La UPV y el CNRS de Francia crean una nueva herramienta online para el estudio del cerebro

Vol2Brain ofrece información de especial relevancia para el avance de la investigación sobre patologías neurológicas.

Investigadores de la Universitat Politcnica de Valncia (UPV) y el Centro Nacional para la Investigación Científica de Francia (CNRS, en sus siglas en francés), han desarrollado una nueva herramienta on line para el estudio del cerebro:  vol2Brain.
Investigadores de la Universitat Politcnica de Valncia (UPV) y el Centro Nacional para la Investigación Científica de Francia (CNRS, en sus siglas en francés), han desarrollado una nueva herramienta on line para el estudio del cerebro: vol2Brain. - UPV
Europa Press C. Valenciana
Publicado: jueves, 12 agosto 2021 11:57

   VALNCIA, 12 Ago. (EUROPA PRESS) -

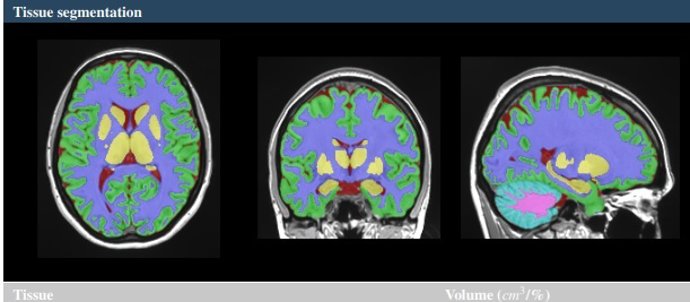
   Investigadores de la Universitat Politcnica de Valncia (UPV) y el Centro Nacional para la Investigación Científica de Francia (CNRS, en sus siglas en francés), han desarrollado una nueva herramienta on line para el estudio del cerebro. Se trata de vol2Brain, un software totalmente gratuito que permite obtener información "de especial relevancia" para el avance de la investigación sobre patologías neurológicas.

   Vol2Brain es capaz de analizar hasta 135 regiones del cerebro, a partir de imágenes de Resonancia Magnética (RM) del cerebro. Ofrece DATOS sobre los volúmenes de los tejidos de la cavidad intracraneal (ICC), así como de algunas áreas macroscópicas como los hemisferios cerebrales, el cerebelo y el tronco cerebral. Además, proporciona también los volúmenes e índices de asimetría de estructuras corticales y subcorticales, de gran importancia en el ámbito neurológico, así como medidas de grosor cortical.

   "Toda esta información es clave para avanzar en el conocimiento delas enfermedades neurológicas", destaca José Vicente Manjón, investigador del grupo IBIME-ITACA de la Universitat Politcnica de Valncia y uno de los coordinadores de vol2Brain. Este nuevo software es el resultado de 3 años de trabajo, financiado por un proyecto nacional del Ministerio de Economía, Industria y Competitividad.

   Entre sus principales ventajas, vol2Brain destaca fundamentalmente por su facilidad de uso y la velocidad de análisis, que lo diferencia de otros sistemas similares que existen en el mercado.

   "El usuario solo ha de enviar un fichero comprimido a través de la web y en 20 minutos recibirá un correo con los resultados de la segmentación y procesado de los volúmenes cerebrales. Los sistemas similares actuales tardan una media de 6 horas en ofrecer esta información", declara José Vicente Manjón.

ESCLEROSIS MÚLTIPLE

   Además, otra de las características "más interesantes" del nuevo sistema es el hecho de que puede usarse en sujetos con lesiones en sustancia blanca, como por ejemplo pacientes con esclerosis múltiple.

   "En la versión anterior de nuestro software, en volBrain, la presencia de estas lesiones afectaba a la precisión de las medidas.

   Con esta nueva versión se extiende el ámbito de aplicación a un mayor rango de situaciones patológicas", añade Manjón.

   Actualmente, el sistema procesa unos 8.000 casos al mes y su uso sigue creciendo. De hecho, en los próximos meses la plataforma web llevará a cabo una remodelación completa que permitirá duplicar la capacidad de cómputo e incluir nuevas herramientas basadas en aprendizaje profundo.

   El desarrollo de vol2Brain refuerza el liderazgo del trabajo desarrollado por la UPV y el CNRS francés a nivel mundial para seguir avanzando en la investigación de enfermedades neurológicas. Su predecesor --volbrain-- es hoy "uno de los sistemas más precisos de todo el mundo para el análisis volumétrico de imágenes de Resonancia Magnética (RM) del cerebro", destacan desde la universidad valenciana.

   Desde que se pusiera en marcha en 2016, el sistema ha analizado automáticamente más de 320.000 cerebros de más de 5000 usuarios de 1830 instituciones distintas de todo el mundo.

   Los resultados de los análisis realizados con la plataforma volBrain se han publicado en 247 artículos científicos, lo que demuestra el impacto que la plataforma ha tenido en la investigación en neuroimagen.

   En los últimos cinco años, los creadores de volBrain han incluido varias herramientas adicionales para analizar partes especificas del cerebro, como por ejemplo CERES que es un software para analizar las partes del cerebelo y que actualmente es el mejor método del mundo para el análisis del cerebelo (CERES fue el ganador de una competición independiente en el reputado congreso MICCAI).

Contenido patrocinado

Hemeroteca en Valencià d'Europa Press