Publicado 21/10/2019 17:20

La Unidad de Aparato Locomotor del Área Sanitaria Norte de Córdoba inicia una campaña de prevención de caídas

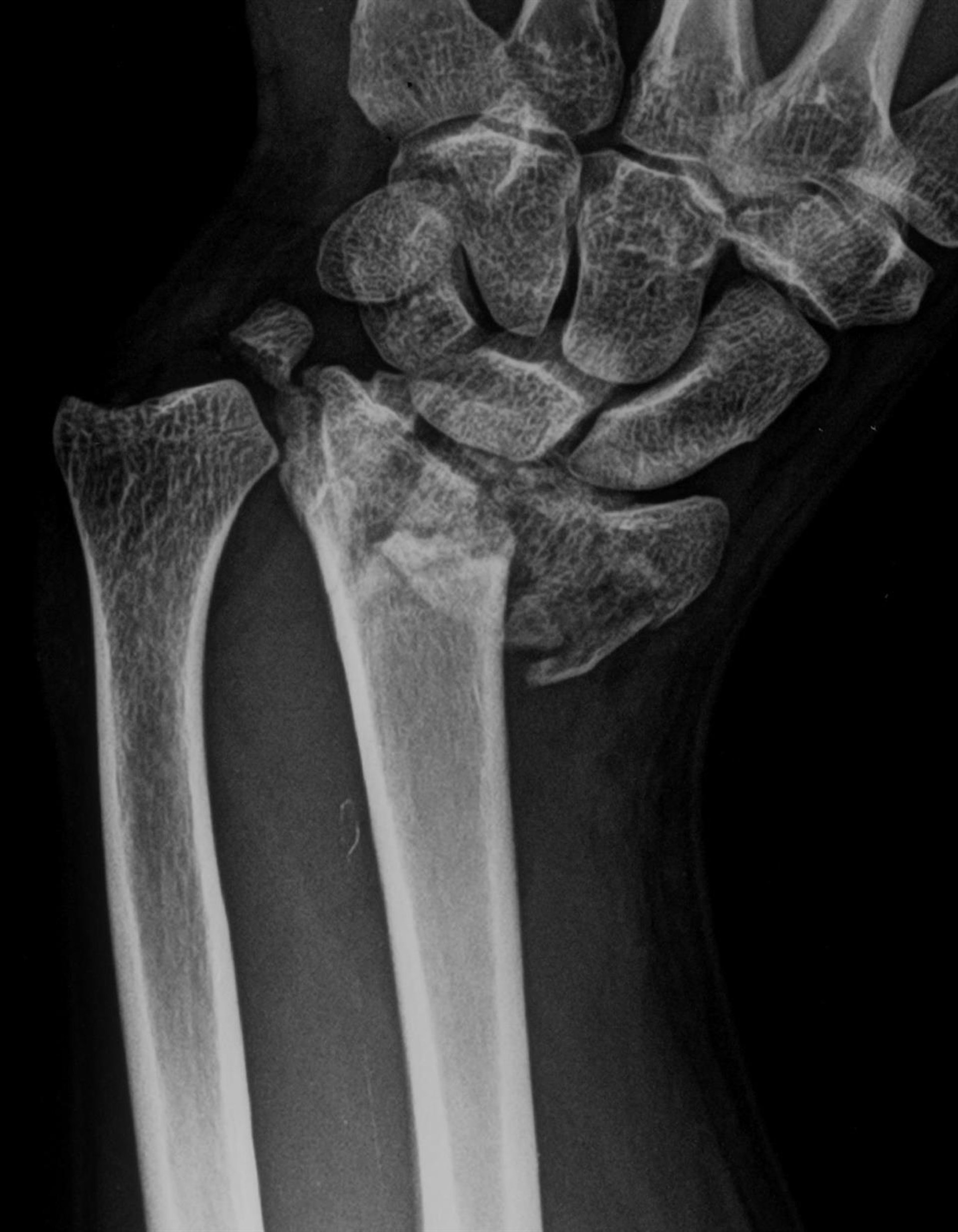
Fractura de radio
Fractura de radio - HOSPITAL LA LUZ - Archivo

POZOBLANCO (CÓRDOBA), 21 (EUROPA PRESS)

La Unidad de Aparato Locomotor del Área Sanitaria Norte de Córdoba, con motivo del Día Mundial de la Osteoporosis, que se ha celebrado el día 20 de octubre, ha programado una serie de talleres participativos dirigidos a la población mayor edad en los que se han abordado qué es y cómo se previene la osteoporosis y cómo evitar las fracturas y las caídas.

Según ha indicado la Junta en una nota, los talleres han sido impartidos por fisioterapeutas de la Unidad del Aparato Locomotor y han tenido lugar en el Centro de Personas Mayores de Pozoblanco (Córdoba), y en el Centro de Mayores de Villanueva de Córdoba, en el Centro de Salud de Peñarroya-Pueblonuevo y próximamente en la Residencia de Mayores Nuestra Señora de Alcantarilla.

Dichos talleres han sido eminentemente prácticos y, en ellos, los asistentes han podido conocer qué es la osteoporosis, consejos prácticos en la prevención para evitar caídas así como las principales recomendaciones de hábitos de vida saludables en materia de alimentación y ejercicio físico.

Se calcula que uno de cada cinco hombres y una de cada tres mujeres mayores de 50 años son propensos a tener una fractura osteoporótica. Las más comunes ocurren en la columna vertebral, la muñeca y la cadera. Pueden ser mortales o causar discapacidad a largo plazo. Sin embargo, en la actualidad esta enfermedad puede prevenirse, diagnosticarse y controlarse.

Desde hace 20 años, la Fundación Internacional de Osteoporosis (IOF) y la Organización Mundial de la Salud (OMS) lideran y promueven campañas buscando prevenir esta enfermedad. Por medio de historias e imágenes de personas reales que sufren de esta enfermedad a nivel mundial se busca concienciar a la población de su importancia en su prevención.

Últimas noticias sobre estos temas

Contenido patrocinado