Un mecanismo asegura la correcta formación de óvulos y espermatozoides en mamíferos

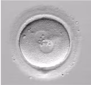
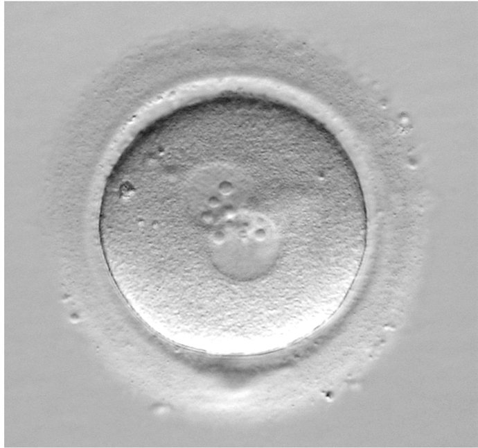
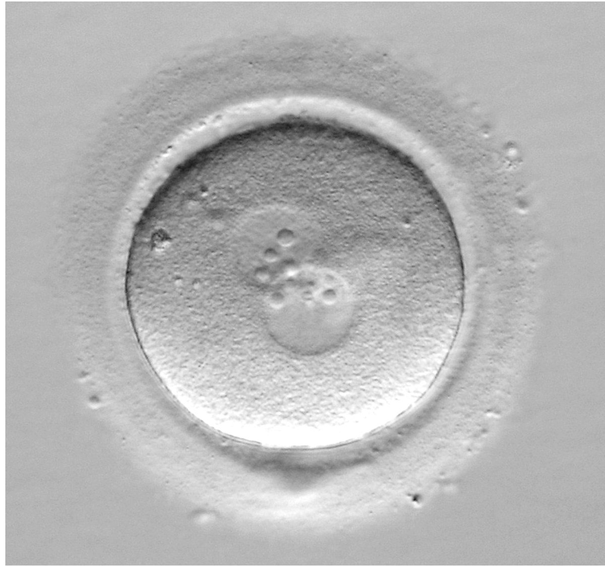
óvulo fecundado
FUNDACIÓ PUIGVERT/CEDIDA
Europa Press Catalunya
Actualizado: martes, 6 marzo 2012 15:10

BARCELONA 6 Mar. (EUROPA PRESS) -

Investigadores del Memorial Sloan-Kettering Cancer Center en colaboración con la Universitat Autònoma de Barcelona (UAB) han descrito un mecanismo de control que asegura la correcta formación de óvulos y espermatozoides en mamíferos, cuyo fallo en humanos podría ser el origen del síndrome de Down.

El trabajo, que publica 'Nature Cell Biology', explica la existencia de un mecanismo que protege de errores en la meiosis en los mamíferos para garantizar la correcta formación de espermatozoides y óvulos.

El estudio plantea que su mal funcionamiento podría ser el origen de la formación de óvulos con un número erróneo de cromosomas, provocando enfermedades de origen genético como el síndrome de Down.

Los humanos sufren altas tasas de alteraciones genéticas, derivadas de la presencia en mayor o menor medida de los 46 cromosomas en las células de un individuo.

A lo largo de este proceso de formación de los gametos aparecen múltiples rupturas de doble cadena de las moléculas de ADN en todo el genoma.

Estos daños en el ADN se reparan mediante un proceso conocido como recombinación homóloga que origina dos productos: uno mayoritario, de conversiones génicas, y otro minoritario, de entrecruces.

Han liderado el trabajo los investigadores Maria Jasin y Soctt Keeney del Memorial Solan-Kettering Cancer Centre, en que ha participado el investigador del Departamento de Biología Celular, de Fisiología e Inmunología de la UAB Ignasi Roig.

Contenido patrocinado