Osakidetza diagnosticó 234 tumores en el año 2010 gracias al programa de detección precoz de cáncer de colorrectal

Más de 70.000 personas de entre 50 y 69 años participaron en 2010 en el programa de detección precoz de cáncer de colorrectal

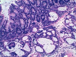
Tumor de colon cuyo crecimiento está inhibico con enoxacina
IDIBELL
Europa Press País Vasco
Actualizado: miércoles, 30 marzo 2011 17:23

VITORIA, 30 Mar. (EUROPA PRESS) -

Osakidetza detectó durante el año 2010 un total de 234 tumores gracias al programa de detección precoz del cáncer colorrectal, puesto en marcha hace dos años.

En un comunicado, el Servicio Vasco de Salud ha explicado que durante el pasado curso se realizaron un total de 71.793 pruebas a personas de entre 50 y 69 años, entre las que se detectaron 1.449 lesiones premalignas.

Para Osakidetza, el Programa de detección precoz del cáncer colorrectal "responde a la necesidad de prevenir este tipo de cáncer, el más frecuente en hombres y mujeres en Euskadi".

En cuanto al programa, éste consiste en la detección de sangre oculta en heces mediante una prueba que se realiza en el domicilio. La muestra se entrega en el Centro de Salud y los resultados se envían a la persona interesada por correo.

En caso positivo, aproximadamente el 7 por ciento de las personas que participan, se les indica que vayan a su médico de atención primaria que les aconsejará la realización de una colonoscopia en el hospital de referencia.

A las personas cuyas muestras han dado resultado negativo, se les vuelve a invitar 2 años después. En 2011 se animará a que repitan la prueba aquellos casos que dieron negativo en 2009.

En la actualidad participan en el programa más de 60 centros de salud y siete hospitales de la comarcas sanitarias Ekialde, Mendebalde, OSI Bidasoa (Gipuzkoa), Ezkerraldea-Enkarterri, Uribe (Bizkaia) y Álava.

Sin embargo, Osakidetza ha recordado que "la mejor forma de prevenir el cáncer colorrectal es desarrollar hábitos de vida saludable; con una dieta equilibrada baja en grasas y proteínas; realizando ejercicio físico moderado y controlado; evitando el alcohol y de forma muy especial el tabaco.

Contenido patrocinado