Una investigación del IDIVAL concluye que las lesiones iniciales en linfomas no necesariamente dan lugar a tumores

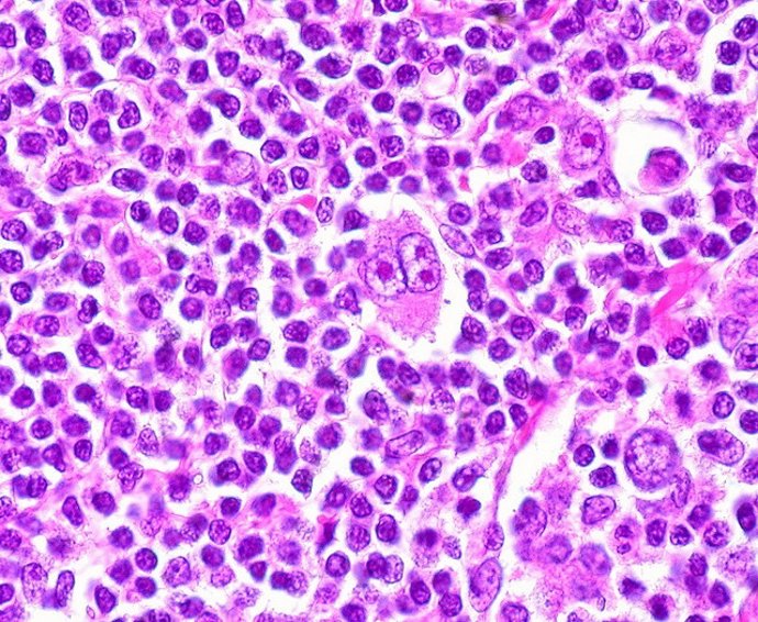
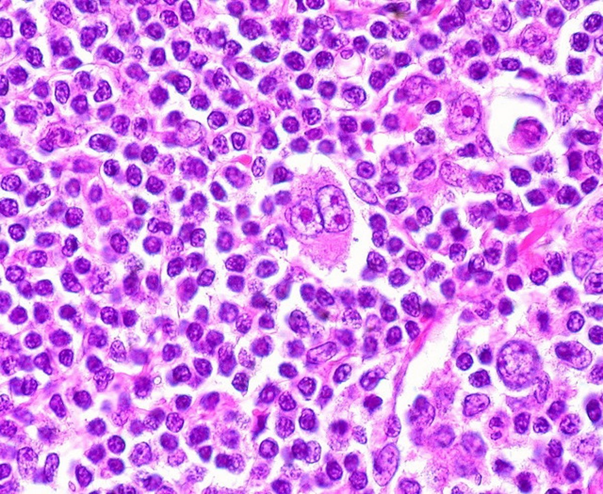
Linfoma de Hodking
FLICKR/ED UTHMAN
Europa Press Cantabria
Actualizado: sábado, 26 marzo 2016 12:33


SANTANDER, 26 Mar. (EUROPA PRESS) -

El Instituto de Investigación Biomédica Valdecilla (IDIVAL) ha publicado recientemente un trabajo que concluye que las lesiones iniciales en linfomas (linfomas 'in situ') no necesariamente dan lugar a la aparición de tumores, por lo que cada paciente requiere un abordaje diagnóstico y terapéutico distinto e individualizado.

El Idival recuerda que un linfoma es una forma de cáncer que afecta al sistema inmunológico, específicamente, es un cáncer en las células defensivas del sistema inmunitario llamadas linfocitos.

Desarrollado por el grupo de investigación dirigido por el doctor Miguel Ángel Piris, jefe del Servicio de Anatomía Patológica del Hospital Universitario Marqués de Valdecilla y director científico del IDIVAL, el estudio también ha revelado que el diagnóstico de estas lesiones en fases iniciales no hubiese tenido relevancia clínica en la mayoría de los casos.

Sin embargo, se ha identificado un grupo de pacientes en los que el hallazgo de las lesiones 'in situ' sí tenía relevancia por asociarse con otros procesos linfoproliferativos que requirieron un abordaje terapéutico específico.

La investigación se ha basado en un estudio retrospectivo sobre muestras de pacientes acumuladas hace al menos diez años y en las que la presencia de un linfoma 'in situ' no se observó porque, entonces, no se contaba con las técnicas diagnósticas y los conocimientos actuales.

Se identificaron estas lesiones en 3 de cada 100 casos estudiados. Ninguno de los casos identificados en esa serie retrospectiva ha desarrollado un linfoma en el tiempo de seguimiento disponible.

El artículo científico, en el que han participado miembros de los Servicios de Anatomía Patológica y Hematología de Valdecilla, en colaboración con el Biobanco Valdecilla, ha sido publicado en la revista internacional de referencia en patología diagnóstica 'American journal of surgical pathology', bajo el título 'Incidental and isolated follicular lymphoma in situ and mantle cell lymphoma in situ lack clinical significance', y sus autores son Bermúdez G., González de Villambrosía S., Martínez-López A., Batlle A., Revert-Arce J. B., Cereceda Company L., Ortega Bezanilla C., Piris M. A. y Montes-Moreno S.

Contenido patrocinado