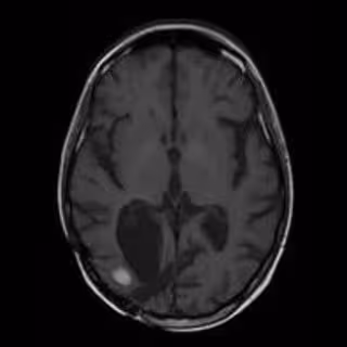
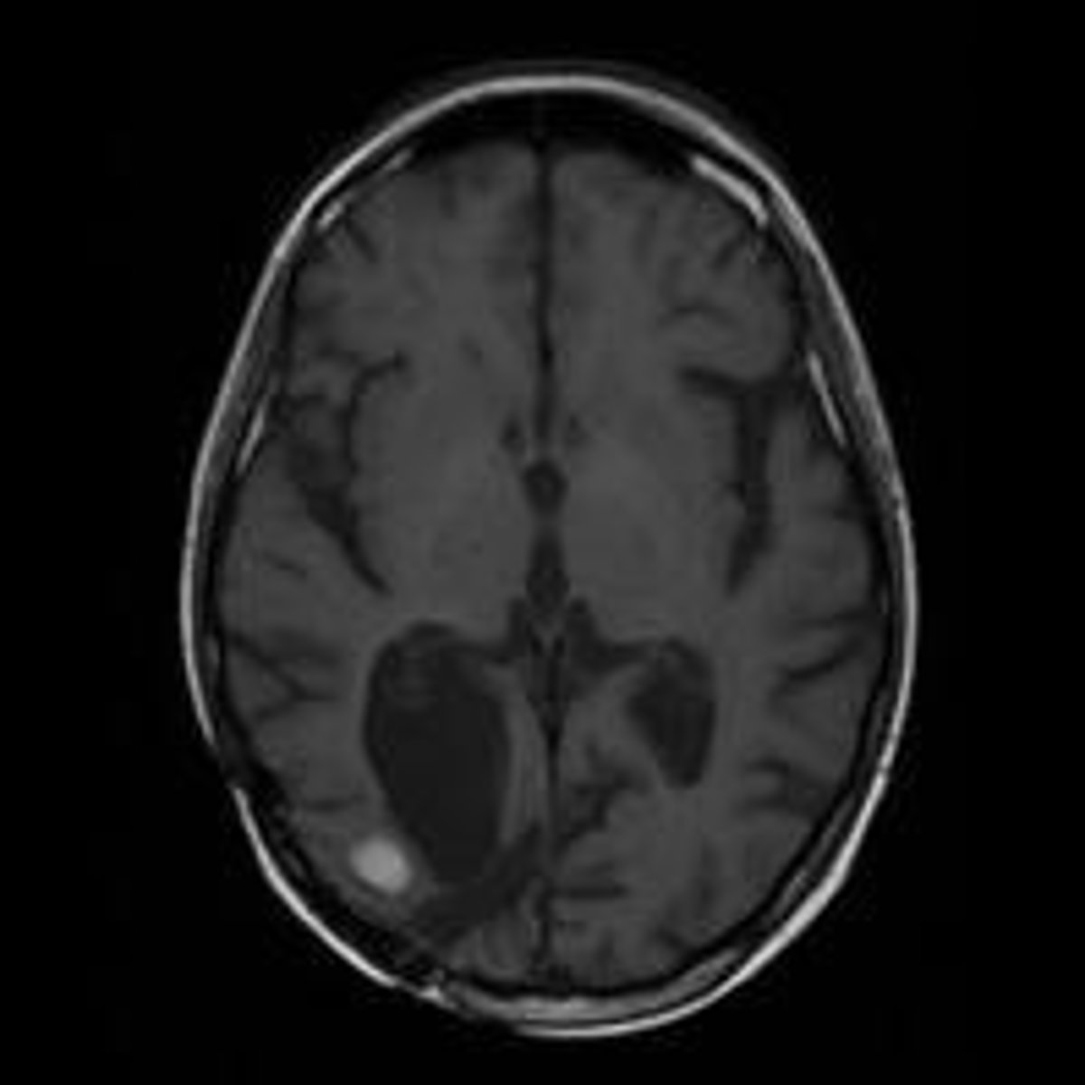
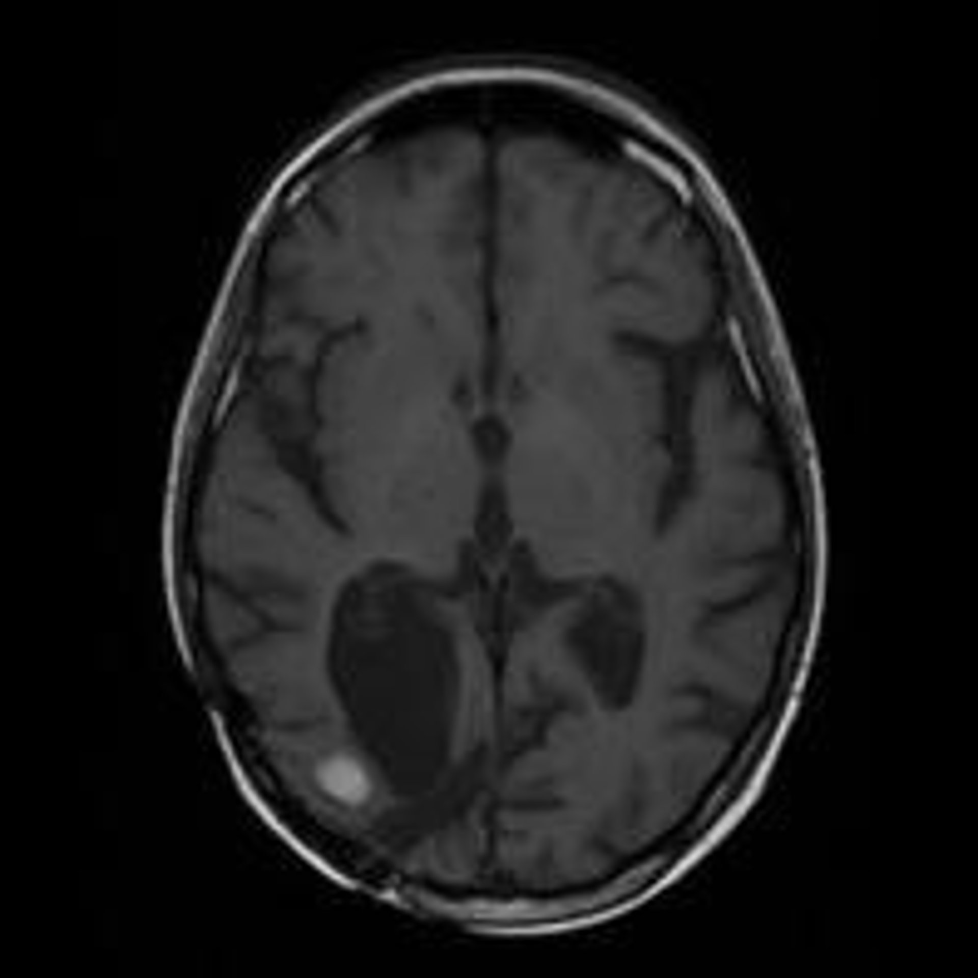
El 30% de las metástasis de pacientes con cáncer de mama afectan al cerebro

