El Hospital General de Alicante realiza el primer transplante de córnea endotelial

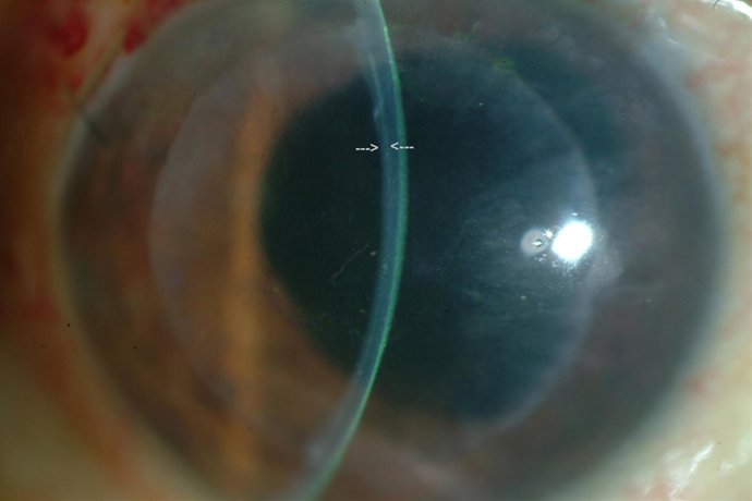
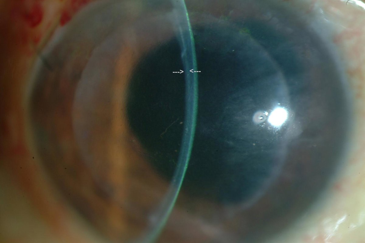
Imagen detalle de la córnea de un globo ocular
GVA
Europa Press C. Valenciana
Actualizado: domingo, 7 julio 2013 13:52

ALICANTE 7 Jul. (EUROPA PRESS) -

El Servicio de Oftalmología del Hospital General de Alicante ha incorporado una nueva técnica para el trasplante de córnea, llamada trasplante lamelar endotelial o posterior, una intervención sin suturas que permite una rehabilitación visual muy rápida y reduce las posibilidades de rechazo de la córnea trasplantada.

Esta novedosa técnica permite trasplantar solamente la capa más posterior de la córnea del paciente receptor, dejando el resto inalteradas, lo que se traduce en una recuperación visual rápida en comparación con el trasplante de córnea completo o perforante, ha informado la Generalitat en un comunicado.

El primer trasplante de este tipo se realizó el viernes 28 de junio a una paciente de 82 años que padecía una pérdida de visión secundaria a un trastorno que afectaba a la capa posterior de la córnea (endotelio corneal). La cirugía, que duró aproximadamente una hora, fue realizada por el doctor Juan J. Pérez-Santonja, jefe del Servicio de Oftalmología, y consistió en una extracción de la capa endotelial dañada de la paciente que fue reemplazada por un endotelio sano donante.

La técnica se realizó bajo anestesia local, anestesia peribulbar, practicada por el doctor. Roque Company, Jefe del Servicio de Anestesiología. "Este tipo de anestesia consiste en bloquear la inervación del ojo depositando una solución anestésica alrededor del globo ocular; con el objetivo de que el paciente esté tranquilo se le administra un ansiolítico por vía intravenosa y se monitoriza y controla en todo momento", ha explicado Company.

Esta intervención tiene varias ventajas si se compara con un trasplante completo de córnea, la técnica utilizada hasta la actualidad. En primer lugar, se trata de una cirugía más corta, no emplea puntos de sutura, permitiendo una recuperación visual rápida en 10 o 12 semanas y con un astigmatismo residual pequeño.

"En un trasplante de córnea clásico las suturas no se pueden retirar hasta el año de la cirugía, lo que origina una recuperación visual lenta y con astigmatismos elevados", ha indicado el doctor Pérez-Santonja.

Además, el nuevo procedimiento permite preservar las capas de la córnea que están sanas, sustituyendo únicamente las capas alteradas, reduciéndose así la cantidad de tejido trasplantado y, por tanto, la posibilidad de rechazo.

Otra ventaja del nuevo procedimiento es la reducción de complicaciones intraoperatorias, como hemorragias o pérdidas del contenido ocular, al trabajar con el ojo cerrado y con pequeñas incisiones. Además, aporta una mayor resistencia a los traumatismos oculares tras el trasplante.

RECAMBIO MÁS FÁCIL

"En el caso de que hubiera de repetirse el trasplante, por rechazo o por otro motivo, esta técnica también permite recambiar el trasplante de forma más fácil y sencilla que en el trasplante clásico", ha agregado el facultativo.

Los pacientes candidatos a esta cirugía son los que presentan problemas de la capa posterior de la córnea, siendo los más frecuentes las distrofias endoteliales y los trastornos endoteliales secundarios a cirugía complicadas de catarata.

El Servicio de Oftalmología del Hospital General tiene una larga trayectoria en la realización de trasplantes de córnea durante décadas y es uno de los centros que más trasplantes de córnea realiza de toda la geografía española, con cerca de un centenar de trasplantes cada año. Asimismo, hace dos meses realizó el primer trasplante lamelar anterior de córnea.

Contenido patrocinado

Hemeroteca en Valencià d'Europa Press