Un inmigrante puede ser adulto o adolescente según dónde le examinen

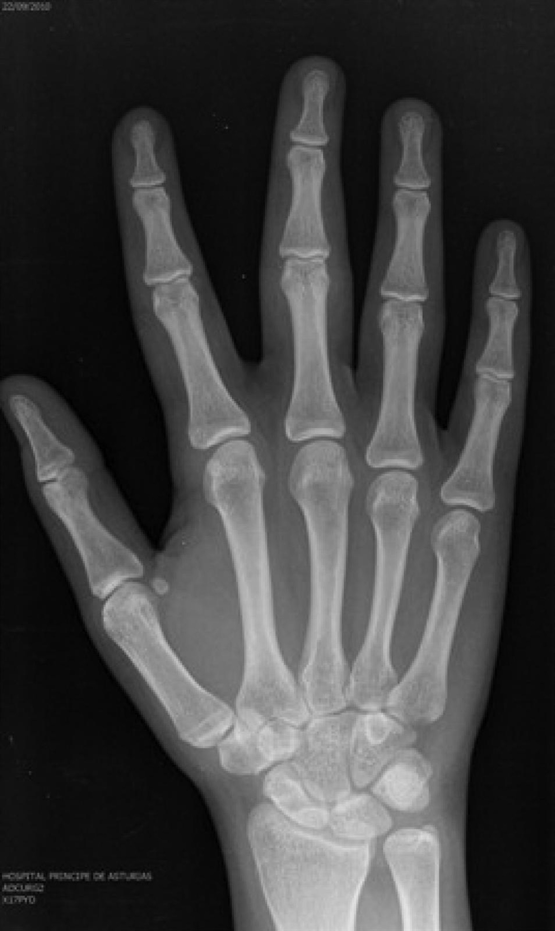
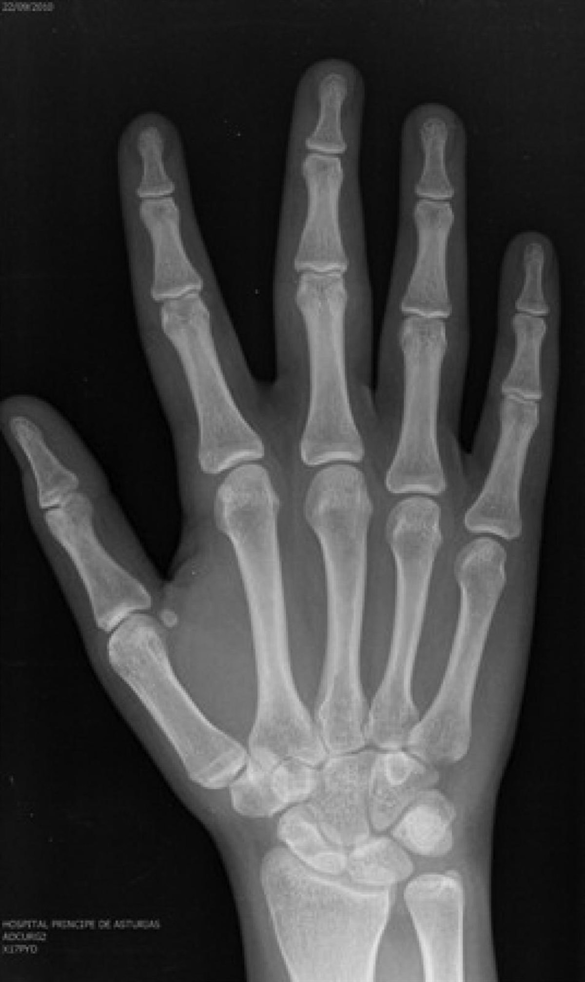
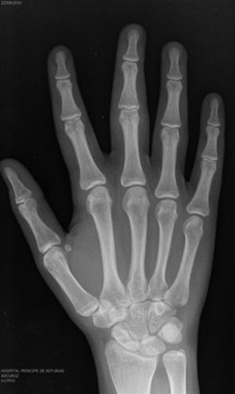
Prueba Radiológica Para Determinar La Edad
DEFENSOR DEL PUEBLO/EP
Europa Press Sociedad
Actualizado: miércoles, 28 septiembre 2011 13:12

MADRID 28 Sep. (EUROPA PRESS) -

Un inmigrante puede ser adulto o adolescente en función del lugar donde le examinen, según denuncia en un informe el Defensor del Pueblo, en el que expone el caso de un joven al que sometieron a pruebas radiológicas para determinar la edad ósea en hospitales de Valencia, Andalucía y Madrid, siendo los resultados diferentes en un intervalo de dos semanas, o el de una mujer subsahariana de raza negra declarada mayor de edad en menos de 24 horas siguiendo criterios para varones blancos.

Bajo el título '¿Menores o adultos? Procedimientos para la determinación de la edad', la institución que dirige María Luisa Cava de Llano ofrece un catálogo de deficiencias detectadas en estos procedimientos, a través de la exposición de casos prácticos, las opiniones de expertos médicos, representantes de administraciones, Fiscalía y ONG.

De hecho, una de cada diez quejas recibidas en la Institución, en los tres últimos años, relacionadas con la inmigración y la extranjería tuvieron que ver con estos jóvenes que, al entrar en España sin referentes adultos se encuentran en una situación

de riesgo y desamparo.

La falta de rigor científico en los procedimientos para determinar la edad de los menores extranjeros no acompañados es una de las conclusiones de este trabajo, en el que se advierte de que en muchos casos les someten exclusivamente a una única prueba, cuando los expertos indican que el proceso de estimación debe ser el resultado del trabajo de diversos especialistas --radiólogos, forenses, médicos y psicólogos, entre otros--.

El informe no sólo se cuestiona el tipo de pruebas médicas que se realizan en los supuestos de extranjeros indocumentados cuya minoría de edad pueda resultar dudosa en las diferentes administraciones y centros hospitalarios, sino también la asistencia legal y el consentimiento informado.

Además, aunque la Ley de Extranjería establezca claramente la competencia del fiscal para ordenar el examen a los jóvenes, no parece ser entendida así en la práctica en todos los casos, pues en ocasiones es la entidad de protección de menores la que toma la iniciativa y realiza pruebas médicas para determinar la edad del menor que tiene bajo su guarda para agilizar el procedimiento.

(HABRÁ AMPLIACIÓN)

Contenido patrocinado