Restos óseos acreditan alargamiento craneal en bebés hace miles de años

Depresión postcraneal documentada en restos óseos milenarios de bebés hallados en China
AMERICAN JOURNAL OF PHYSICAL ANTHROPOLOGY (2019).
Europa Press Ciencia
Actualizado: lunes, 8 julio 2019 17:05

   MADRID, 8 Jul. (EUROPA PRESS) -

   Algunos de los ejemplos más antiguos de alteración de las características físicas del cráneo en bebés han sido encontrados en un antiguo enterramiento al noreste de China.

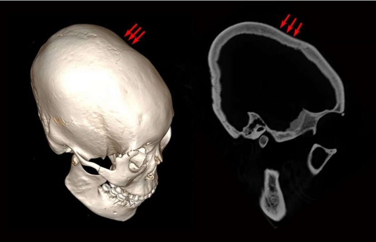
   A lo largo de la historia, la modificación craneal se ha realizado atando las cabezas de los bebés cuando sus cráneos aún están blandos. En la mayoría de los casos, el objetivo era alargar el cráneo, de hecho, todavía se practica en algunas partes del mundo. Las ataduras han sido típicamente en forma de tela o tablas de madera. No se sabe por qué muchas culturas tempranas que participaron en esta práctica, pero algunas en el campo han sugerido que es probablemente una forma de marcar a alguien como perteneciente a una élite o parte especial de la sociedad.

   En este nuevo esfuerzo, publicado en el American Journal of Physical Anthropology, los investigadores estaban estudiando los restos de esqueletos extraídos de un sitio llamado Houtaomuga. Se cree que el sitio fue una antigua tumba china; los arqueólogos trabajaron en el sitio desde 2011 hasta 2015. Todos los esqueletos estaban en una tumba de forma vertical, y no hubo sesgos de género obvios para la modificación craneal.

   Se encontraron veinticinco esqueletos en total, 11 de los cuales tenían evidencia de modificación craneal intencional. Cuatro de los cráneos eran de hombres adultos, uno era de una hembra adulta, y el resto eran de niños. Los huesos no se colocaron en la tumba al mismo tiempo, sin embargo, se enterraron a lo largo de 7.000 años, desde hace 12.000 a 5.000 años.

   Los investigadores informan que había muy poca evidencia que pudiera proporcionar una explicación para la unión de las cabezas de los bebés, pero sugieren que es probable que sea un indicador de riqueza o alto estatus. Algunos de los esqueletos fueron enterrados con artefactos que sugerían tanto, como la cerámica. También informan que planean continuar excavando en las inmediaciones de Houtaomuga para averiguar si hay otras tumbas en el área y, de ser así, si tienen más ejemplos de modificaciones craneales antiguas.

Últimas noticias sobre estos temas

Contenido patrocinado