Luz verde a la modificación genética de embriones humanos en Reino Unido

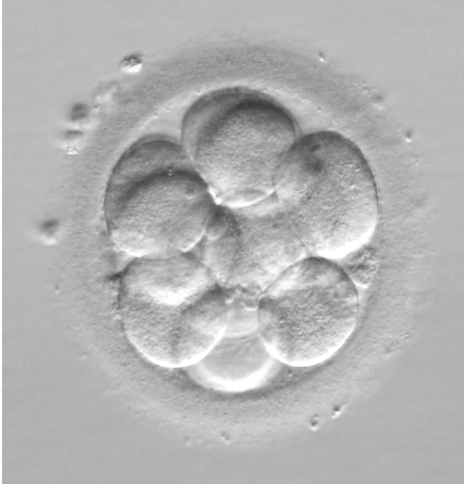
óvulo fecundado
FUNDACIÓ PUIGVERT/CEDIDA
Europa Press Internacional
Actualizado: lunes, 1 febrero 2016 16:22

LONDRES, 1 Feb. (Reuters/EP) -

La Autoridad de Embriología y Fertilización Humana (HFEA, en sus siglas en inglés) del Reino Unido ha dado el visto bueno a una solicitud del Francis Crick Institute de Londres para modificar genéticamente embriones humanos con fines científicos, lo que ha generado algunas críticas en quienes creen que en el futuro podría servir para crear "bebés de diseño".

Menos de un año después de que un equipo de científicos chinos provocaran un escándalo internacional tras reconocer que habían modificado genéticamente embriones humanos, el científico del centro londinense Kathy Niakan solicitó autorización para llevar a cabo experimentos similares.

El científico ha aclarado que el estudio "es con una finalidad investigadora" y en él se pretende analizar la evolución de un óvulo durante la primera semana tras su fecundación, para ver como pasa de constituir una única célula a 250.

En dicho estudio utilizarán la tecnología CRISPR-Cas9, que ya ha causado un intenso debate internacional ante el temor de que pudiera usarse para crear bebés a la carta, ya que permite modificar o sustituir defectos genéticos.

De hecho, el director del UK Human Genetics Alert, David King, considera que esta decisión de la HFEA es "el primer paso" para permitir por ley la creación de "bebés modificados genéticamente".

A pesar de que Niakan ha reiterado que no tiene intención de alterar genéticamente los embriones para su uso en la reproducción humana asistida sino profundizar en la comprensión científica de cómo se desarrolla un embrión humano sano, con el objetivo a largo plazo de mejorar los tratamientos de fertilidad.

El profesor de Biotecnología animal en el Instituto Roslin de la Universidad de Edimburgo (Escocia), Bruce Whitelaw, ha reconocido que la decisión de la HFEA se ha tomado tras una "evaluación sólida" del proyecto, ya que permitirá aumentar el conocimiento de por qué se producen los abortos espontáneos.

Artículos Relacionados

Últimas noticias sobre estos temas

Contenido patrocinado