Un depredador unicelular tiene un 'ojo' similar al humano

Plancton con ojo
UBC
Europa Press Ciencia
Actualizado: miércoles, 1 julio 2015 19:05

   MADRID, 1 Jul. (EUROPA PRESS) -

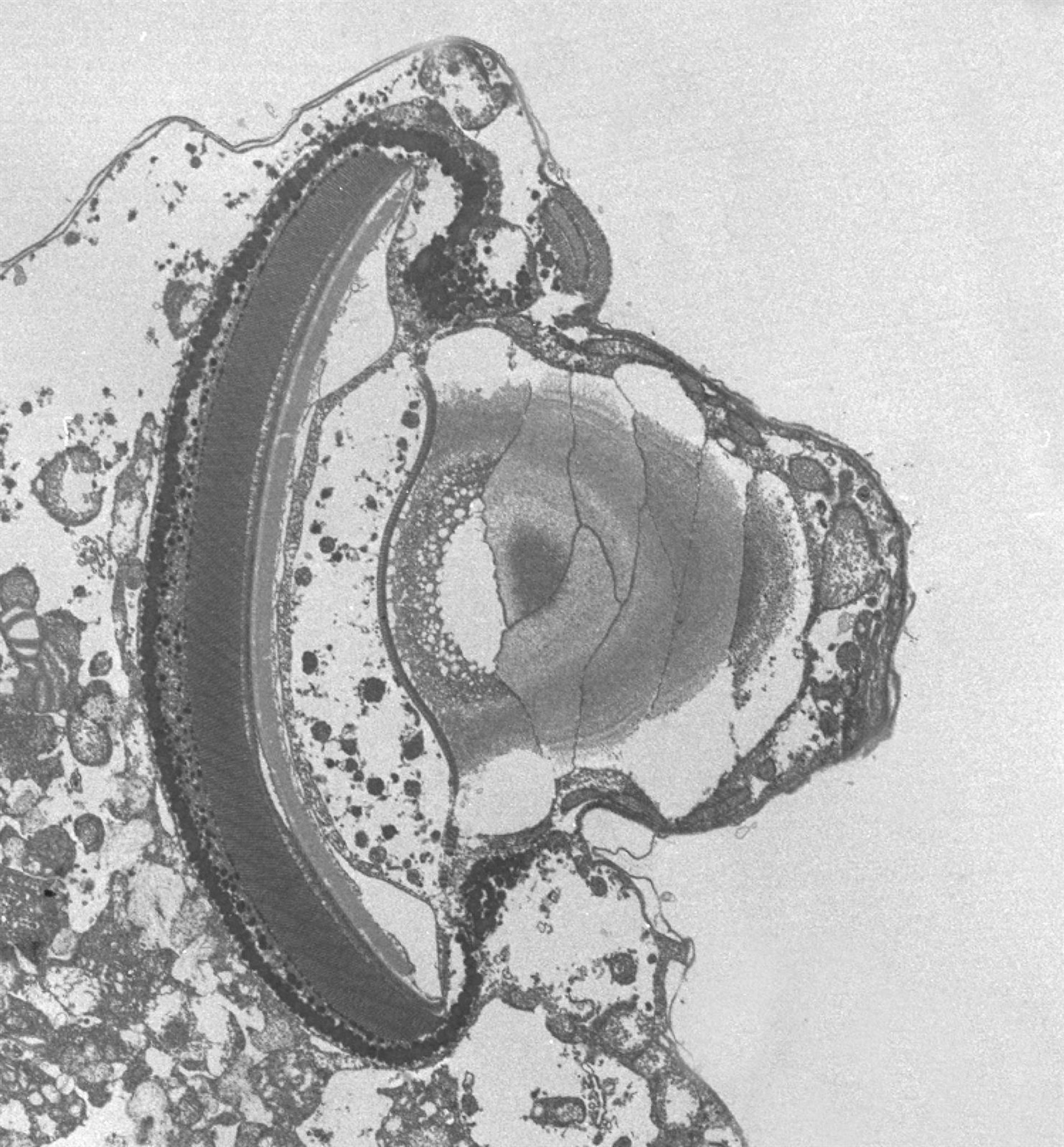
   Un plancton marino unicelular ha desarrollado una versión en miniatura de un ojo multicelular, posiblemente para ayudar a ver mejor a su presa.

   Este es el resultado de una investigación de la Universidad de Columbia Británica (UBC, por sus siglas en inglés), en Vancouver, Canadá, y que se publica este miércoles en la revista 'Nature'.

   De hecho, el 'ocelloid' en el depredador planctónico se parece tanto al ojo complejo que en su origen fue confundido con el ojo de un animal que el plancton había comido.

   "Es una estructura increíblemente compleja para un organismo unicelular", afirma el autor principal Greg Gavelis, estudiante de doctorado de Zoología en la UBC. "Contiene una colección de orgánulos subcelulares que se parecen mucho a las lentes, la córnea, el iris y la retina de los ojos multicelulares que tienen los seres humanos y otros animales más grandes", especifica.

   Los científicos aún no saben exactamente cómo el plancton marino, llamado 'warnowiids', utiliza el ojo. Los 'Warnowiids' emplean pequeñas estructuras en forma de arpón para cazar células en el plancton, muchas de ellas transparentes.

   Los investigadores especulan que el ojo ayuda a los 'warnowiids' a detectar cambios en la luz a su paso por la presa transparente. La estructura podría enviar mensajes químicos a otras partes de la célula, mostrándoles en qué dirección cazar.

   "La organización interna del componente de la retina del 'ocelloid' es una reminiscencia de los filtros de polarización en las lentes de cámaras y gafas de sol", explica el zoólogo de la UBC Brian Leander, autor principal del artículo. "Tiene cientos de membranas apretadas alineadas en paralelo", agrega.

   Los investigadores --incluyendo el microbiólogo Patrick Keeling y el virólogo Curtis Suttle, ambos de la UBC-- recogieron muestras de' warnowiids' frente a las costas de Columbia Británica y Japón.

   El equipo analizó la estructura similar al ojo con microscopía de última generación en el Centro de Alto Rendimiento Fenogenómico en la UBC. Los microscopios permiten reconstruir estructuras tridimensionales a nivel subcelular.

   El trabajo arroja nueva luz sobre cómo organismos muy diferentes --en este caso 'warnowiids' y animales-- pueden desarrollar rasgos similares en respuesta a su entorno, un proceso conocido como evolución convergente.

   "Cuando vemos tal complejidad estructural similar a fundamentalmente diferentes niveles de organización en linajes que están muy lejanamente relacionados, entonces entendemos mucho más profundamente la convergencia", concluye Leandro.

Contenido patrocinado