Un procesador de imágenes por satélite permite estudiar el Alzheimer

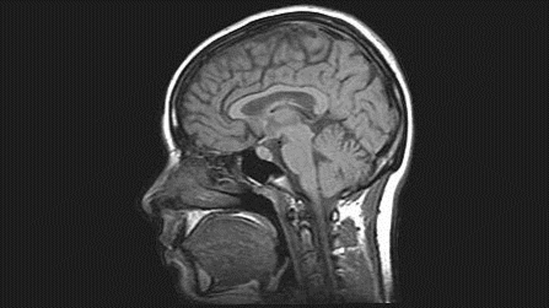
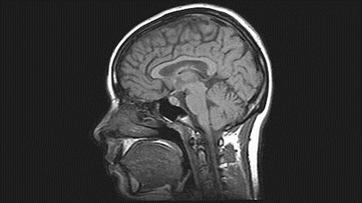
Cerebro humano
WIKIMEDIA COMMONS
Europa Press Ciencia
Actualizado: lunes, 1 julio 2013 20:22

MADRID, 1 Jul. (EUROPA PRESS) -

El software 'AlzTools 3D Slicer' de Elecnor Deimos, utilizado para procesar las imágenes tomadas por los satélites desde el espacio, permite a los médicos a establecer un método sencillo para estudiar la enfermedad de Alzheimer entre la población.

Para ello, la herramienta utiliza rutinas espaciales para analizar las imágenes de resonancia magnética (IRMs), gracias a la experiencia adquirida por Deimos para la ESA al desarrollar rutinas de 'software' que permiten analizar las imágenes por satélite, buscando patrones e identificando elementos específicos.

"Cuando trabajas con una imagen por satélite, necesitas rutinas especiales para extraer información de una parte de la imagen, que puede ser un campo o una cosecha. En este sentido, el análisis de las imágenes por satélite se puede comparar con lo que tienen que hacer los médicos para comprender el resultado de los escáneres cerebrales, como las IRMs. De hecho, los médicos también tienen que identificar ciertas características en la imagen que pueden ser un indicativo de disfunciones cerebrales", ha comentado el experto de Deimos, Carlos Fernández de la Peña.

Para poder adaptar las técnicas utilizadas para el análisis de las imágenes espaciales al estudio de la enfermedad de Alzheimer, Deimos ha trabajado en colaboración con los especialistas de la Universidad Politécnica de Madrid.

"Trabajamos muy ligados a la industria española y a Elecnor Deimos en particular a través de ProEspacio, la Asociación Española de Compañías del Sector Espacial, para promover la adaptación de la tecnología espacial en otros sectores industriales", ha explicado el agente tecnológico para España del Programa de Transferencia Tecnológica de la ESA, Richard Seddon.

Los científicos de Deimos utilizan AlzTools para analizar los datos tomados por un escáner cerebral, en vez de un satélite de observación de la Tierra. En lugar de una cosecha o de una carretera, analizan zonas del cerebro como el hipocampo, cuya atrofia está relacionada con el Alzheimer.

Esta nueva herramienta ya está siendo utilizada para la investigación del Alzheimer en la Facultad de Medicina de la Universidad de Castilla la Mancha en Albacete, España.

Contenido patrocinado