Identificada una nueva microalga en el nacimiento del río Tinto en Nerva (Huelva)

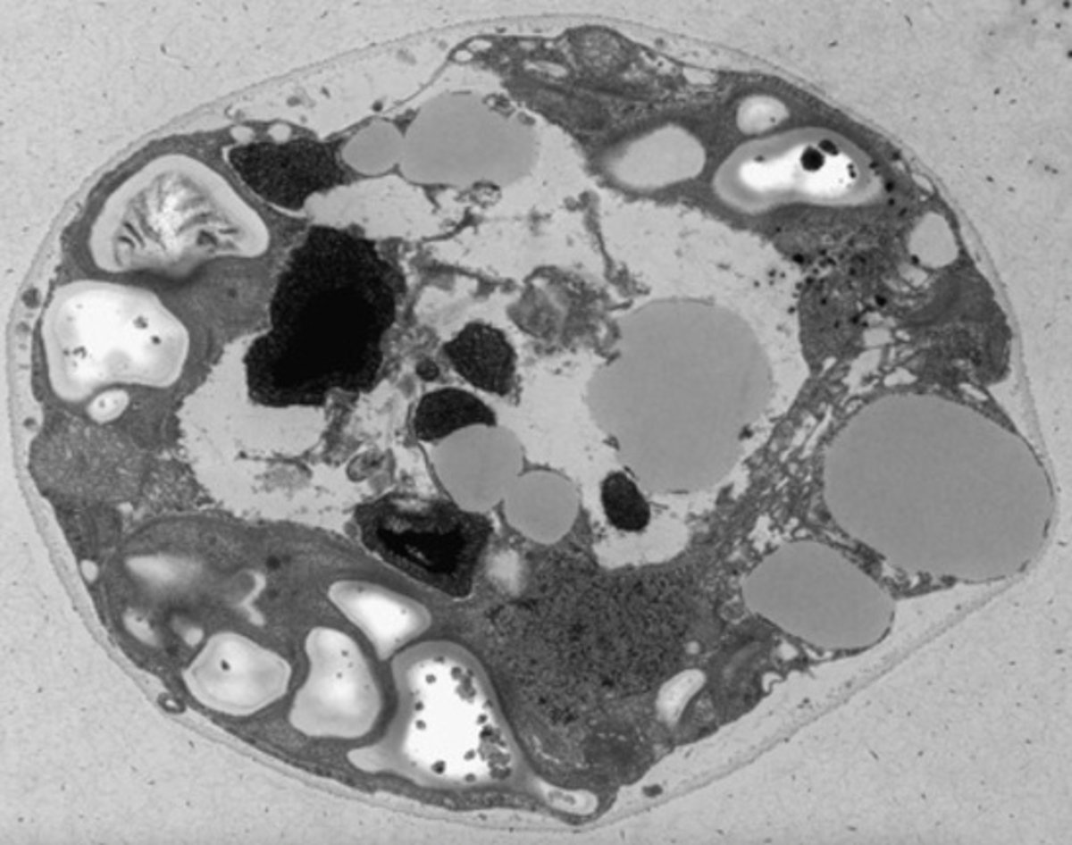
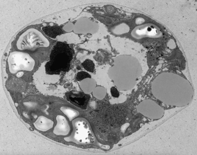
Imagen de 'Chlamydomonas urium' al microscopio electrónico.
Imagen de 'Chlamydomonas urium' al microscopio electrónico. - CSIC
Europa Press Andalucía
Actualizado: miércoles, 29 mayo 2024 11:47

HUELVA, 29 May. (EUROPA PRESS) -

En un trabajo, recientemente publicado en 'New Phytologist', se ha aislado e identificado una nueva microalga a partir de muestras procedentes del nacimiento del río Tinto en Nerva (Huelva), que se caracteriza por la extrema acidez (pH en torno a 2) y el alto contenido en metales pesados de sus aguas. Gracias a la secuenciación, ensamblaje y anotación del genoma de esta nueva microalga, que ha sido denominada como 'Chlamydomonas urium', se ha encontrado que está muy relacionada genéticamente con otras microalgas aisladas en zonas de explotación minera de Japón.

Según ha indicado el CSIC en una nota de prensa, la investigación, llevada a cabo en el Instituto de Bioquímica Vegetal y Fotosíntesis (IBVF), centro mixto del Consejo Superior de Investigaciones Científicas (CSIC) y la Universidad de Sevilla (US), en colaboración con investigadores del Centro Andaluz de Biología del Desarrollo (CABD-CSIC-UPO) y del Instituto de la Grasa (IG-CSIC), demuestra que Chlamydomonas urium posee "unas características únicas" en cuanto a su tasa de crecimiento y a su eficiencia fotosintética, superior a la de otras microalgas relacionadas filogenéticamente.

De este modo, estudios fisiológicos, así como de microscopía electrónica, inmunodetección de proteínas y análisis masivo de metabolitos han permitido demostrar que 'Chlamydomonas urium' tiene "una alta capacidad, no descrita previamente en otras microalgas, de sintetizar y degradar lípidos a través de un proceso de degradación y reciclaje interno denominado lipofagia o autofagia selectiva de lípidos".

"Nuestro trabajo indica que el elevado nivel de lipofagia presente en 'Chlamydomonas urium' confiere a esta microalga propiedades metabólicas que le permiten vivir en entornos extremos como las aguas ácidas del río Tinto. Por sus características únicas en tasa de crecimiento, eficiencia fotosintética y capacidad metabólica de reciclar lípidos, 'Chlamydomonas urium' puede tener un gran potencial biotecnológico para la captura eficiente de CO2 atmosférico y la producción de compuestos de interés industrial", ha indicado José Luis Crespo, investigador del IBVF.

Asimismo, esta investigación señala que las microalgas constituyen un grupo de microorganismos fotosintéticos altamente heterogéneo que pueden vivir en hábitats muy diversos, desde aguas dulces, salobres o ácidas hasta ambientes extremos como la nieve o el desierto. Asimismo, desempeñan un papel esencial en los medios acuáticos al ser la base de la cadena trófica y, junto con otros microorganismos fotosintéticos, son los responsables de la producción de más de la mitad del oxígeno del planeta.

Por tanto, la función de las microalgas en la biosfera es "muy importante" al reducir los niveles de dióxido de carbono de la atmósfera mediante la fotosíntesis, combatiendo de esta forma los efectos del cambio climático. Además, las microalgas pueden producir compuestos orgánicos de interés para la industria, como lípidos, almidón o carotenoides, como consecuencia de su metabolismo secundario.

Por otro lado, la autofagia es un proceso de reciclaje de componentes celulares que permite a los organismos eucariotas, incluyendo a las microalgas, adaptarse a condiciones cambiantes o limitantes a las que se enfrentan continuamente en su entorno con el fin de mantener la homeostasis celular. Aunque la autofagia es un mecanismo celular que se activa en condiciones de estrés, su estudio nunca ha sido abordado en organismos extremófilos, cuyo hábitat natural presenta condiciones extremas para la vida.

Últimas noticias sobre estos temas

Contenido patrocinado

Es Andalucía Huelva
Cabecera Andalucía
Cabecera Andalucía