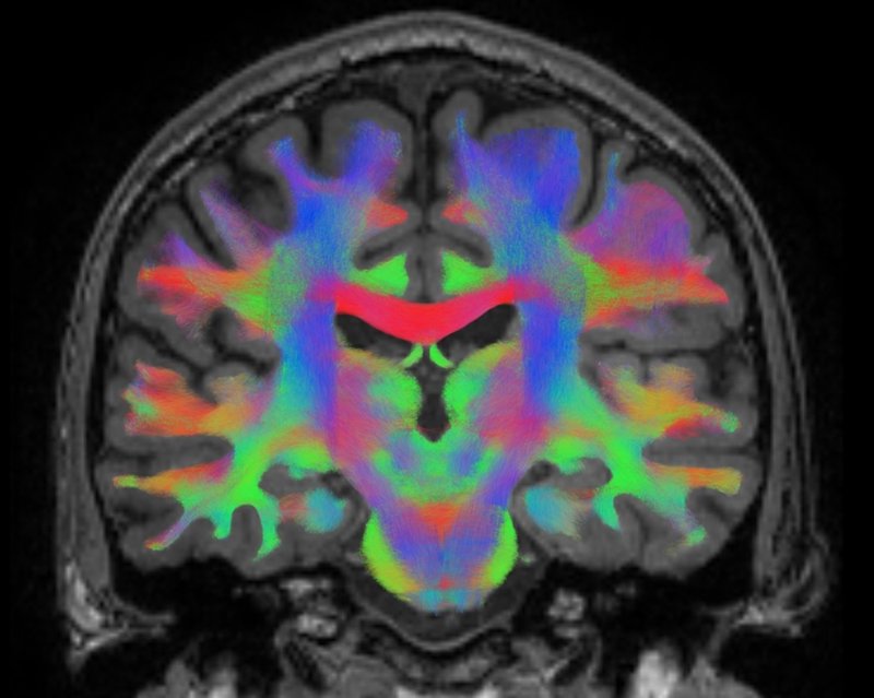
Astronautas se someterán a resonancias para ver cambios en el cerebro

El cerebro de un estronauta
Foto: ESA
Europa Press Ciencia
Actualizado: martes, 17 junio 2014 14:49

MADRID, 17 Jun. (EUROPA PRESS) -

   Un total de 16 astronautas se someterán a escáneres de resonancia magnética avanzada antes y después de sus vuelos al espacio, con el objetivo de detectar cualquier cambio en su estructura cerebral.

   Se trata de un proyecto de la Agencia Espacial Europea (ESA), que también cuenta con parte de trabajo en Tierra. El grupo de control se someterá en Amberes (Bélgica) a las primeras exploraciones para su posterior comparación y, en paralelo, el estudio está siendo realizado en voluntarios a bordo de vuelos de aeronaves que ofrecen 20 segundos de ingravidez.

   Los expertos sospechan que los cerebros de los astronautas se adaptan a vivir en condiciones de ingravidez mediante el uso de enlaces sin explotar entre las neuronas. Es decir, quieren saber cómo es el cerebro humano y cómo cambia cuando los astronautas aprenden a flotar alrededor en su nave espacial, de izquierda a derecha y de arriba hacia abajo. Unos movimientos que son "una segunda naturaleza" para el astronauta y que, se cree, activará nuevas conexiones en su cerebro.

Contenido patrocinado