El 45% de los cánceres de pulmón están infradiagnosticados

Europa Press Ciencia
Actualizado: viernes, 30 marzo 2007 15:26

MADRID, 30 Mar. (EUROPA PRESS) -

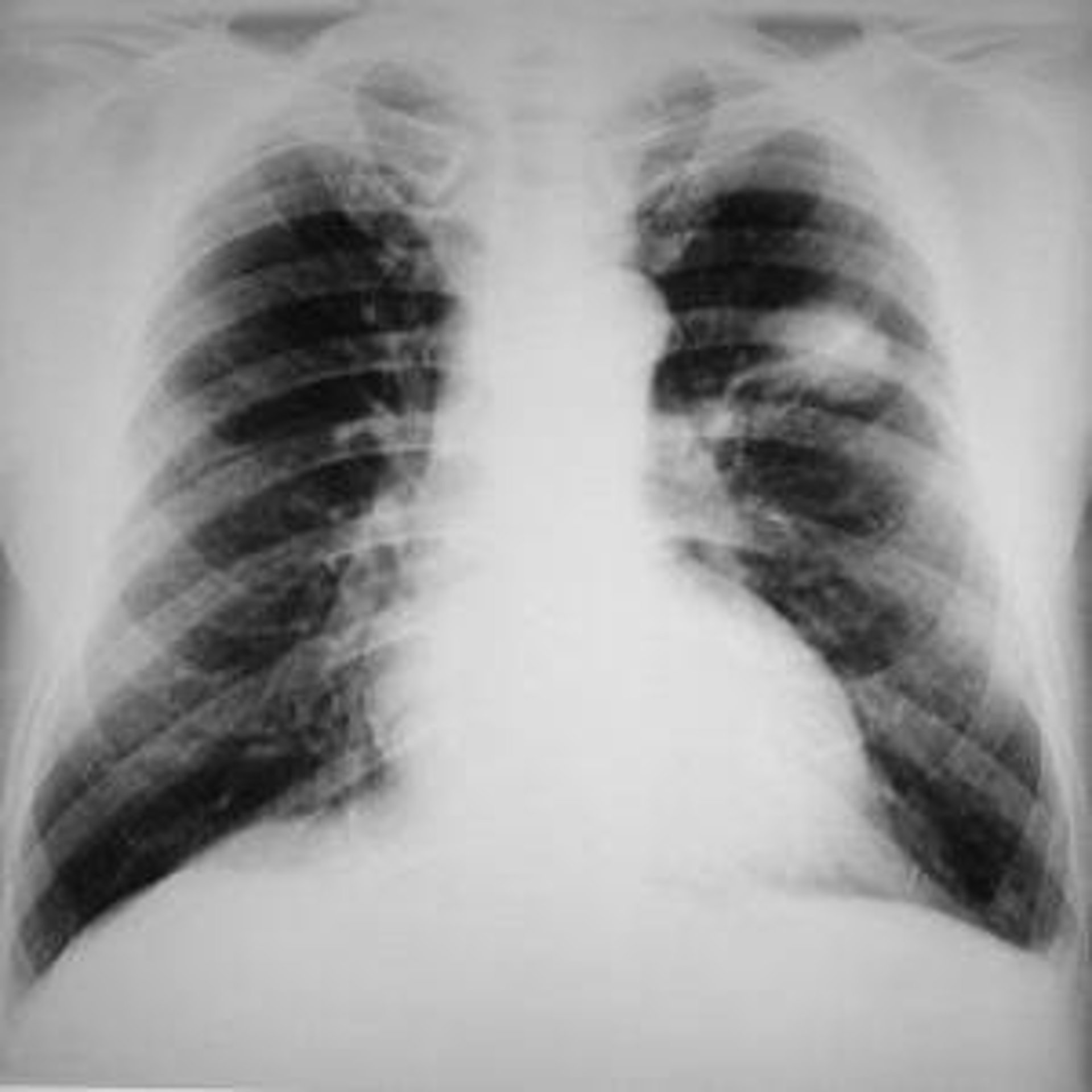
El 45 por ciento de los cánceres de pulmón están infradiagnosticados, según expertos reunidos en el X Simposio Internacional en Diagnóstico por la Imagen de CRC Corporació Sanitària. Estos especialistas reclamaron la técnica PET-TC como primera prueba diagnóstica para determinar tanto el alcance del tumor como el pronóstico y el tratamiento.

