Hallan un nuevo marcador genético vinculado a hemorragias cerebrales

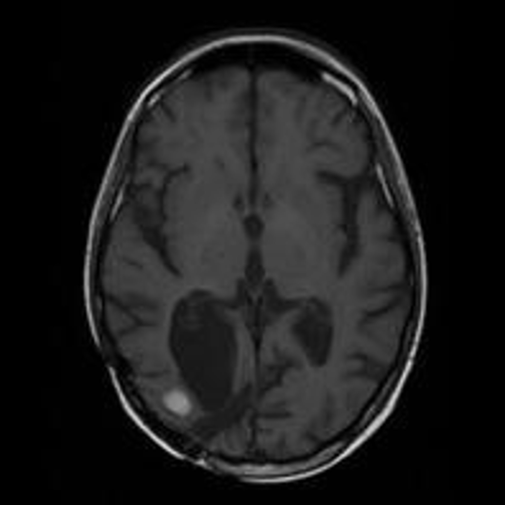
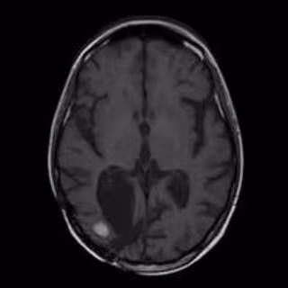
Resonancia Magnética De Un Cerebro Con Metástasis
IDIBELL
Europa Press Catalunya
Actualizado: martes, 2 agosto 2011 13:08

BARCELONA 2 Ago. (EUROPA PRESS) -

Investigadores del Hospital del Mar de Barcelona han hallado un nuevo marcador genético vinculado a las hemorragias cerebrales, el gen Apoe E2, cuya presencia podría indicar una mayor probabilidad de sufrir hemorragias más importantes y por tanto un mayor riesgo de muerte o incapacidad.

Los resultados, que publica la revista 'Lancet Neurology', se han obtenido tras analizar la extensión de la hemorragia cerebral y su localización en 846 pacientes afectados por una hemorragia en la corteza cerebral y en 1.176 afectados por hemorragias en zonas cerebrales más profundas, todos ellos mayores de 55 años.

El jefe del Servicio de neurología y jefe del grupo de investigación Jaume Roquer, ha subrayado en un comunicado que la aplicabilidad clínica de este descubrimiento "está limitada por el hecho de que la hemorragia cerebral no tiene un tratamiento médico específico".

A pesar de ello, el neurólogo ha explicado que conocer si el paciente es portador o no del Apoe E2 podría servir como valor pronóstico para planificar y diseñar ensayos clínicos con nuevos tratamientos.

Los científicos han demostrado cómo, las personas portadoras de este gen, tienen unos vasos sanguíneos en el cerebro más vulnerables, por lo que en caso de que se produzca una hemorragia en la cercanía de estos vasos, éstos pueden romperse con más facilidad.

Contenido patrocinado