Descubren que bacterias de microbiota pueden impulsar la metástasis en cáncer colorrectal

Logran reducir un 30% el crecimiento del tumor en ratones con antibióticos específicos

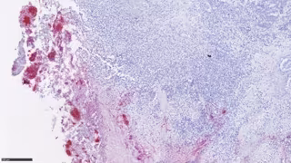
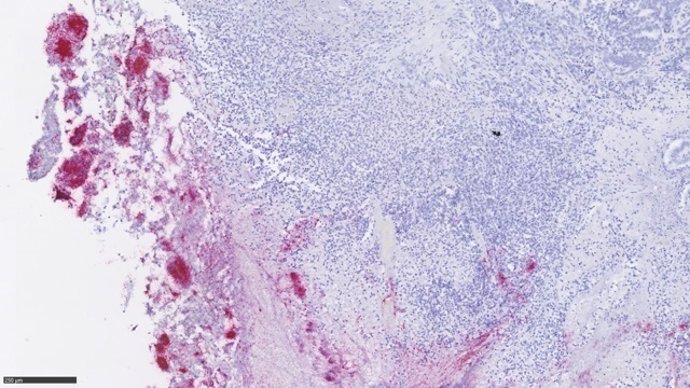
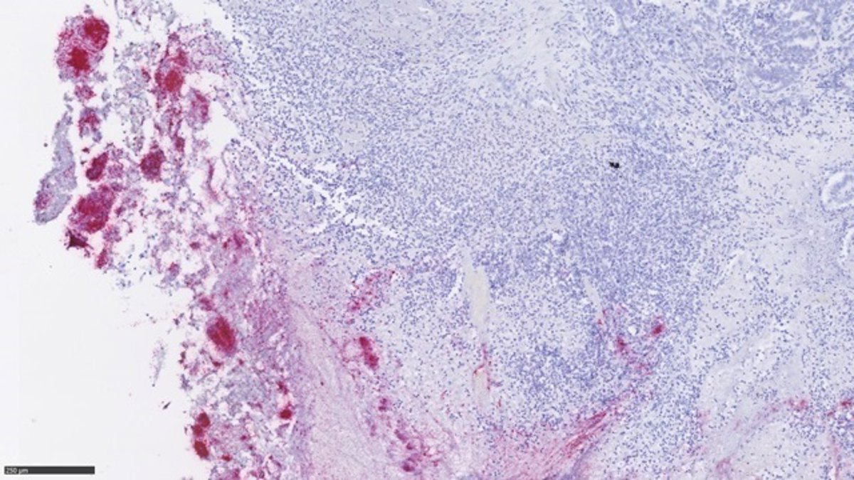
Imagen de un tumor colorrectal con un gran número de Fusobacterias, en rojo
VHIO
Europa Press Catalunya
Actualizado: jueves, 23 noviembre 2017 20:02

BARCELONA, 23 Nov. (EUROPA PRESS) -

Investigadores del Vall d'Hebron Instituto de Oncología (VHIO) han participado en un estudio multicéntrico internacional que ha descubierto que algunas bacterias de la microbiota intestinal podrían impulsar metástasis al hígado en casos de tumor de cáncer colorrectal, ha publicado la revista 'Science'.

El mayor conocimiento de estas bacterias abre la puerta a nuevos tratamientos con antibióticos combinados con quimioterapia, que tendrían que probarse en estudios clínicos, después de que los científicos hayan logrado reducir un 30% el crecimiento de los tumores tratándolos con antibióticos en ratones, ha explicado a Europa Press el jefe del grupo de Oncología Molecular del VHIO, Paolo Nuciforo.

Liderado por el Dana-Farber Cancer Institute, el estudio ha aclarado que las fusobacterias, un tipo de bacterias de la microbiota que suelen estar en la cavidad oral, pueden crecer en otros sitios en condiciones de enfermedad e inflamación, como tumores, después de encontrarlas en cáncer colorrectal.

Con una tecnología que desarrollaron y que actúa como una sonda celular, han descubierto que estas bacterias se encuentran dentro de la célula, tanto en el tumor como en la metástasis: "Es como si la célula tumoral está infectada con este 'bicho', y esto determina un cambio de programación de las células para que puedan crecer más", lo que también se relacionaría con la producción de metástasis.

A partir de estos datos, probaron si se podía disminuir o afectar el crecimiento del tumor tratándolo con antibiótico específico, en modelos avatar de tumores humanos infectados con fusobacterio implantados en ratones, y comparando los resultados de los antibióticos con los de placebo, lograron una reducción del 30% de la crecida tumoral.

CREA AMBIENTE FAVORABLE

El trabajo, en el que han participado también otros profesionales del Campus Vall d'Hebron, junto a cinco centros estadounidenses, ha comparado la microbiota en el tumor primario del cáncer y en la metástasis hepática del mismo paciente, y han detectado que ambas microbiotas son "básicamente las mismas".

"Supondría que la bacteria, para crecer en el hígado, tiene que crear un microambiente favorable, el mismo que tiene en el tumor primario en que se ha desarrollado", ha descrito Nuciforo.

Anteriores estudios habían asociado un aumento de fusobacterias en pacientes con tumor en comparación con otros que no lo tienen, ante lo que Nuciforo ha planteado varias hipótesis: que pueda inducir un aumento de la inflamación local y se genere el tumor, que pueda producir toxinas que dañen células tumorales, o que pueda englobarse en las células tumorales y activar su crecimiento.

PAPEL DE LA MICROBIOTA EN EL CÁNCER

El líder del grupo del VHIO ha explicado que seguirán trabajando en la línea actual, ya que "queda claro que la microbiota tiene un papel importante en el desarrollo del cáncer y muy probablemente lo tendrá en el tratamiento del cáncer".

Al ser preguntado por el efecto que podrían tener las alteraciones en la microbiota producidas por cambios en la alimentación, ha afirmado que no tienen actualmente datos de cómo los alimentos y los factores externos pueden afectar a las fusobacterias en concreto.

"Se conoce que la alimentación puede cambiar la microbiota", y que una microflora normal puede volverse patológica, y puede generar inflamaciones y tumores, y ha añadido que el papel de los factores externos dificulta también el estudio de la microbiota, poblada por millones de bacterias.

Artículos Relacionados

Últimas noticias sobre estos temas

Contenido patrocinado