La CEU UCH logra reducir las tinciones negras de los dientes con fototerapia antimicrobiana

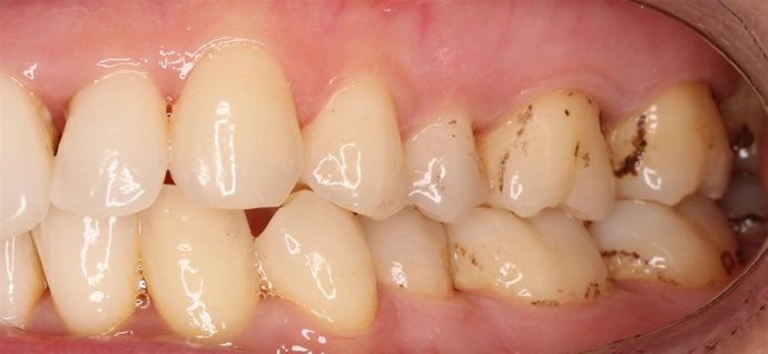
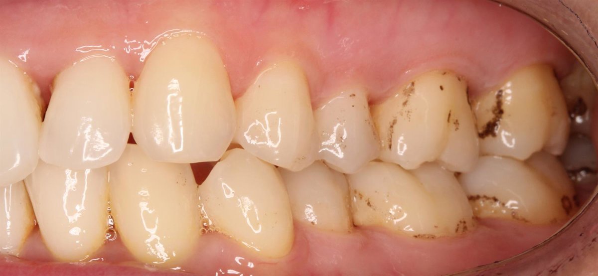
 Aspecto De Las Pigmentaciones Negras En El Esmalte Próximo A Las Encías
UCH-CEU
Europa Press C. Valenciana
Actualizado: jueves, 17 mayo 2018 11:07

VALÈNCIA 17 May. (EUROPA PRESS) -

Investigadores de la CEU UCH han testado la eficacia de la fototerapia antimicrobiana para eliminar las tinciones negras de los dientes en un trabajo publicado por la revista científica 'British Dental Journal Open', del grupo editorial Nature. El estudio ha sido realizado con un dispositivo blanqueador dental de uso doméstico de luz azul de baja intensidad, "demostrando su eficacia al retrasar la reaparición de estas pigmentaciones en el esmalte más cercano a las encías".

Según ha destacado la institución académica en un comunicado, este tipo de manchas dentales son "altamente recurrentes y antiestéticas", por lo que pueden llegar a influir en la calidad de vida de quienes las padecen. La fototerapia antimicrobiana se está convirtiendo en una de las terapias "más prometedoras" como alternativa al uso de antibióticos para combatir, mediante luz y oxígeno, a las bacterias multirresistentes a los fármacos conocidos, especialmente en infecciones superficiales, como las cutáneas.

En el ámbito odontológico, esta técnica está comenzando a aplicarse en la superficie de los dientes para la eliminación de las bacterias causantes de las pigmentaciones negras extrínsecas en el esmalte. Investigadores de la Universidad CEU Cardenal Herrera de Valencia han aplicado esta técnica a un grupo de pacientes, utilizando un dispositivo blanqueador dental de uso doméstico. Los resultados muestran una reducción del área, el color y la colonización bacteriana de estas manchas negras en la placa dental más próxima a las encías.

Mediante dos únicas sesiones de fototerapia, de ocho minutos de duración cada una, aplicadas a un total de 31 pacientes adultos voluntarios de la Clínica Universitaria Odontológica de la CEU UCH, el equipo investigador ha logrado una reducción de las manchas oscuras, tanto en sus dimensiones como en su tonalidad.

Según destacan los investigadores de la CEU UCH autores del estudio, "la fototerapia aplicada ha reducido la presencia o el nivel de colonización de las bacterias causantes de estas manchas. Hasta ahora, en este ámbito, no se había propuesto una terapia para intentar erradicarlas con luz azul de baja intensidad".

SIN DOLOR NI MOLESTIAS DENTALES

La investigadora del Oral Microbiology Group de la CEU UCH, Mar Jovani, destaca que este protocolo "constituiría un tratamiento mucho menos agresivo que los habituales en las clínicas odontológicas, como las limpiezas dentales de repetición con ultrasonidos y pastas abrasivas, para la eliminación de las manchas oscuras, que en algunos casos pueden dañar el esmalte y generar hipersensibilidad dental".

Frente a estos métodos, la fototerapia, que desactiva la acción de los microorganismos mediante el uso de luz, es una técnica "mínimamente invasiva y no agresiva, que no causa dolor ni molestias dentales".

Tras las dos sesiones de fototerapia antimicrobiana aplicadas en el estudio realizado en la CEU UCH, el tiempo de reaparición de las manchas negras ha superado los cinco meses de media. "Nuestro objetivo es seguir ampliando el estudio para conseguir establecer el protocolo que sea capaz de erradicarlas completamente. Con estos resultados positivos, ahora estamos más cerca de conseguirlo", ha indicado Jovani.

BACTERIAS CAUSANTES DE LAS MANCHAS

Mediante el análisis del ADN de muestras de placa dental pigmentada de negro, el equipo de la CEU UCH también ha analizado la composición bacteriana de las manchas, identificando las tres bacterias que las causan con más frecuencia y documentando la presencia más elevada de una de ellas: Tannerella forsythia. "Hasta ahora, algunos estudios habían identificado microorganismos presentes en las manchas oscuras mediante métodos microbiológicos y moleculares clásicos. Y no había precedentes de estos estudios en población adulta", ha añadido.

Los resultados de la investigación forman parte de la tesis doctoral de la profesora de los Grados en Odontología y Dentistry de la CEU UCH Amparo Albelda, bajo la dirección de los también profesores Mar Jovani, Chirag Sheth y Verónica Veses, investigadores del Oral Microbiology Group de la CEU UCH.

Últimas noticias sobre estos temas

Contenido patrocinado

Hemeroteca en Valencià d'Europa Press