La SVR destaca que nuevas técnicas demuestran que el dolor en los pacientes con fibromialgia es "real"

Imagen fibromialgia
SVR
Europa Press C. Valenciana
Actualizado: martes, 7 diciembre 2010 17:16

VALENCIA 7 Dic. (EUROPA PRESS) -

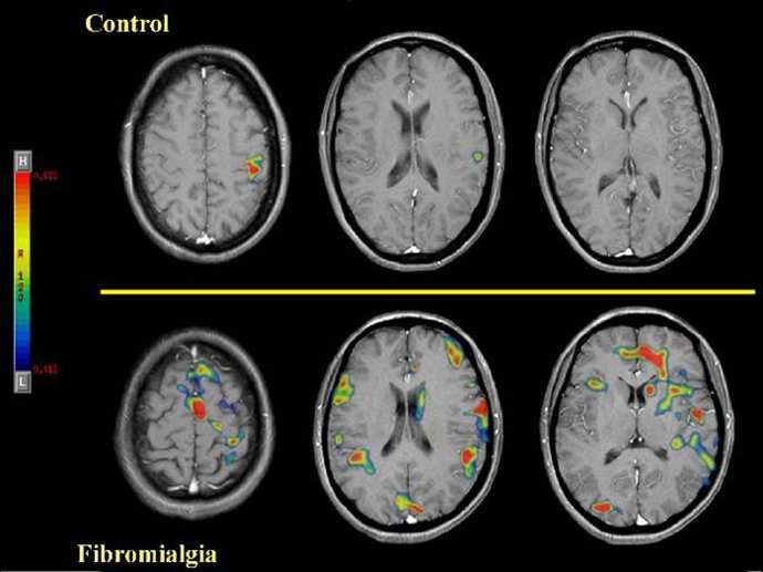
El miembro de la Sociedad Valenciana de Reumatología (SVR) el doctor Ximo Esteve ha destacado que determinadas técnicas de neuroimagen, como la resonancia magnética funcional, han confirmado que el dolor de los pacientes con fibromialgia es "real". Hasta ahora, los enfermos de fibromialgia, especialmente mujeres, debían luchar en los tribunales para conseguir la invalidez permanente, ya que las pruebas médicas no podían certificar el dolor que sentían.

Según diversos estudios científicos, el 2,4 por ciento de la población sufre fibromialgia, que afecta en el 95 por ciento de los casos a mujeres. Los pacientes que son estudiados en las consultas hospitalarias de Reumatología, que generalmente son los más graves, generan un gasto medio anual de unos 10.000 euros. Las dos terceras partes de este gasto son debidas a bajas laborales, ha explicado este martes en un comunicado la SVR.

La resonancia magnética funcional, al igual que otras complejas técnicas de experimentación, permite en la actualidad objetivar el dolor mediante imagen. En este sentido, se puede decir que poco a poco se ha desvelado el rostro verdadero y genuino de la enfermedad, y la ha sacado de la invisibilidad que hasta ahora ha caracterizado y estigmatizado a quienes la padecen.

Las reticencias de algunos sectores médicos a considerar la fibromialgia como una enfermedad no hizo más que complicar la situación de los afectados, que incluso debían luchar en los tribunales para conseguir la invalidez permanente, ya que las pruebas médicas no conseguían certificar el dolor que sentían.

El presidente de la SVR, Javier Calvo Catalá, ha advertido de que estas nuevas técnicas todavía están en fase de experimentación, por lo que no son aplicadas en los hospitales de la Comunitat Valenciana, "pero abren una importante vía de diagnóstico que esperemos que pronto pueda aplicarse en nuestros hospitales", ha subrayado.

La fibromialgia es un trastorno crónico caracterizado por dolor, cansancio, trastorno del sueño y otros síntomas físicos y/o psicológicos, como pérdidas de memoria o dificultad para encontrar las palabras adecuadas, lo que provoca un importante sufrimiento en las personas que lo padecen y reduce su calidad de vida, a pesar de que los análisis, radiografías y otras exploraciones complementarias no muestran alteraciones que justifiquen esos síntomas.

Aunque se desconocen su causas, se sabe que los descendientes de familiares con fibromialgia tienen una probabilidad de padecer la enfermedad ocho veces superior a las personas que no tienen estos antecedentes, por lo que se supone que tiene un componente genético que está actualmente en estudio.

No existe ningún tratamiento farmacológico que sirva para detener la progresión de la enfermedad, ha afirmado Esteve. "La base es la información y educación del paciente: éste debe llegar a entender lo que le pasa y diferenciar los síntomas de la fibromialgia de otros síntomas físicos que sí podrían tener un tratamiento específico. Se ha demostrado que la sola información y educación del paciente tienen un efecto beneficioso para mejorar la enfermedad", ha resaltado.

CONVIVIR CON LA PATOLOGÍA

Según Esteve, "el enfermo debe establecer tres pilares fundamentales para convivir con esta patología. En primer lugar, realizar ejercicio físico, especialmente ejercicio aeróbico. Los últimos estudios demuestran que el Tai Chi y el Chi Kung son eficaces en el tratamiento de esta enfermedad".

"En segundo lugar --ha continuado--, es fundamental mejorar los aspectos psicológicos, sociales y laborales, el paciente tiene que tratar de resolver los conflictos vitales que le están provocando un estrés importante, en este sentido, la comunicación y la buena relación con su médico pueden ser de gran utilidad. Y en tercer lugar, la medicación siempre es una ayuda, pero sólo una ayuda, nunca se debe confiar exclusivamente en la medicación para tratar la enfermedad".

Para el doctor Esteve, aunque se habla mucho de la fibromialgia, sigue siendo "una gran desconocida". Por eso, considera "muy importante que los médicos de atención primaria entiendan mejor la enfermedad para que sean capaces de explicarla mejor a sus pacientes.

"Si logramos que el paciente comprenda lo que le pasa, le servirá de gran ayuda para su manejo y tratamiento posterior y evitará la frecuente frustración que se suele producir tanto por parte del paciente (que no ve cumplidas sus expectativas de curación) como del médico", ha concluido.

Contenido patrocinado

Hemeroteca en Valencià d'Europa Press