Cardiólogos extremeños utilizan por primera vez en España una nueva técnica para resincronización cardíaca

Cardiología
GOBIERNO DE EXTREMADURA
Europa Press Extremadura
Actualizado: sábado, 22 diciembre 2012 19:57

MÉRIDA 22 Dic. (EUROPA PRESS) -

Cardiólogos del Hospital Infanta Cristina de Badajoz han utilizado por primera vez en España una nueva técnica que sirve para aplicar terapia de resincronización cardíaca a un diez por ciento de pacientes con los que, por diversas razones, no puede realizarse este tipo de terapia con la técnica convencional.

La terapia de resincronización se aplica a enfermos con insuficiencia cardíaca grave -disminución de la capacidad de contracción de los ventrículos del corazón-, que además padecen disincronía ventricular, una patología que hace que los dos ventrículos se contraigan de manera desordenada, explica el Gobierno regional en nota de prensa.

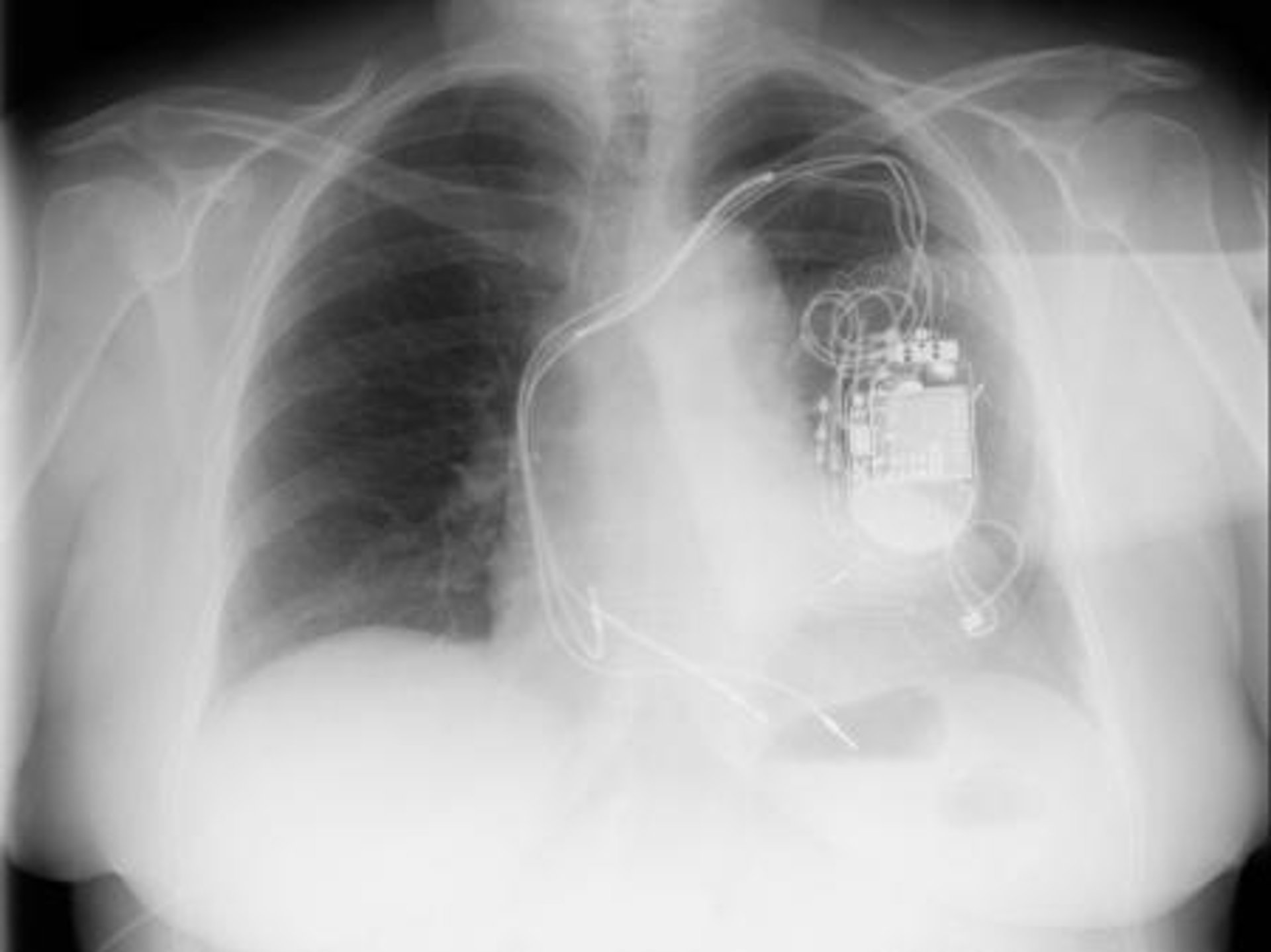
Consiste básicamente en la colocación de un generador -marcapasos o desfibrilador, según los casos-, que contiene la fuente de energía y el software para regular su funcionamiento, y tres electrodos, uno en cada ventrículo y otro en la aurícula derecha, para que los dos ventrículos se contraigan de manera simultánea y homogénea.

Habitualmente, el generador se coloca por debajo de la clavícula izquierda y los electrodos se introducen por la vena subclavia hasta su destino en la parte correspondiente del corazón. Con el procedimiento convencional, el electrodo del ventrículo izquierdo se implanta a través del sistema venoso situado en la parte externa del corazón, pero esta técnica falla en un 10 por ciento de los casos por problemas de acceso, generalmente porque el paciente tiene un sistema venoso que anatómicamente no es adecuado para el implante.

La nueva técnica evita este problema introduciendo el electrodo del ventrículo izquierdo por la vena femoral, situada en la pierna, hasta la aurícula derecha, desde donde se pasa a las cavidades izquierdas haciendo una punción en la pared que separa ambas aurículas, y luego se captura para conducirlo a través de la vena subclavia y conectarlo al generador.

Los cardiólogos de la Unidad de Arritmias del Servicio de Cardiología del Infanta Cristina han empleado ya este nuevo procedimiento con seis pacientes, en los que previamente había fallado la técnica habitual. El implante se ha realizado con éxito en todos los casos, sin que se produjeran complicaciones intraoperatorias.

Los facultativos del hospital pacense, que aprendieron esta técnica del equipo holandés que la diseñó y publicó en una revista especializada, han sido los primeros de España en utilizarla, y ya han recibido la visita de cardiólogos de otras regiones como Cataluña o Andalucía que están interesados en aplicarla en sus hospitales.

Contenido patrocinado