El Morales Meseguer usa una nueva herramienta para diagnóstico precoz de neumonías causadas por COVID-19

Se trata de un proyecto pionero de diagnóstico utilizando imagen tridimensional (tomosíntesis) en las salas de rayos-X digitales

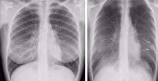
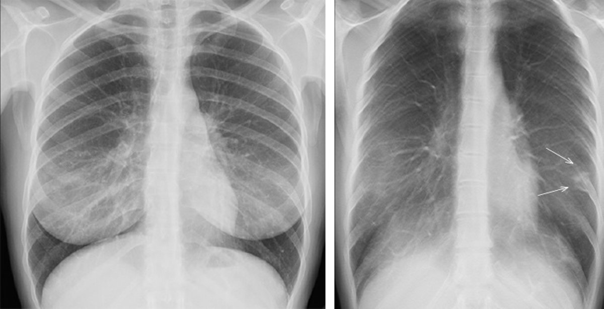
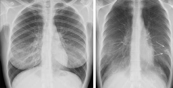
A la izquierda, una prueba de rayos X convencional. A la derecha, una imagen de un plano de tomosíntesis en la que se Identifica con claridad la patología que no se aprecia en la imagen de la izquierda.
A la izquierda, una prueba de rayos X convencional. A la derecha, una imagen de un plano de tomosíntesis en la que se Identifica con claridad la patología que no se aprecia en la imagen de la izquierda. - GE HEALTHCARE
Europa Press Murcia
Publicado: martes, 28 abril 2020 11:28

MURCIA, 28 (EUROPA PRESS)

El Hospital Universitario Morales Messeguer de Murcia ha puesto en marcha un proyecto para diagnosticar de manera precoz las neumonías causadas por la COVID-19 utilizando la tomosíntesis digital directamente en la sala de rayos X, una tecnología que tiene una aplicación cada vez más predominante en el cribado de cáncer de mama, según informaron fuentes de GE Healthcare en un comunicado.

La tomosíntesis es una herramienta "intermedia" entre la radiología digital convencional, la que conocemos como rayos X, y la Tomografía Computarizada o TC (antiguamente llamada TAC), que es la prueba definitiva, pero de acceso complicado en una emergencia como la actual.

La tomosíntesis es una prueba que aporta mayor sensibilidad que la radiografía de tórax y puede permitir detectar neumonías precoces que pasan desapercibidas en estas pruebas o son muy dudosas.

Como explica la doctora Juana Plasencia, radióloga del Área de Radiología de Urgencias del hospital, "la extensión de la neumonía se ve mejor que con la placa de tórax y creemos que puede anticiparse al diagnóstico, aunque aún estamos evaluándolo".

El uso de la tomosíntesis, además podría evitar en algunos casos la necesidad de realizar un TC al paciente, al ofrecer una información diagnóstica a través de planos focalizados mostrando una mayor extensión que la radiografía de tórax. También ayuda a descartar neumonías que puedan ser dudosas en la radiografía de tórax de toda la vida, según las mismas fuentes.

Según la doctora Plasencia, "la realización de un TC supone una gran complejidad, sobre todo en una situación de presión asistencial como la que vivimos con la COVID-19, ya que precisa de, al menos 20 minutos, hay que limpiar la sala, y hay un mayor riesgo de contagio porque los pacientes han de trasladarse desde urgencias a la sala en la que está ubicado el equipo".

La tomosíntesis, explica la doctora "precisa solo 5 minutos y, aunque no puede sustituir a la TC en todos los casos, nos da mejor información diagnóstica que los rayos X convencionales, lo que evita en algunos casos tener que recurrir a la TC y, de este modo, disminuir su carga de trabajo debida al gran número de pacientes que genera una situación como la de la crisis COVID-19".

La aplicación de la tomosíntesis ha permitido descongestionar el trabajo de las dos TC del hospital y de los servicios de urgencia. Para lograrlo, destaca la doctora Plasencia, ha sido clave la colaboración de Atención Primaria, con la que los hospitales de Murcia han establecido un circuito de atención específico para pacientes con sospecha de COVID-19.

La sala en la que se realiza esta técnica se encuentra ubicada dentro del área de pacientes con sospecha de infección respiratoria. Tal como explica esta radióloga, "más de la mitad de las pruebas que hemos realizado con tomosíntesis venían derivadas directamente de Atención Primaria, es decir, no han pasado por las consultas de urgencias; si se descartaba una neumonía en las pruebas radiológicas, el paciente podía regresar a su domicilio y se evitaba un ingreso más en urgencias".

La tomosíntesis ha sido clave tanto para poder llegar al diagnóstico de neumonía como para poder descartar este proceso. La tomosíntesis, además, considera la doctora, va a ser una herramienta de gran utilidad para hacer el seguimiento durante los próximos meses de la evolución de los pacientes a los que se les ha diagnosticado la neumonía.

El hospital se está planteando aplicar el protocolo del seguimiento de este tipo de pacientes usando esta tecnología porque "será necesaria menos radiación que con la TC, aunque aún hemos de determinar los niveles exactos en base a las más de 300 pruebas que ya hemos realizado y las indicaciones precisas de la TC para el seguimiento de esta patología nueva".

La doctora Plasencia explica que "el promotor de la idea fue el jefe del área de radiología, el doctor José María García Santos: tras meditar su consejo y probarla en unos cuantos pacientes, vi claro el valor de la herramienta; partir de ahí comenzamos a usarla sistemáticamente".

Tal como destacan desde GE Healthcare, la compañía que ha desarrollado la tecnología de tomosíntesis utilizada por el hospital, "la gran innovación de los radiólogos del Hospital Morales Messeguer ha sido la recuperación del valor diagnóstico específico de la tomografía digital, una tecnología que ya existía, para utilizar sus características en el entorno de una emergencia que amenazaba con desbordar los servicios de urgencias.

En GE Healthcare recuerdan que, debido a la superposición de tejidos, es frecuente que en los primeros estadios de la enfermedad el radiólogo no vea la patología en una imagen digital convencional. Hasta ahora, la única manera de diagnosticar mejor estos pacientes era realizando una TC de tórax.

La tomosíntesis viene a mejorar el nivel de sensibilidad diagnóstica porque elimina el efecto de superposición de tejidos permitiendo la visualización con planos de alta resolución paralelos al plano del detector, según GE Healthcare. "Proporciona una localización tridimensional precisa y reduce la necesidad de exploraciones complementarias", añade.

Por ello, su utilización es idónea para la detección precoz y posterior seguimiento de las patologías. Su uso se extiende a otras indicaciones de los estudios de tórax, así como en la detección de lesiones musculoesqueléticas".

Últimas noticias sobre estos temas

Contenido patrocinado