Los pacientes infectados por Aspergillus siguen estables y empiezan las labores de higienización en UCI de Fuenlabrada

Europa Press Madrid
Actualizado: lunes, 13 noviembre 2017 17:08

FUENLABRADA 13 Nov. (EUROPA PRESS) -

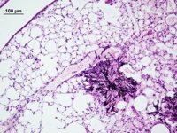
Los dos pacientes infectados por el hongo Aspergillus en el Hospital Universitario de Fuenlabrada permanecen "estables" y no han registrados grandes cambios en las últimas 48 horas, según fuentes del centro.

Se trata, han precisado, de pacientes "de larga estancia" que están sometidos a tratamientos médicos después de que se detectase la infección por Aspergillus.

Los dos pacientes --uno de 60 y otro de 80 años-- permanecían ingresados en la UCI por una infección tras un postopertorio, uno, y por una infección general, el otro.

Mientras, ya se han iniciado las labores de limpieza e higienización de la Unidad de Cuidados Intensivos de adultos con el desmantelamiento para de todo el mobiliario y material, según las mismas fuentes. Ahora, se procederá a recoger muestras para determinar el origen del foco.

La Dirección del Hospital ha manifestado que esta "limpieza absoluta" y "controles biológicos exhaustivos" se aplicarán incluso a los filtros y sistemas de aireación.

Si todas las pruebas son negativas, la UCI se reabrirá en "un periodo de tiempo corto", según los responsables, que no han dado un plazo exacto de tiempo.

Artículos Relacionados

Últimas noticias sobre estos temas

Contenido patrocinado