Vithas Xanit Internacional incorpora una terapia pionera en la sanidad privada andaluza para tratar tumores de hígado

El Hospital Vithas Xanit Internacional ha incorporado la radioembolización, tratamiento multidisciplinar que implica implica a medicina nuclear y radiología intervencionista, además de los servicios de digestivo, cirugía digestiva y radiofísica
El Hospital Vithas Xanit Internacional ha incorporado la radioembolización, tratamiento multidisciplinar que implica implica a medicina nuclear y radiología intervencionista, además de los servicios de digestivo, cirugía digestiva y radiofísica - VITHAS
Europa Press Andalucía
Publicado: jueves, 30 mayo 2024 11:00

BENALMÁDENA (MÁLAGA), 30 (EUROPA PRESS)

El Hospital Vithas Internacional, en Benalmádena (Málaga), ha incorporado una terapia pionera en la sanidad privada andaluza para el tratamiento de tumores de hígado.

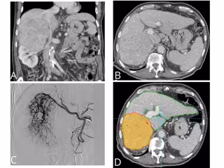
El doctor Arturo del Toro, especialista en radiología intervencionista del Vithas Xanit Internacional, señala que esta técnica, denominada radioembolización, "es un tratamiento multidisciplinar que implica a medicina nuclear y radiología intervencionista, además de los servicios de digestivo, cirugía digestiva y radiofísica".

"Esta terapia mejora la supervivencia y la calidad de vida de los pacientes con cáncer hepático", apunta el especialista, quien precisa que el centro de Benalmádena cuenta con este tratamiento desde el pasado mes de enero.

"La radioembolización es una terapia dirigida que consiste en que millones de microesferas de cristal radioactivas con itrio-90 producen una ablación intravascular en el lecho de la lesión", matiza el doctor.

Además, indica que "estas microesferas del grosor de un cabello humano se dirigen directamente al tumor hepático a través de la arteria hepática, donde se introducen por medio de un catéter".

"Las microesferas fluyen directamente hacia el tumor a través de los vasos sanguíneos del propio cáncer y se alojan permanentemente en el mismo y debido a que el procedimiento incide directamente en el tumor, la radiación destruye las células del cáncer con un impacto mínimo sobre el tejido hepático normal adyacente", afirma.

Además, el especialista añade que "las microesferas seguirán emitiendo radiación durante varias semanas y es una terapia que también se puede utilizar para la reducción del estadío tumoral con el fin de que estos pacientes puedan someterse a una cirugía o trasplante".

Últimas noticias sobre estos temas

Contenido patrocinado

Es Andalucía Málaga
Cabecera Andalucía
Cabecera Andalucía