Los expertos destacaron que esta técnica está demostrando ser eficaz sobre todo en el caso de las lesiones subestimadas. "La suma de PET y TC en una misma imagen es fundamental, porque aporta información sobre la morfología de los nódulos -la TC es capaz de detectar los de menor tamaño- pero también sobre su actividad funcional", dijo el doctor José Vilar, jefe del Servicio de Radiodiagnóstico del Hospital Universitario Dr. Peset de Valencia.

Según los especialistas reunidos en el X Simposio, la PET-TC cambia mucho el diagnóstico si se compara con una única prueba de TC, ya que "aporta mucha más seguridad, ayuda a definir el tamaño de la lesión real y a medir la actividad metabólica del tumor, información muy importante para la estadificación, el seguimiento y el pronóstico".

Una delimitación exacta de los límites del tumor permite decidir si es conveniente o no realizar cirugía o una biopsia. En este último caso, "ayuda a definir el lugar exacto, ya que señala dónde hay actividad metabólica y dónde no, delimita el contorno exacto del tumor. "Con todo ello podemos evitar cirugías innecesarias, de las que el paciente no se beneficiaría realmente", señalaron.

Los expertos coinciden en señalar que esta técnica híbrida, de la que en Cataluña existen actualmente cuatro equipos -uno de ellos en el Instituto de Alta Tecnología de CRC Corporació Sanitària- se acabará imponiendo en el diagnóstico y el seguimiento del cáncer de pulmón.

CRIBADO Y MORTALIDAD.

Actualmente, el índice de supervivencia global en cáncer de pulmón a los cinco años es del 14 por ciento. "No hemos avanzado mucho en los últimos años", comentó el doctor Stefan Diederich, responsable del departamento de Departamento de Radiología Diagnóstica e Intervencionista del Marien Hospital de Dusseldorf (Alemania).

Sin embargo, los especialistas no dudan en señalar que la detección precoz es clave, porque cuanto antes se detecte más elevado será este índice. Diversos estudios puestos de relieve en el simposio muestran cómo la supervivencia a los cinco años en un cáncer de pulmón detectado en Estadio I es del 67%; y que a partir de ahí empieza a descender: 55% en Estadio II, 22% en Estadio III, y sólo un 1% en Estadio IV.

La detección del cáncer de pulmón en un Estadio I es difícil, ya que los síntomas son inespecíficos y en muchos casos la enfermedad se diagnostica cuando el tumor es inoperable o se ha extendido a otras partes del cuerpo. Sin embargo, hay unos grupos de riesgo bastante claros, como son los fumadores o ex-fumadores -de hecho más del 85% de los casos se producen en este grupo- y también personas que han estado expuestas al amianto en el trabajo.

Algunos expertos recomiendan realizar una TC anual a fumadores o ex fumadores en busca de pequeños nódulos pulmonares. Si de detectan los nódulos, la TC se repite a los 3 meses para comprobar si hay o no crecimiento. Según el doctor Diederich, el concepto de cribado en cáncer de pulmón no es nuevo -se han realizado estudios en Estados Unidos o en Checoslovaquia, por ejemplo-, pero "no está demostrado que este sistema salve vidas".

En este sentido, advirtió que faltan los resultados de estudios poblacionales que demuestren que los programas de cribado reducen la mortalidad por cáncer de pulmón, unos estudios que se están llevando a cabo en Estados Unidos y en Europa pero cuyos primeros resultados no se esperan al menos hasta 2010.

Contenido patrocinado