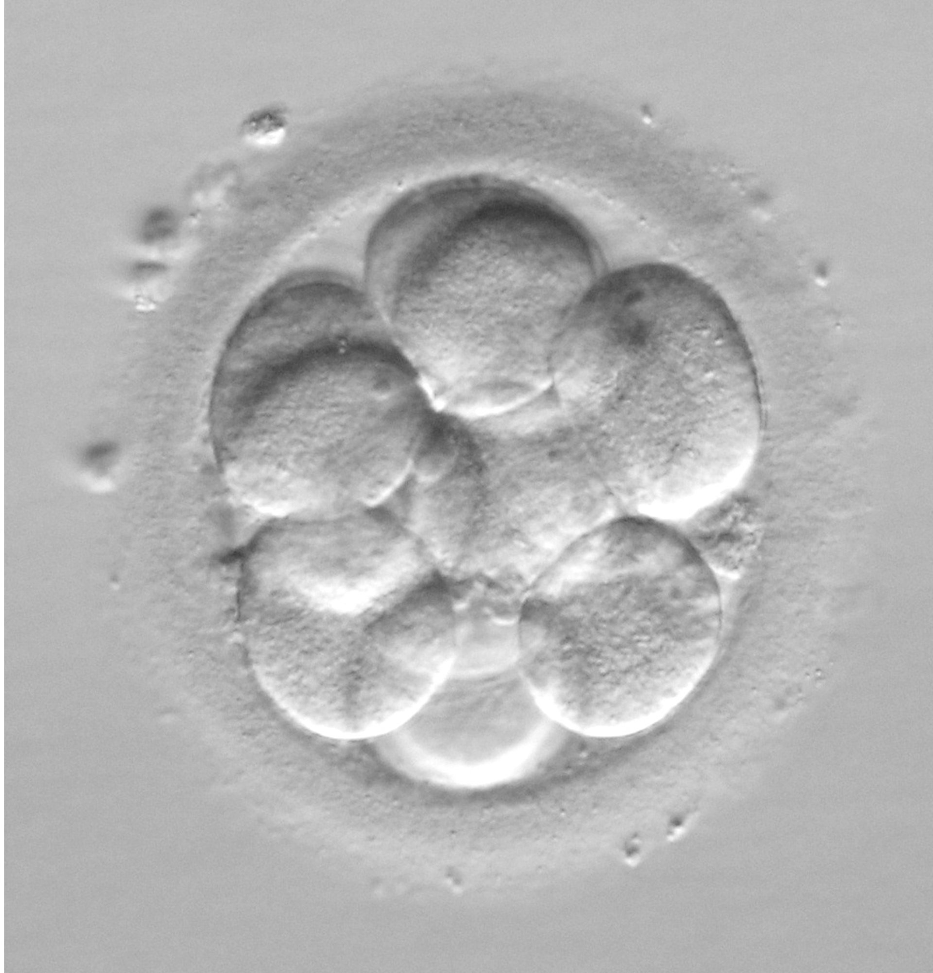
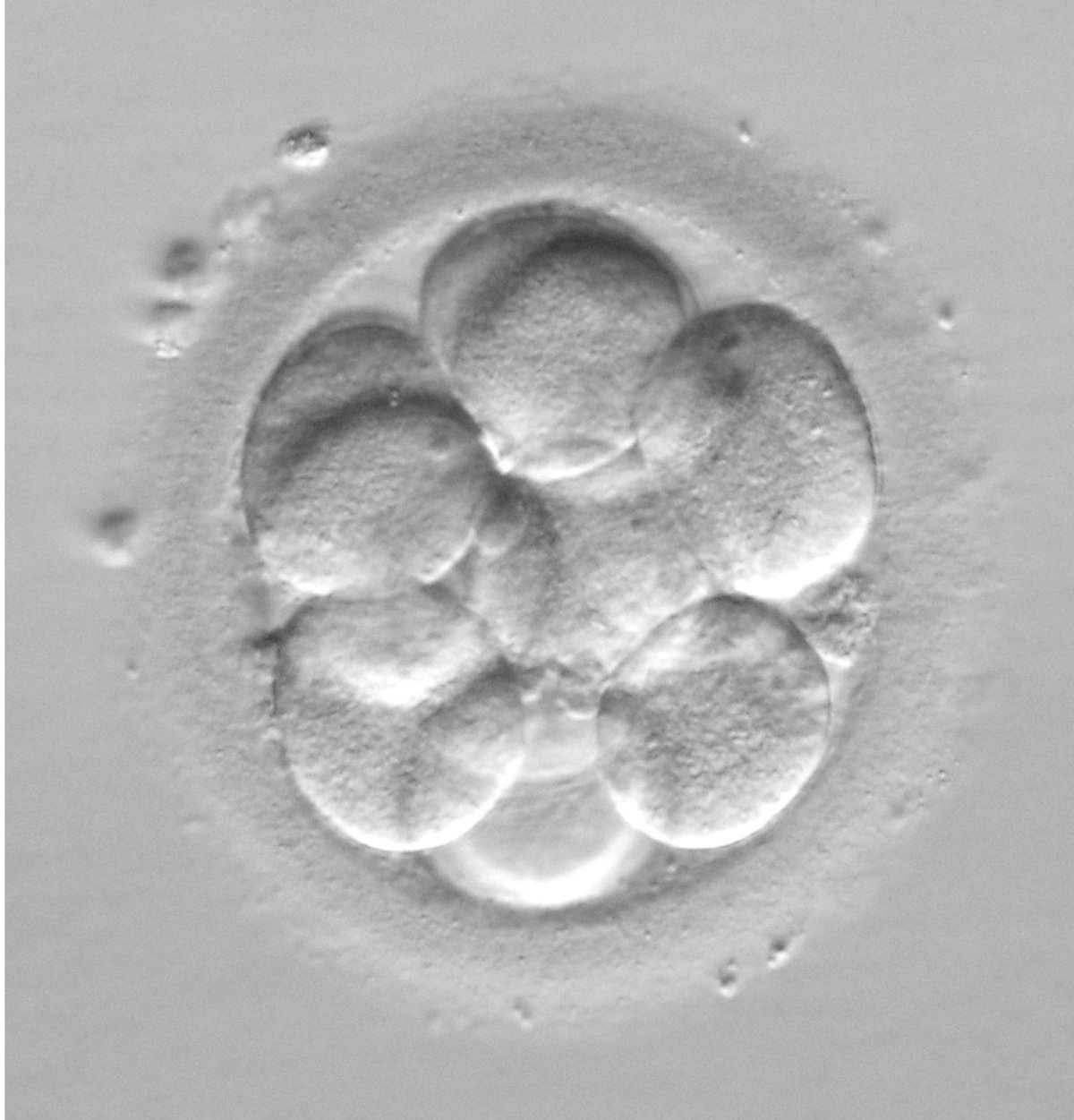
óvulo fecundado
FUNDACIÓ PUIGVERT/CEDIDA
Europa Press Catalunya
Actualizado: miércoles, 30 marzo 2016 14:53

