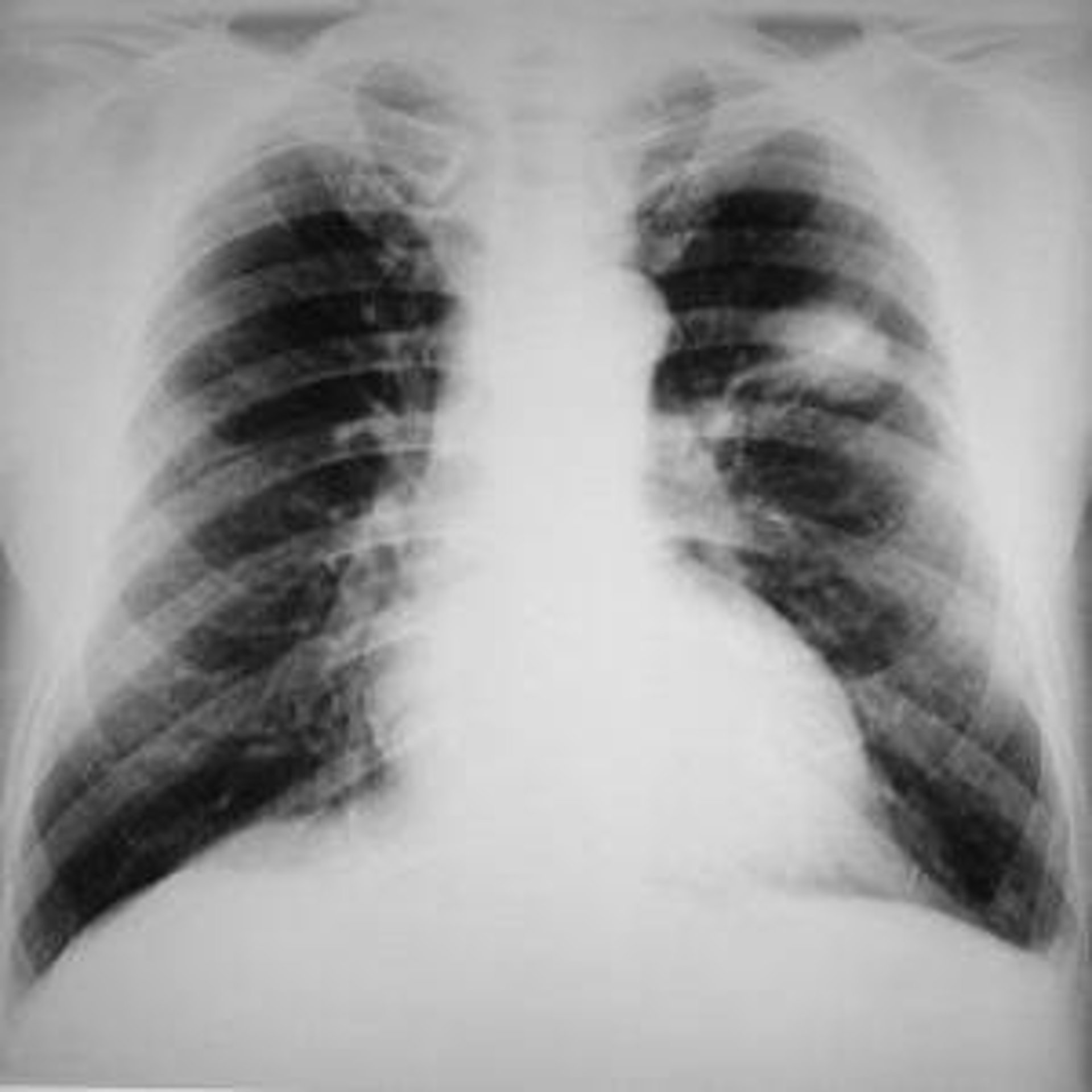
La detección a tiempo podría curar el 80% de los casos de cáncer de pulmón

Europa Press Ciencia
Actualizado: lunes, 12 marzo 2007 14:14

MADRID, 12 Mar. (EUROPA PRESS) -

La detección precoz del cáncer representa la posibilidad de curar hasta un 80 por ciento de los casos, reveló hoy la Sociedad Española de Neumología y Cirugía Torácica (SEPAR), y señaló que, lamentablemente, el diagnóstico temprano solo sucede entre un 15 y un 20 por ciento de las veces, "lo que explica que esta enfermedad sea hoy la principal causa de muerte oncológica en el mundo desarrollado", afirmó la Sociedad en un Comunicado.

"El mayor problema al que nos enfrentamos es que en ocho de cada diez casos los enfermos nos llegan a las consultas por primera vez cuando el tumor está ya en un estadio avanzado y sin apenas posibilidades de curación", dijo el cirujano torácico Laureano Molins López-Rodó.

La SEPAR señaló, además, que bajo la premisa de que hoy por hoy es una utopía que la sociedad abandone por completo el tabaco, la vía que queda es el desarrollo de técnicas para diagnosticara tiempo un tumor que sólo se revela con signos claros cuando está demasiado arraigado en el organismo, entre las que se cuenta el TAC o escáner helicoidal o el análisis del esputo, que "sigue siendo una vía válida y también prometedora para avanzar en el diagnóstico precoz".

También reveló la Sociedad que se está estudiando la obtención de biomarcadores para hallar 'huellas moleculares' procedentes de células neoplásicas ó pre-neoplásicas, entre otras investigaciones.

"Uno de los avances en la investigación molecular del cáncer reside en la identificación de todos aquellos genes implicados en el desarrollo del tumor y en el conocimiento de sus características funcionales", afirmó el especialista.

Este avance, explico Molins, servirá para la posible identificación de personas con susceptibilidad de padecer cáncer y para desarrollar nuevos marcadores, tanto de diagnóstico precoz en individuos de alto riesgo, como aplicación en el pronóstico y respuesta al tratamiento.

Contenido patrocinado