Investigadores estudian la respuesta de la dorada para hallar métodos de lucha contra parásitos intestinales

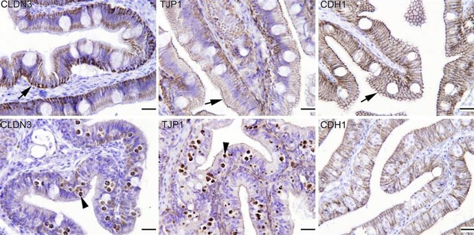
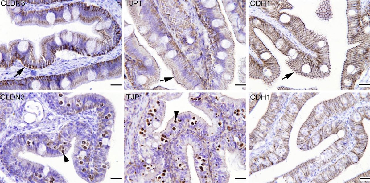
Comparativa intestino dorada
Comparativa intestino dorada - CSIC
Europa Press C. Valenciana
Publicado: martes, 12 noviembre 2019 12:44


CASTELLÓ, 12 Nov. (EUROPA PRESS) -

Investigadores del Instituto de Acuicultura Torre de la Sal (IATS)
--centro del Consejo Superior de Investigaciones Científicas (CSIC)-- han estudiado la respuesta de la dorada frente al parásito intestinal Enteromyxum leei. Los resultados del trabajo, que podrían servir para desarrollar nuevos métodos de lucha contra estos parásitos, han sido publicados en la revista 'Parasites & Vectors'.

La enteritis es la inflamación del intestino en su sentido más amplio. En humanos, puede deberse a infecciones virales, bacterianas o parasitarias, inducidas por agentes exógenos como la radiación, los medicamentos o el abuso de drogas, entre otros, o debido a afecciones inflamatorias como la enfermedad de Crohn o la colitis ulcerosa.

En la producción animal, la enteritis es responsable de graves pérdidas económicas, siendo el parasitismo intestinal un importante factor de estrés que conduce a la desnutrición y a la disminución del rendimiento y la eficiencia de producción del ganado y las aves de corral.

La investigadora en el IATS Carla Piazzon explica, a través de un comunicado, que "el intestino de los peces desempeña varias funciones fisiológicas que van más allá de la digestión de los alimentos y la absorción de nutrientes". "También tiene una función inmunológica importante con un papel clave en la protección del animal frente a los patógenos. Por lo tanto, su integridad es esencial para garantizar su crecimiento, salud y bienestar de los peces", añade.

La experta apunta que "la integridad intestinal de los peces se ha estudiado principalmente en relación con diferentes intervenciones dietéticas que pueden causar enteritis, pero casi no hay datos disponibles para la enteritis inducida por patógenos".

ENFOQUE MULTIDISCIPLINAR

Por su parte, Ariadna Sitj-Bobadilla, investigadora principal del estudio, señala que "el objetivo de este trabajo era describir el fallo intestinal resultante de la presencia del parásito intestinal Enteromyxum leei en la dorada, Sparus aurata, empleando un enfoque multidisciplinar con técnicas de inmunocitoquímica, electrofisiología, permeabilidad intestinal y herramientas de metabolómica, para así identificar y validar marcadores séricos no letales de disfunción de la barrera intestinal".

"Los resultados obtenidos proporcionan la primera evidencia funcional de la interrupción de la integridad intestinal por el parásito Enteromyxum leei. También hemos demostrado que los peces parasitados tienen un metaboloma sérico distinto, y que los metabolitos creatina e inosina son buenos marcadores para diferenciar los peces parasitados y no parasitados", concluye Jaume Pérez-Sánchez, profesor de investigación del IATS.

Este trabajo, que aumenta los conocimientos que se tenían sobre la interacción de los diferentes factores involucrados en la fisiopatología de la enteritis, y que abre la puerta a nuevos tratamientos paliativos futuros, ha sido desarrollado en colaboración con la Universidad Jaume I de Castellón, la Universidad de Cádiz y la Universidad de Algarve (Portugal), y cuenta con financiación nacional y europea (Aquaexcel2020 y ParaFishControl).

Contenido patrocinado

Hemeroteca en Valencià d'Europa Press