Una nueva incubadora permite observar vía Internet la evolución de embriones fecundados

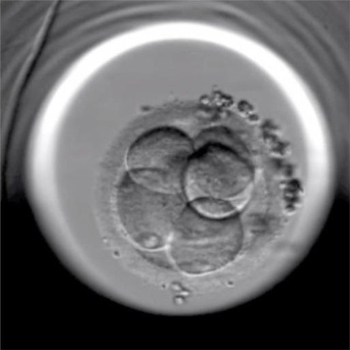
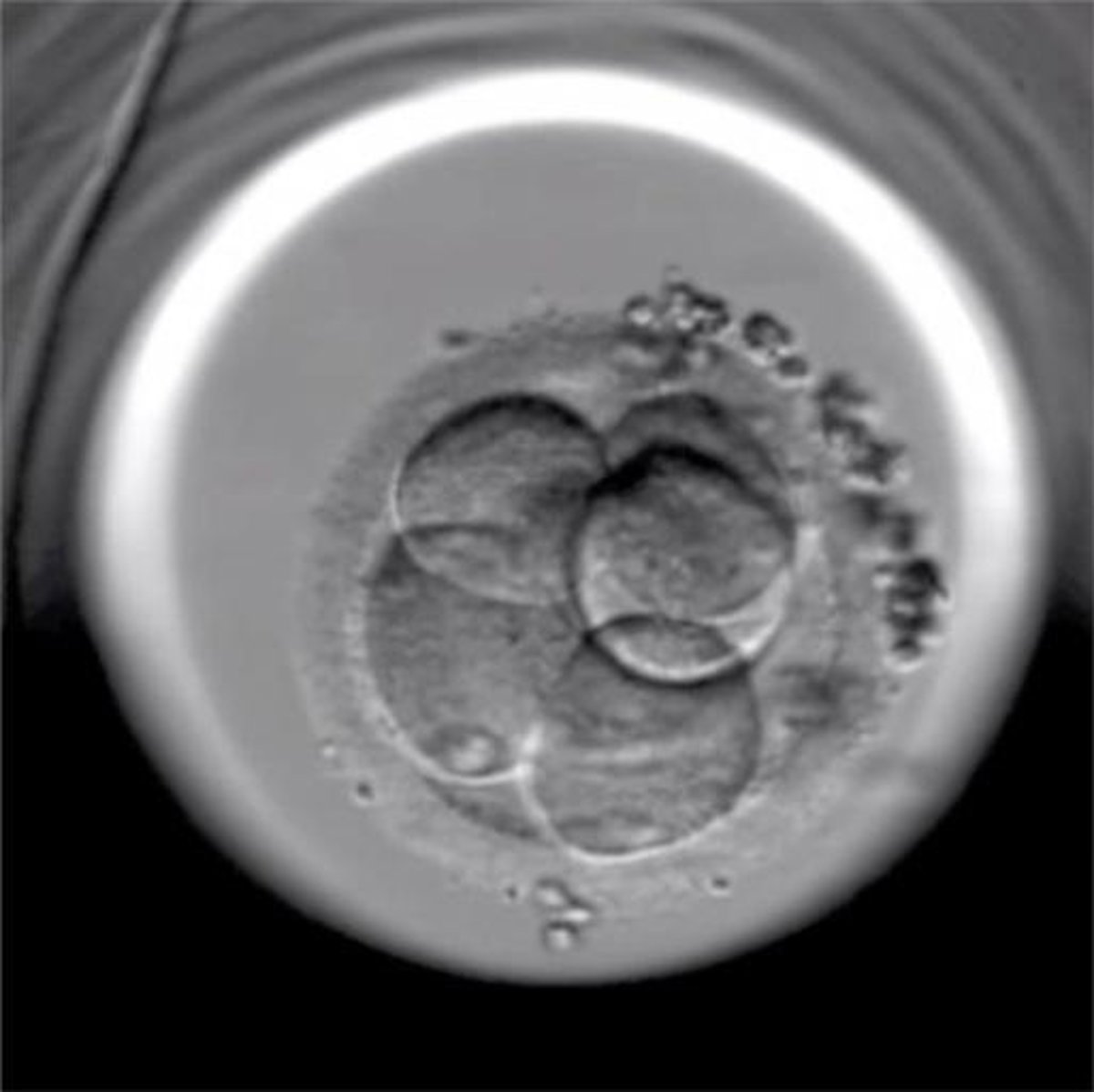
Embrión Fertilizado Reproducción In Vitro
INSTITUT MARQUÈS DE BARCELONA
Europa Press PortalTIC
Actualizado: miércoles, 16 mayo 2012 21:04

BARCELONA, 16 May. (EUROPA PRESS) -

El Institut Marquès de Barcelona ha incorporado una incubadora de última generación dotada con una cámara de video que permite observar continuamente la evolución de los embriones obtenidos de una fecundación in vitro, también vía Internet.

En un comunicado, el centro médico ha indicado que, gracias a esta técnica, es posible determinar mejor la viabilidad futura de los embriones, lo que ha permitido que se quedara encinta una pareja irlandesa con 15 tratamientos previos fallidos --siete ciclos de inseminación, cuatro ciclos de fecundación in vitro y otros cuatro de donación de óvulos--.

La máquina, conocida como Embryoscope, ha sido presentada con motivo del congreso de la Sociedad Española de la Fertilidad (SEF), que se celebra estos días en Granada.

Contenido patrocinado