Investigadores del CIC participan en un proyecto internacional para detectar precozmente la leucemia infantil

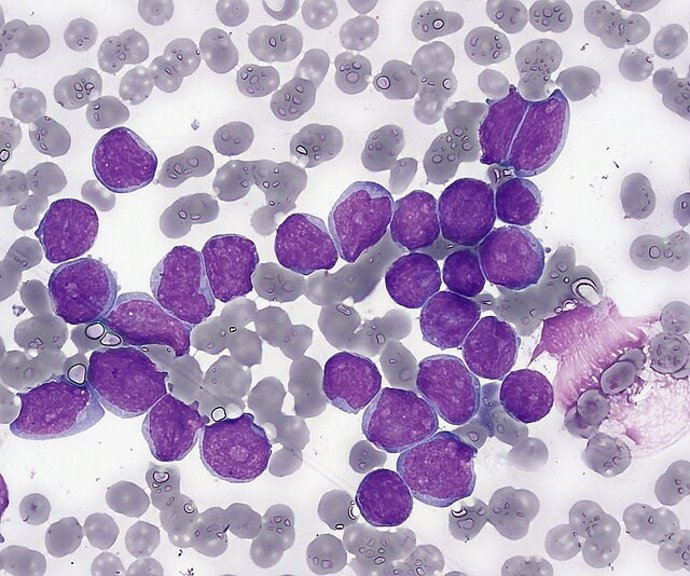
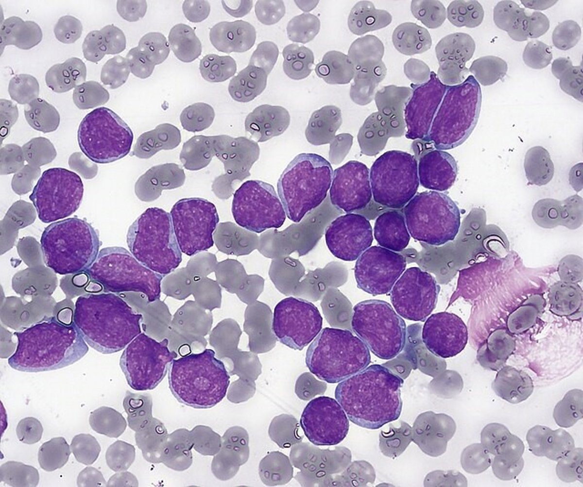
Leucemia linfoblástica aguda.
Leucemia linfoblástica aguda. - CENTRO DE INVESTIGACIÓN DEL CÁNCER
Europa Press Castilla y León
Publicado: viernes, 4 julio 2025 17:21

SALAMANCA 4 Jul. (EUROPA PRESS) -

El grupo de investigación dirigido por Isidro Sánchez García, del Centro de Investigación del Cáncer (CSIC-Universidad de Salamanca) participa en un consorcio internacional que busca revolucionar la prevención y el tratamiento de la leucemia infantil.

El proyecto, denominado 'Deciphering Epigenetic Biomarkers to Identify Preleukemic Carriers at Risk' ('Buscando biomarcadores epigenéticos para identificar niños en riesgo de desarrollar leucemia'), está financiado por la convocatoria conjunta Transcan-3.

Este proyecto podría transformar el manejo clínico de la leucemia infantil, al situar la prevención como eje central de la estrategia terapéutica.

Además, el proyecto sienta las bases para el desarrollo de nuevas terapias epigenéticas y la personalización del tratamiento en función del riesgo individual de cada paciente, han informado a Europa Press fuentes del Centro de Investigación del Cáncer.

La leucemia aguda linfoblástica de células B es el cáncer pediátrico más frecuente y, aunque los tratamientos actuales han mejorado notablemente la supervivencia, aún existen necesidades médicas no cubiertas.

Uno de los mayores desafíos es identificar a aquellos niños portadores de clones preleucémicos que, en un porcentaje pequeño, desarrollarán la enfermedad, y poder interceptar el proceso antes de que se produzca la transformación maligna, ha subrayado el CIC.

La epigenética es clave para entender por qué algunos niños con predisposición genética a la leucemia finalmente desarrollan la enfermedad y otros no. La epigenética es una rama de la biología que estudia cómo ciertos factores pueden modificar la actividad de los genes sin alterar la secuencia del ADN, han añadido las mismas fuentes.

Así, aunque el 'texto' de los genes no cambie, la epigenética regula qué genes se activan o desactivan en cada momento y en cada célula. Estas modificaciones pueden estar influenciadas tanto por factores internos de la célula como por el entorno (como la alimentación, el estrés, infecciones o la exposición a contaminantes ambientales).

Por tanto, la epigenética actúa como un 'interruptor' que regula la expresión de los genes y puede contribuir tanto a la prevención como al desarrollo del cáncer. Si se comprenden estos mecanismos permitirá identificar biomarcadores epigenéticos que ayuden a predecir el riesgo de leucemia y, en el futuro, desarrollar estrategias para prevenir la enfermedad antes de que aparezca, como han señalado desde el CIC.

OBJETIVOS DEL PROYECTO

El objetivo principal de la investigación es, como han señalado desde el CIC, "identificar biomarcadores epigenéticos que permitan detectar de forma precoz a los portadores de clones preleucémicos con riesgo de desarrollar leucemia".

En este marco, el proyecto pretende comprender los mecanismos epigenéticos que regulan la transición de una célula preleucémica a una célula leucémica. En concreto, se abordarán los factores intrínsecos como son cambios en la propia célula, que afectan a la accesibilidad del ADN y la actividad génica, y los extrínsecos como es la influencia del microambiente y otros factores ambientales (factores inmunológicos, contaminantes medioambientales y las interacciones celulares).

En definitiva, este proyecto busca identificar firmas epigenéticas asociadas a la transformación preleucémica, validar estos biomarcadores en muestras de pacientes pediátricos y desarrollar estrategias de intervención basadas en fármacos epigenéticos para prevenir la progresión de la enfermedad.

El investigador principal del Centro de Investigación del Cáncer, Isidro Sánchez-García, ha señalado que "el proyecto representa un cambio de paradigma en el abordaje de la leucemia infantil, al proponer una estrategia preventiva basada en la detección precoz y la intervención temprana".

En este sentido, ha añadido que gracias a la identificación de biomarcadores epigenéticos, "se podrá identificar a los niños con mayor riesgo de desarrollar leucemia" y así se abre la posibilidad de intervenir antes de que la enfermedad se manifieste clínicamente.

"Además, la prevención de la leucemia evita la exposición de los niños a tratamientos quimioterápicos agresivos y sus efectos secundarios a largo plazo", ha añadido.

Los hallazgos del proyecto podrían extenderse a otros tipos de cáncer y enfermedades de la sangre, con lo que abrirían nuevas vías de investigación y tratamiento, tal y como han finalizado desde el CIC.

Últimas noticias sobre estos temas

Contenido patrocinado