Un estudio relaciona los problemas de desarrollo pulmonar de los fetos con la resistencia vascular

Abre la puerta al diseño de estrategias terapéuticas para fetos con crecimiento restringido

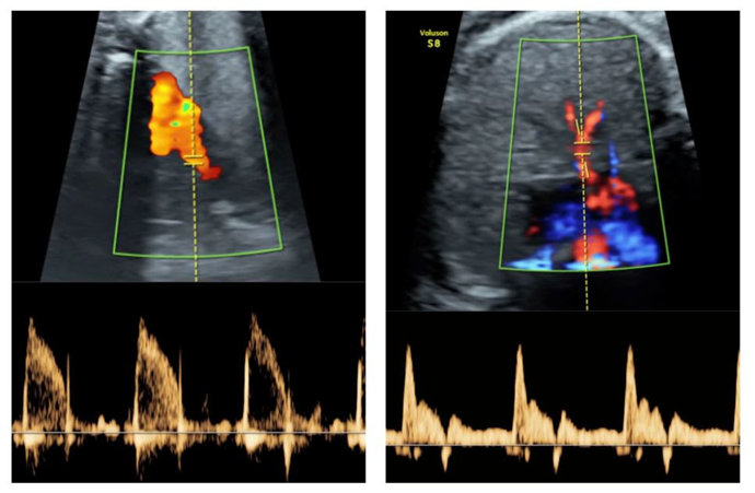
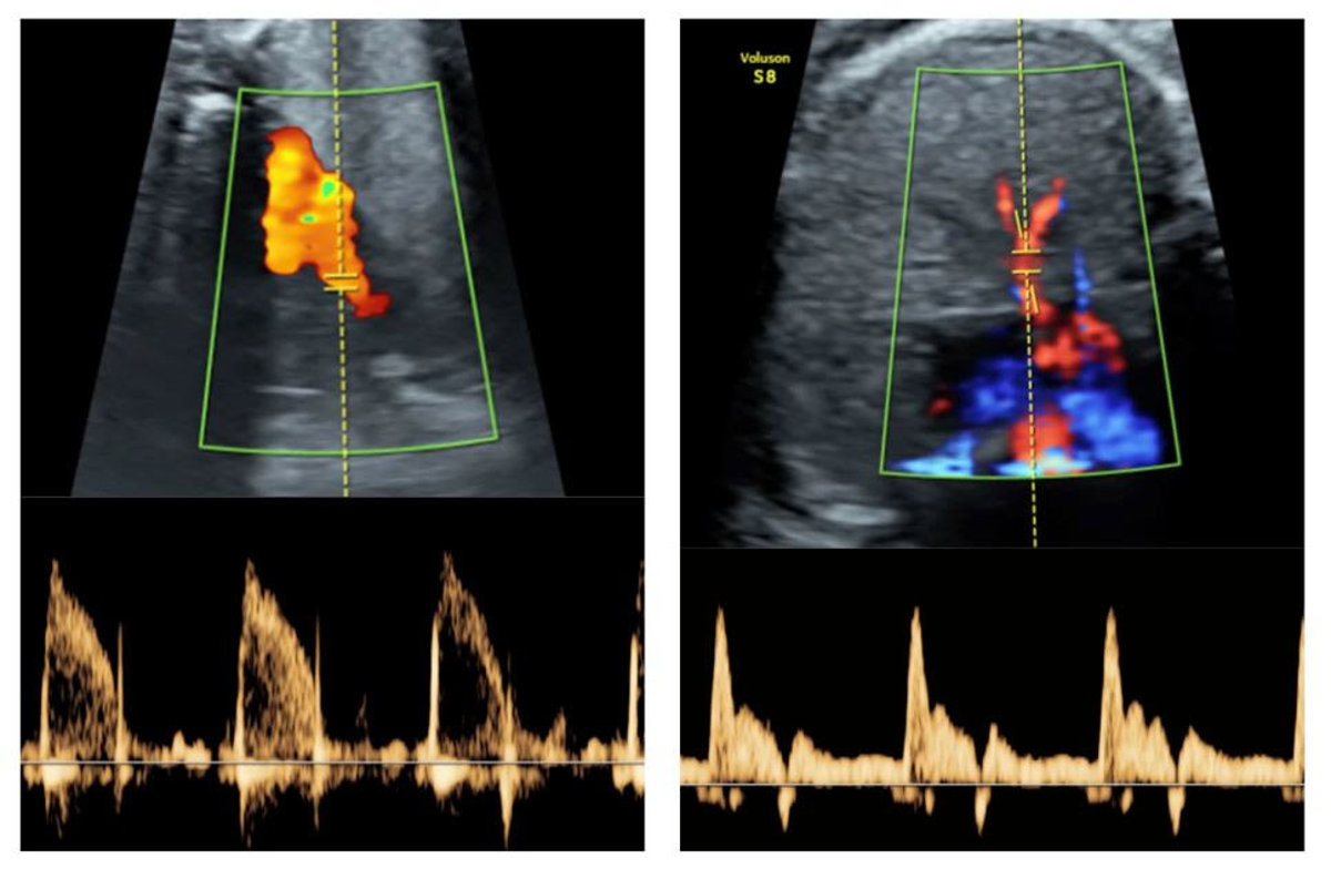
Reactividad vascular de pulmones de fetos demasiado pequeños (a la izquierda, las principales arterias pulmonares; a la derecha, imatge de les arterias intrapulmonares)
Reactividad vascular de pulmones de fetos demasiado pequeños (a la izquierda, las principales arterias pulmonares; a la derecha, imatge de les arterias intrapulmonares) - UNIVERSITAT POMPEU FABRA
Europa Press Catalunya
Publicado: viernes, 3 mayo 2024 12:33

