El Hospital de La Candelaria atiende un millar de casos de ictus en los últimos siete años

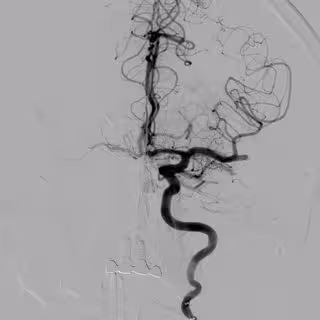
Imagen de arteria obstruida con trombo
CEDIDA
Europa Press Islas Canarias
Actualizado: miércoles, 2 agosto 2017 12:24

SANTA CRUZ DE TENERIFE 2 Ago. (EUROPA PRESS) -

La Unidad de Ictus del Hospital Universitario Ntra. Sra. de Candelaria, coordinada por el servicio de Neurología, ha atendido a 1.074 pacientes que han sufrido un accidente cerebrovascular (ACV) o ictus en los últimos siete años, y la media anual de pacientes que han requerido tratamiento en la unidad del centro hospitalario tras la activación del 'Código Ictus' se sitúa en torno a 150 casos.

Un ictus o accidente cerebrovascular (ACV) es una enfermedad vascular que afecta a los vasos sanguíneos que suministran sangre al cerebro. Cuando por diferentes motivos las células del cerebro no reciben el aporte necesario de sangre, éstas pierden su función, se produce una hemorragia o infarto cerebral y como consecuencia aparecen síntomas como trastornos psicomotrices y de la marcha, cuadros de parálisis, dificultad o trastorno para hablar, entre otros.

De ahí la importancia de activar el denominado 'Código Ictus' una vez se presencian estos síntomas, puesto que el tratamiento médico que debe aplicarse para evitar trombos cerebrales dispone de una ventana temporal limitada, según recoge una nota de prensa de la Consejería de Sanidad del Gobierno de Canarias.

LA PRIMERA UNIDAD DE ICTUS

La Unidad de Ictus del Hospital de La Candelaria fue la primera unidad especializada de Canarias, puesta en marcha en 2002. En ella participa un amplio equipo multidisciplinar de profesionales integrado por neurólogos, neurorradiólogos, radiólogos intervencionistas y médicos intensivistas, además de por enfermeros que, durante todo el proceso del diagnóstico, control y recuperación, atienden al paciente coordinados por los neurólogos.

También participan especialistas como médicos rehabilitadores y fisioterapeutas para el inicio del tratamiento de las posibles secuelas que pueden aparecer después de sufrir un accidente cerebrovascular.

Con quince años de experiencia, la Unidad de Ictus ha atendido de forma eficaz y protocolizada a todos aquellos pacientes que han sufrido un infarto o hemorragia cerebral, mediante medidas terapéuticas para evitar en la medida de lo posible lesiones cerebrales, potenciando la recuperación funcional del pacientes y estableciendo el control de factores de riesgos identificados.

Dispone de habitaciones preparadas para una vigilancia del paciente las 24 horas, 365 días al año, ofreciendo una monitorización y cuidados intermedios. En este sentido, el equipo de enfermería controla y moviliza al paciente, además de administrarle la medicación pautada.

TÉCNICA ESPECÍFICA PARA LA EXTRACCIÓN DE COÁGULOS

Actualmente, la Unidad de Ictus del HUNSC cuenta, además de la cobertura farmacológica terapéutica, con otras técnicas especializadas incorporadas recientemente para el tratamiento de determinados casos con la aplicación en sala de una técnica intervencionista denominada trombectomía mecánica de la que se han beneficiado hasta el momento 85 pacientes diagnosticados de Ictus y con una tasa de éxito de recanalización superior al 80%.

El procedimiento, realizado en la sala de radiología vascular intervencionista se pone en marcha una vez diagnosticada la obstrucción de la arteria intracerebral mediante TAC. Ya en sala se realiza una arteriografía para confirmar los hallazgos y valorar la posibilidad de extraer el trombo o coágulo en el paciente candidato.

Para ello se introduce un catéter a través de la arteria femoral hasta la arteria carótida interna del lado afecto, para posteriormente, y a través de este mismo catéter, introducir otro más fino denominado microcatéter que será el responsable de acceder a la arteria intracerebral que presenta el trombo. Una vez en la zona se coloca un dispositivo que actúa en forma de red (stent-retriever) que permite 'atrapar' y recuperar el coágulo de sangre, para finalizar retirando el stent del mismo modo que se efectúa con los catéteres y así comprobar que la arteria vuelve a ser permeable.

Contenido patrocinado