Investigadores catalanes plantean un tratamiento experimental para los enfermos de Parkinson

Investigan sobre la muerte neuronal de los enfermos de Parkinson
VALL D'HEBRON
Europa Press Catalunya
Actualizado: martes, 5 octubre 2010 13:25

BARCELONA 5 Oct. (EUROPA PRESS) -

Investigadores del Vall d'Hebron Institut de Recerca (VHIR) han planteado a nivel experimental una nueva estrategia terapéutica que se podría aplicar potencialmente, aunque no de forma inmediata, al tratamiento del Parkinson, que es incurable actualmente, según la investigación publicada en la revista americana 'Journal of Neuroscience'.

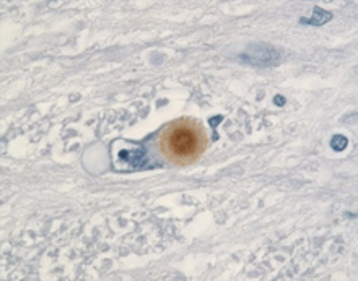
Según un comunicado, estos científicos han descubierto que la presencia de unos cúmulos "anormales" de proteínas en el interior de las células nerviosas se asocia a la muerte neuronal en los enfermos de Parkinson.

El Parkinson causa, además de una pérdida neuronal, una acumulación anormal de proteínas en el interior de las neuronas afectadas --llamadas cuerpos de Lewy--, y se trata de la segunda enfermedad neurodegenerativa más frecuente después del Alzheimer. Los pacientes sufren temblores, lentitud en los movimientos e inestabilidad postural, con riesgo de sufrir múltiples caídas.

El jefe de la Unidad de Investigación de Enfermedades Neurodegenerativas del VIHR y director del grupo de investigación, Miquel Vila, ha demostrado con la investigación que hay un defecto en el sistema de eliminación y reciclaje de residuos tóxicos de la célula que hace que éstos se vayan acumulando en su interior, llegando a interferir en el funcionamiento normal de la célula y conduciéndola a su muerte.

En condiciones normales, la eliminación y reciclaje de residuos tóxicos de la célula se hace a través de unas estructuras internas de la propia célula llamadas lisosomas, que captan y destruyen estos residuos.

Según la investigación, en el Parkinson el número de lisosomas de las células nerviosas está "drásticamente" disminuido, de modo que la célula no dispone de las herramientas necesarias para eliminar residuos tóxicos.

El hallazgo plantea una nueva estrategia terapéutica para intentar aumentar el número de lisosomas en las neuronas afectadas y así poder restaurar los sistemas de reciclaje celular.

En primer lugar, los investigadores han conseguido inducir la formación de nuevos lisosomas en células manipuladas genéticamente, lo que se traduce en una eliminación de residuos tóxicos acumulados y una atenuación de la muerte neuronal.

También, los científicos han observado que el fármaco rapamicina --un inmunodepresor usado para evitar el rechazo en los trasplantes-- es capaz de aumentar el número de lisosomas en animales de experimentación, lo que abre las puertas a nuevos ensayos clínicos.

Últimas noticias sobre estos temas

Contenido patrocinado