El Hospital de Santa Lucía realiza una nueva cirugía que permite mejorar la visión de manera más efectiva

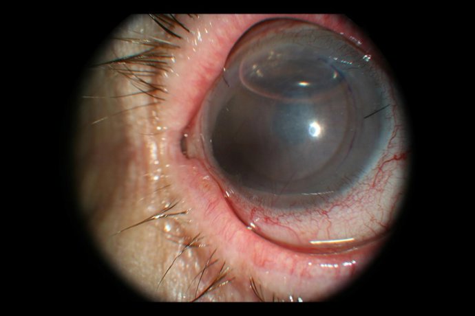
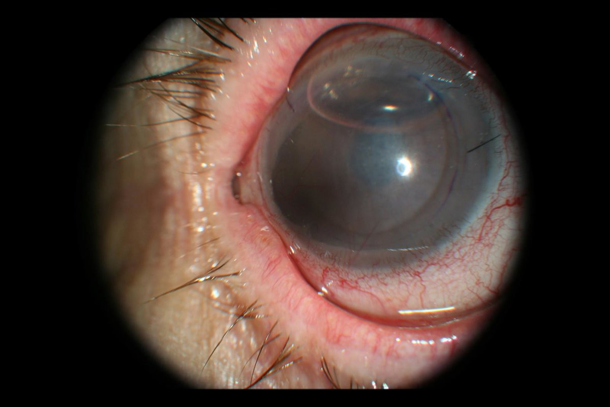
Trasplante Endotelial En El Ojo
ÁREA II SALUD
Europa Press Murcia
Actualizado: sábado, 1 octubre 2011 13:30

MURCIA 1 Oct. (EUROPA PRESS) -

Las nuevas técnicas de cirugía, junto al moderno aparataje con el que se ha dotado al Hospital General Universitario Santa Lucía, han permitido llevar a cabo con resultados satisfactorios, el primer trasplante endotelial a una paciente en el recinto hospitalario de Cartagena, según han informado fuentes del Área II de Salud en un comunicado.

Así, Lorenzo Vallés, coordinador del Servicio de Oftalmología del Hospital General Universitario Santa Lucía, y su equipo han puesto en marcha esta nueva técnica de cirugía que consiste en "trasplantar en el globo ocular únicamente las capas más internas de la córnea, de manera que la parte externa de la misma continúa siendo la del propio paciente".

En este caso particular, se trata de una paciente "a la que le habían surgido complicaciones tras una cirugía de cataratas, y que presentaba una pérdida importante de visión sin posibilidad de mejora con tratamientos convencionales no quirúrgicos".

Y es que, se la córnea sana, la del donante, se obtiene una lamela muy fina que ha sido preparada previamente con un aparato especial llamado microqueratomo, que es la que se trasplanta en el ojo enfermo.

La posibilidad de sustituir sólo la parte dañada, según explica Lorenzo Vallés, "hace que sólo sea necesario efectuarle al paciente una pequeña incisión superior en el ojo, de unos cinco milímetros, lo que evita la sutura propia de los trasplantes corneales llamados penetrantes, de todas las capas de la córnea".

Dentro de las principales ventajas de este tipo de trasplante, se encuentran también "una recuperación visual mucho más rápida, un menor astigmatismo postoperatorio y mucha menor posibilidad de rechazo".

"La recuperación del paciente es mucho más rápida que cuando se sustituye la córnea totalmente y se evitan muchas de las complicaciones que se derivan de este tipo de intervención, y además se reduce el número de revisiones postoperatorias que precisa el paciente", ha explicado.

Así, la posibilidad de que estos enfermos vuelvan a recuperar su visión a través de esta intervención, por tanto, es muy alta aunque únicamente se puede realizar cuando la capa más interna de la córnea (el endotelio) está dañada, pero el estroma (la capa corneal más gruesa) está sano.

Este tipo de cirugía, permite aprovechar otras partes de la córnea donante, como el limbo, para implantarlo en otros pacientes afectos de una patología distinta.

Contenido patrocinado