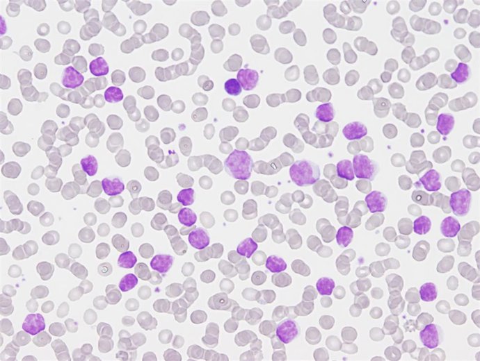
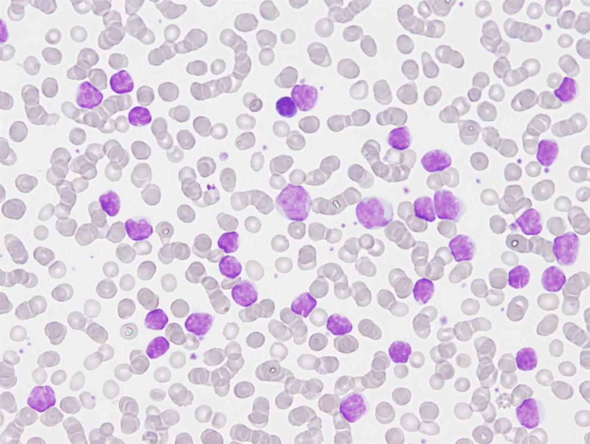
Un estudio completa el mapa de los cambios genéticos en la leucemia linfática crónica

Han transformado el mapa en una página web interactiva
Han transformado el mapa en una página web interactiva - IDIBAPS
Europa Press Catalunya
Publicado: jueves, 4 agosto 2022 17:07

BARCELONA 4 Ago. (EUROPA PRESS) -

Investigadores del Idibaps-Hospital Clínic, la Universitat de Barcelona (UB) y la Universidad de Oviedo han completado en un estudio internacional el mapa de los cambios genéticos en la leucemia linfática crónica (LLC), ha informado el Idibaps en un comunicado.

La revista 'Nature Genetics' ha publicado los hallazgos del trabajo en el que también han participado investigadores del Dana-Farber Cancer Institute, Broad Institute del MIT, Harvard University y la Ulm University.

Se trata de una herramienta que proporcionará una mejor comprensión de la enfermedad y puede conducir a "pronósticos más precisos para los pacientes, diagnósticos mejorados y desarrollo de nuevos tratamientos".

La leucemia linfática crónica es un tipo de cáncer de la sangre y es el tipo de leucemia más frecuente en el mundo occidental, con una incidencia en torno a los cinco casos por cada 100.000 habitantes y año.

Para construir el mapa, los investigadores han analizado las variaciones en las secuencias genéticas, los patrones de expresión génica y las modificaciones químicas del ADN de 1.148 pacientes.

Han identificado 202 genes --de los que 109 son nuevos-- que cuando están mutados pueden conducir a la aparición y progresión de la enfermedad y también han "perfeccionado" la caracterización de los subtipos de esta leucemia.

Con el objetivo de que la comunidad científica aproveche esta información, han transformado el mapa en una página web interactiva para que "todo el mundo pueda utilizarlo como recurso en su investigación" y se avance en el conocimiento de las causas y características de los diferentes subtipos de LLC.

Últimas noticias sobre estos temas

Contenido patrocinado