Los dos pacientes con Aspergillus en el Hospital de Fuenlabrada continúan estables y evolucionan bien

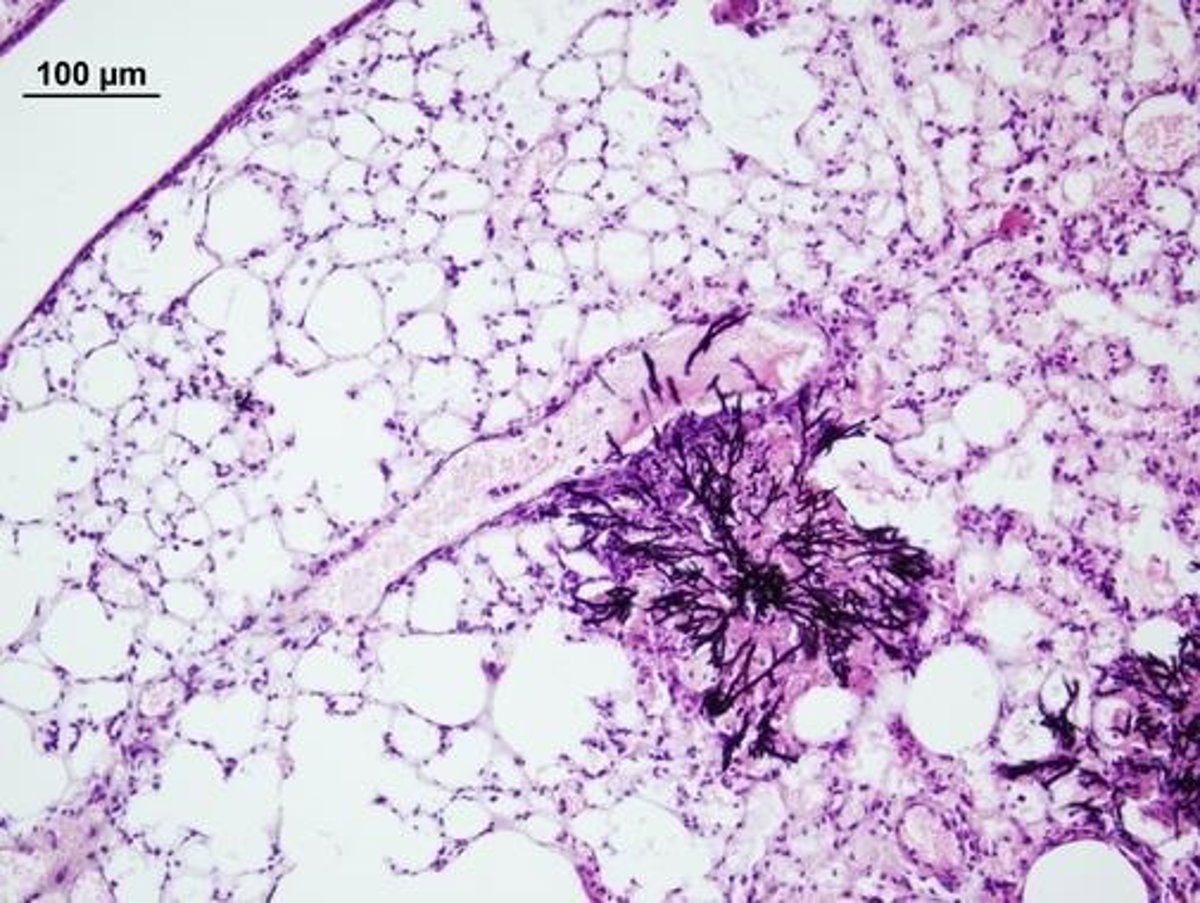
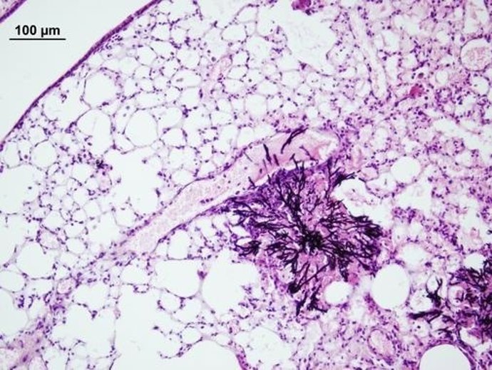
Hongo Aspergillus fumigatus
IBFG
Europa Press Madrid
Actualizado: sábado, 11 noviembre 2017 12:41


MADRID, 11 Nov. (EUROPA PRESS) -

Los dos pacientes infectados por el hongo Aspergillus que han motivado el cierre temporal de la Unidad de Cuidados Intensivos (UCI) del Hospital Universitario de Fuenalabrada se encuentran "estables" y "dentro de la normalidad", según ha informado este sábado a Europa Press una portavoz del centro hospitalario.

El jefe de la UCI, Joaquín Álvarez, informó este viernes a los medios del estado de estas dos personas de 80 y 60 años que, en el momento de ser diagnósticados por el Aspergillus, se encontraban ingresados en la UCI por una "infección grave".

Por su parte, el Director Médico del Hospital, Antonio Zapatero, señaló que se procederá a "una limpieza absoluta" de la Unidad de Cuidados Intensivos con un proceso de "higienización y controles biológicos exhaustivos".

Este proceso incluye la "limpieza de los respiradores" y de todo el material e instrumental médico. Posteriormente, se tomarán muestras en las salas y, si son negativas, la UCI se reabrirá en "un periodo de tiempo corto".

Artículos Relacionados

Últimas noticias sobre estos temas

Contenido patrocinado