Vithas Madrid Aravaca implanta con éxito una prótesis de muñeca que elimina el dolor y mantiene la movilidad y fuerza

Prótesis de muñeca
Prótesis de muñeca - VITHAS
Europa Press Madrid
Publicado: jueves, 27 abril 2023 12:47


MADRID, 27 Abr. (EUROPA PRESS) -

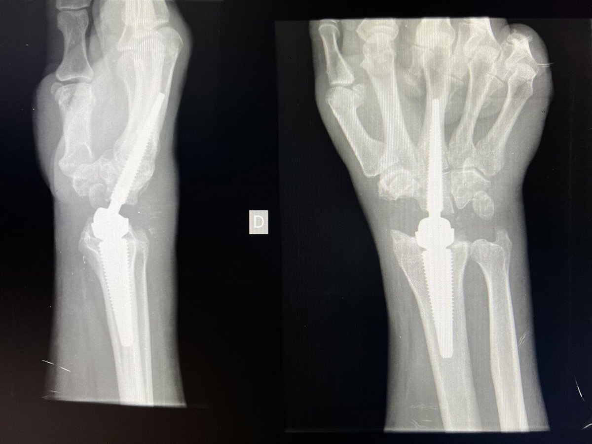
El Hospital Universitario Vithas Madrid Aravaca ha implantado una novedosa prótesis total de muñeca que sustituye a la articulación dañada en diez pacientes que tiene por objetivo eliminar el dolor y recuperar la movilidad y la fuerza.

Esta técnica está destinada a pacientes que sufren patologías como osteoartritis, artritis reumatoide, secuelas de fracturas de radio distal, Enfermedad de Kienbck o fallos en cirugías sobre la muñeca, ha informado Vithas en un comunicado.

El jefe de la Unidad de Cirugía de la Mano del Hospital Universitario Vithas Madrid Aravaca, Damián Gómez Hernández, ha recordado que "los pacientes se niegan a tener la muñeca fija, lo que se conoce como artrodesis, y prefieren, como primera opción, tener algo de movilidad sin dolor" y, en este sentido, ha destacado que este procedimiento "permite satisfacer el deseo del paciente".

Junto al doctor Javier Martínez Mesa, este especialista ha colocado ya diez de estas prótesis totales de muñeca. "Hasta el momento, estamos obteniendo muy buenos resultados. Hay que tener en cuenta que no es un procedimiento que esté indicado con mucha frecuencia y que los pacientes son muy bien seleccionados", ha explicado.

RECUPERAR LAS ACTIVIDADES COTIDIANAS

El procedimiento para implantar una prótesis total de muñeca consiste en "una cirugía ambulatoria", aunque en algunos pacientes se requiere una noche de hospitalización posterior a la cirugía.

En cuanto al postoperatorio, el jefe de la Unidad de Cirugía de la Mano del Hospital Universitario Vithas Madrid Aravaca ha explicado que "el paciente se mantiene inmovilizado con una férula antebraquial durante 15 días, hasta la retirada de los puntos de sutura y, posteriormente, con un yeso fibra de vidrio, hasta cumplir el mes desde la operación".

A partir de ese momento, el paciente puede realizar actividades de rutina, tales como conducir, trabajar con el ordenador, así como ciertas manualidades en la cocina, entre otras.

"Luego mantenemos una muñequera estabilizadora durante un mes para dormir y, a los dos meses de la intervención, comenzamos la fisioterapia", ha concretado el especialista.

El tiempo de recuperación ronda entre los tres y cuatro meses, con una revisión a los seis de ser operado, así como una visita anual, indefinidamente, para un seguimiento exhaustivo de la implantación.

Últimas noticias sobre estos temas

Contenido patrocinado