Valdecilla participan en un estudio para conocer el perfil molecular del cáncer gástrico

Cancer Gastrico
ROCHE
Europa Press Cantabria
Actualizado: lunes, 30 mayo 2011 19:52

MADRID, 30 May. (EUROPA PRESS) -

El Hospital Universitario 'Marqués de Valdecilla' de Santander, junto a otros 32 centros hospitalarios españoles, participa en un estudio internacional con otros ocho países que tiene como principal objetivo conocer mejor las características del cáncer gástrico, un tumor del que cada año se diagnostican 11.000 nuevos casos en nuestro país.

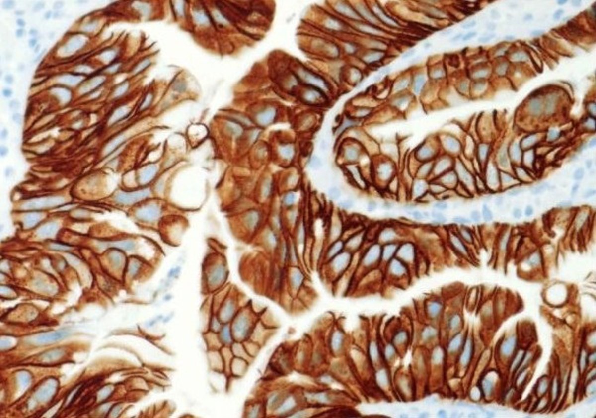
Esta investigación retrospectiva, denominada 'Eagle', pretende analizar la presencia de la proteína HER2 en muestras de tumores gástricos, tanto iniciales como avanzados, tras haber observado que ésta hace que el tumor sea más agresivo y responda peor a la quimioterapia.

En total, se analizarán un total de 4.000 muestras de tumores gástricos, de las que la mitad (unas 2.000) proceden de los hospitales españoles que participan en el estudio.

Hasta el momento, en base a los datos disponibles, se calcula que entre el 15 y el 19 por ciento de los tumores gástricos sobreexpresan la proteína HER2.

Según explica la doctora Stefania Landolfi, patóloga del Hospital Vall d'Hebrón de Barcelona, las muestras se han obtenido mediante biopsia y el análisis de las mismas se lleva a cabo mediante técnicas de inmunohistoquímica y con hibridación 'in situ' cuando es preciso.

Ambas técnicas son bien conocidas por los patólogos por ser utilizadas en cáncer de mama pero, aún así, y "debido a que el sistema de valoración es algo diferente en cáncer gástrico, los investigadores han recibido formación para reducir al mínimo el riesgo de sesgos".

CONOCER MEJOR EL HER2 EN ESTOS TUMORES

Gracias a esta investigación, los oncólogos dispondrán de mayor información sobre el comportamiento de la proteína HER2 en este cáncer, un aspecto imprescindible para tratar a los pacientes con la mejor alternativa terapéutica.

En este sentido, la doctora Landolfi recuerda que hay estudios que han mostrado que añadir trastuzumab, comercializado por Roche como 'Herceptin', a la quimioterapia aumenta la supervivencia global en los pacientes con cáncer avanzado, otorgando al receptor HER2 la misma función que tiene en cáncer de mama, es decir, de diana terapéutica y de factor predictivo de respuesta a este fármaco.

"Es necesario un continuo desarrollo de estudios de biomarcadores que nos permitan predecir siempre con mayor seguridad la respuesta a un tratamiento específico", añade esta investigadora.

PARTICIPANTES

La comunidad con más presencia es Madrid, con siete centros, participando en el estudio los hospitales de La Paz, La Princesa, Ramón y Cajal, Madrid Sanchinarro, Gregorio Marañón, Príncipe de Asturias y el Clínico San Carlos.

Tras ésta, le siguen Cataluña con seis (el Hospital del Mar, el Vall d'Hebrón, el Josep Trueta de Girona, el Germans Trias i Pujol, el Arnau de Vilanova y el Sant Joan de Reus); y Andalucía (con el Virgen del Rocío y el Macarena, en Sevilla, el Virgen de las Nieves de Granada y el Carlos Haya de Málaga) y Comunidad Valenciana (los hospitales La Fe y Universitario de Valencia, el Universitario de Elche y el de Alicante), ambas con cuatro.

También participan los complejos hospitalarios de Santiago (CHUS) y Vigo (CHUVI), el Morales Meseguer y el Virgen de la Arrixaca en Murcia, el hospital Universitario de Salamanca, el Virgen de la Salud de Toledo, el Son Llatzer de Palma de Mallorca, el HUCA de Asturias, el Miguel Servet de Zaragoza, el Valdecilla de Santander, el Hospital de Navarra y el de Donostia, en San Sebastián.

Contenido patrocinado