   BARCELONA, 30 Mar. (EUROPA PRESS) -

   Investigadores del Institut de Recerca Biomèdica (IRB) de Barcelona, liderados por Angel R.Nebreda, han descubierto una proteína "imprescindible" en la formación de los óvulos y los espermatozoides, según publica la revista 'Nature Communications'.

   Se trata de la proteína RingoA, un "regulador fundamental de la meiosis", que es el proceso de división celular por el que se producen óvulos y espermatozoides para la reproducción sexual de los mamíferos, ha informado el IRB este miércoles en un comunicado.

   Los ratones estudiados sin RingoA están aparentemente sanos pero son "completamente estériles", tanto los machos como las hembras, por lo que el estudio ha descrito los desajustes moleculares durante la meiosis debido a la falta de esta proteína.

   Han descubierto que RingoA es un "activador fundamental" de la proteína Cdk2, la quinasa con la que forma un complejo necesario para llevar a cabo la meiosis.

   El modelo de ratón publicado hace 12 años por el grupo de Mariano Barbacid en el Centro Nacional de Investigaciones Oncológicas (CNIO) también es viable pero estéril y "presenta exactamente las mismas alteraciones en la meiosis que el obtenido ahora por los investigadores del IRB".

   Hasta ahora se desconocía que la pareja fundamental de Cdk2 en meiosis era RingoA, porque Cdk2 normalmente forma complejos con otro tipo de proteínas llamadas ciclinas.

ANTICONCEPTIVO MASCULINO

   "Todos empezamos con una meiosis así que saber cómo funciona es intelectualmente muy interesante", ha apuntado Nebreda, quien ha destacado los interrogantes que quedan abiertos pese a que este proceso se describió a finales del siglo XIX.

   Los resultados podrían servir de base para desarrollar anticonceptivos masculinos con inhibidores para RingoA-Cdk2, según Nebreda: "Si la industria quisiera invertir en este tema, tenemos las técnicas bioquímicas a punto para buscar inhibidores".

Contenido patrocinado