BARCELONA, 3 May. (EUROPA PRESS) -

La Universitat Pompeu Fabra en Barcelona (UPF) y el centro de investigación BCNatal Fetal Medicine, integrado por los hospitales Clínic Barcelona y Sant Joan de Déu, han realizado un estudio que ha demostrado que los problemas de desarrollo pulmonar de los fetos están relacionados con la resistencia vascular, ha informado la universidad este viernes en un comunicado.

El estudio, publicado en la revista 'Scientific Reports' de 'Nature', ha analizado el flujo de la circulación de la sangre fetal y cómo se altera cuando la madre recibe oxígeno extra a partir de las pruebas realizadas en el Hospital Clínic a 208 mujeres embarazadas entre la semana 24 y 37 de gestación.

Los investigadores han medido la velocidad de las principales arterias y vasos pulmonares y han comparado los resultados usando técnicas de Inteligencia Artificial (IA), y han calculado la resistencia de los pulmones mediante un modelo informático.

97 de los casos correspondían a fetos que crecían por debajo de los niveles normales derivando en un peso "muy bajo" al nacer, y 111 de los fetos tenían un crecimiento normal, y el estudio ha detectado diferencias, en términos vasculares, entre el desarrollo de los pulmones de fetos con crecimiento restringido y normal.

OXÍGENO ADICIONAL PARA LOS FETOS CON CRECIMIENTO RESTRINGIDO

El investigador de la UPF Bart Bijnens ha explicado que los resultados indican que la velocidad sanguínea media y la resistencia vascular en los pulmones de los fetos con crecimiento restringido "es diferente de la los fetos normales, y que se puede normalizar proporcionando oxígeno adicional a las madres".

La investigadora del BCNatal Fàtima Crispi ha destacado que la detección de estas diferencias "abre la puerta al diseño futuro de estrategias terapéuticas para mejorar la función pulmonar en fetos con crecimiento restringido".

Crispi ha añadido que, "después del nacimiento, estas mejoras en el desarrollo fetal podrían reducir el riesgo de enfermedades respiratorias" más allá de la infancia e, incluso, en la adolescencia y la edad adulta.

Últimas noticias sobre estos temas

Contenido patrocinado