Resonancia Magnética De Un Cerebro Con Metástasis
IDIBELL
Europa Press Catalunya
Actualizado: lunes, 1 agosto 2011 19:30

BARCELONA 1 Ago. (EUROPA PRESS) -

Investigadores del Instituto de Investigación Biomédica de Bellvitge (Idibell) han hallado diversos biomarcadores útiles para predecir el riesgo de metástasis cerebral en pacientes con cáncer de mama, una complicación que representa el 30% de las metástasis producidas por este tumor.

En un comunicado, el Idibell ha señalado que la sobreexpresión de determinadas proteínas en el tumor primario muestra la predisposición de la paciente a que la metástasis acabe afectando al cerebro, según demuestra un estudio elaborado sobre 300 muestras clínicas y cuyos resultados publica la revista 'The American Journal of Pathology'.

Estos biomarcadores permiten la predicción del riesgo tanto en pacientes con tumores ErB2 positivos como en tumores triple negativo, por lo que su uso sería beneficioso para catalogar a dichos pacientes, los dos subgrupos más proclives a desarrollar metástasis cerebral.

Conocer la presencia del biomarcador ayudará a planificar exploraciones dirigidas al diagnóstico precoz, y por otro la sobreexpresión de estas proteínas puede indicar el uso de terapias concretas.

El estudio, coordinado por la investigadora del grupo de Claves Biológicas del Fenotipo Invasivo y Metastático del Idibell, Àngels Sierra, ha contado con la financiación de la Unión Europea (UE), el Ministerio de Ciencia, el Instituto de Salud Carlos III y la Red de Bancos de Tumores de Catalunya.

Junto con el grupo del Idibell, han participado el Instituto Catalán de Oncología (ICO), el Hospital de Bellvitge y la Universitat Pompeu Fabra (UPF), además de investigadores franceses y holandeses.

Contenido patrocinado