Un inmigrante puede ser adulto o adolescente en función del lugar donde le examinen, según denuncia el Defensor

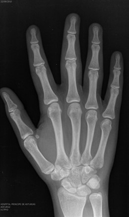
Prueba Radiológica Para Determinar La Edad
DEFENSOR DEL PUEBLO/EP
Europa Press Sociedad
Actualizado: miércoles, 28 septiembre 2011 14:44

MADRID 28 Sep. (EUROPA PRESS) -

Un inmigrante puede ser adulto o adolescente en función del lugar donde le examinen, según denuncia en un informe el Defensor del Pueblo, en el que expone el caso de un joven al que sometieron a pruebas radiológicas para determinar la edad ósea en hospitales de Valencia, Andalucía y Madrid, siendo los resultados diferentes en un intervalo de dos semanas, o el de una mujer subsahariana de raza negra declarada mayor de edad en menos de 24 horas siguiendo criterios para varones blancos.

Bajo el título '¿Menores o adultos? Procedimientos para la determinación de la edad', la institución que dirige María Luisa Cava de Llano ofrece un catálogo de deficiencias detectadas en estos procedimientos, a través de la exposición de casos prácticos, las opiniones de expertos médicos, representantes de administraciones, Fiscalía y ONG. "Es información de primera mano", ha destacado.

De hecho, una de cada tres quejas recibidas en la Institución, en los tres últimos años, relacionadas con la inmigración y la extranjería tuvieron que ver con estos niños que son tomados por adultos y quedan así en situación de desamparo: no reciben protección de los servicios sociales y, si su país de origen tiene convenio con España, acaban siendo repatriados junto a compatriotas mayores de edad. En total, la Institución ha revisado entre 400 y 500 expedientes.

En muchos de ellos se produjeron irregularidades que Cava de Llano atribuye a la falta de criterios homogéneos para la determinación de la edad en todo el territorio nacional y a la inoperancia del Registro de Menores Extranjeros no Acompañados, previsto en la Ley de Extranjería y que ni el Ministerio del Interior puso en funcionamiento cuando estaba bajo su competencia ni la Fiscalía ha activado desde que se le atribuyó su gestión en diciembre del año pasado.

Sin este archivo, un niño puede ser sometido a la prueba repetidamente en distintas Comunidades Autónomas, lo que implica que recibe radiación de forma reiterada. Además, conforme ha recordado Cava de Llano "un niño puede ir pasando de una comunidad a otra sin que nadie tenga constancia de su situación". "Si no se registran, no cuentan", ha sentenciado.

Se suma además, la "falta de rigor científico" en los procedimientos para determinar la edad. El informe advierte de que en muchos casos les someten exclusivamente a una única prueba, cuando los expertos indican que el proceso de estimación debe ser el resultado del trabajo de diversos especialistas --radiólogos, forenses, médicos y psicólogos, entre otros--.

En la actualidad, la práctica más extendida es una radiografía de la muñeca, con la que el radiólogo deduce la edad del sujeto, sin necesidad de verle, aplicando unas tablas estadísticas de crecimiento elaboradas en los años cincuenta en Estados Unidos sobre varones de raza blanca. El resultado "nunca es exacto" y arroja una horquilla que puede llegar a ser de más de tres años, de modo que un joven de 16 puede ser tomado por un adulto de 19. Por eso, Cava de Llano ha reclamado que todas las pruebas sean interpretadas por un especialista que, además, examine al joven personalmente.

El informe no sólo cuestiona el tipo de pruebas médicas a menores indocumentados, sino que alerta, además, de las que se practican a niños que sí tienen un pasaporte e incluso un certificado de nacimiento expedido en su país, documentación que se da por falsa sin más comprobación. La Alta Institución exige que en caso de sospechar falsedad documental, la Fiscalía interponga una denuncia ya que desde la última reforma del Código Penal se trata de un delito sobre el que debe pronunciarse un juez.

SE DEBE FALLAR EN FAVOR DEL MENOR

Otra de las cuestiones sobre las que avisa el informe es la relativa a asistencia legal y consentimiento informado. Cava de Llano ha exigido una reforma de la Ley de Extranjería para que los niños dispongan de un letrado desde el momento de la realización de las pruebas de edad y estén acompañados en todo el procedimiento.

En este sentido, ha recordado que la legislación nacional e internacional en materia de menores establece que en caso de duda, siempre se debe fallar en beneficio del menor y, actualmente se falla en favor de la administración y se dicta la expulsión del inmigrante al que se han atribuido 18 años, sin tener en cuenta que, con el error de la prueba, podría no haber cumplido ni los 15. Tampoco se resuelve en favor del menor cuando este se niega a realizarse las radiografías, ya que en muchos casos, ante la negativa se da por sentado que es un adulto, según el informe.

Además, el Defensor del Pueblo recuerda que aunque la Ley de Extranjería establezca claramente la competencia del fiscal para ordenar el examen a los jóvenes, no parece ser entendida así en la práctica en todos los casos, pues en ocasiones es la entidad de protección de menores la que toma la iniciativa y realiza pruebas médicas para determinar la edad del menor que tiene bajo su guarda para agilizar el procedimiento.

Esta problemática tiene su origen, según los asesores del Defensor del Pueblo, en la llegada de miles de personas a las costas andaluzas y canarias durante los años 2006 y 2007, que, en muchos casos, no fueron correctamente identificadas y que fueron trasladados a la Península en calidad de adultos. Estos son los jóvenes que en los últimos dos años se han ido descubriendo como menores de edad pese al tiempo transcurrido, y han sido sometidos a pruebas radiológicas en las comunidades autónomas entre 2008 y 2009.

En paralelo, se da otro problema que "preocupa muchísimo" a la institución y es el de las víctimas de trata. Según explican desde el Defensor del Pueblo, en las pateras también llegan niñas, sin embargo, no reconocen ser menores de edad y con el tiempo, "se les pierde la pista". Esta problemática será objeto de un informe que Cava de Llano presentará a las Cortes en la próxima legislatura y que sostiene que Motril es uno de los puertos de entrada a Europa de víctimas africanas de trata con fines de explotación sexual, en muchos casos, menores de edad.

Contenido patrocinado