Diagnostican más de 350 nuevos cánceres de tiroides al año en la Comunitat

Este tipo de cáncer es más frecuente en mujeres y la edad media del diagnóstico es de 53 años

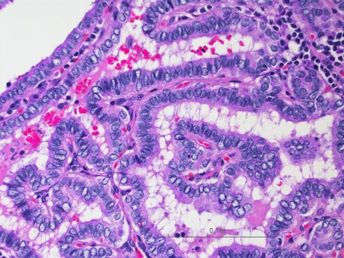
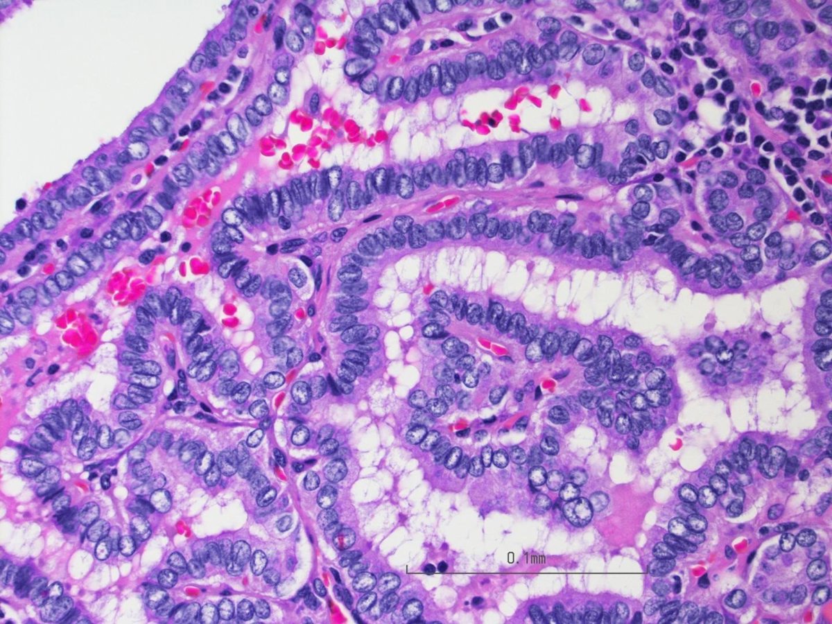
Archivo - Imagen al microscopio de células de cáncer de tiroides, específicamente carcinoma papilar de tiroides, o PTC
Archivo - Imagen al microscopio de células de cáncer de tiroides, específicamente carcinoma papilar de tiroides, o PTC - WENDONG YU / BAYLOR COLLEGE OF MEDICINE. - Archivo
Europa Press C. Valenciana
Publicado: viernes, 23 septiembre 2022 11:43

VALNCIA, 23 Sep. (EUROPA PRESS) -

La incidencia del cáncer de tiroides en la Comunitat Valenciana es de 370 nuevos casos anuales, con una tasa ajustada de 7,03 casos nuevos por 100.000 habitantes, según los últimos datos del Sistema de Información de Cáncer de la Comunitat.

Estos datos se han dado a conocer por el Servicio de Estudios Epidemiológicos y Vigilancia de las Enfermedades No Transmisibles con motivo de la celebración el 24 de septiembre del Día Internacional del Cáncer de Tiroides.

Este tipo de cáncer es más frecuente en mujeres (tasa ajustada de 10,10 frente a 3,87 en hombres). La diferencia estadística significativa por sexos también se aprecia en la incidencia a nivel nacional, según datos de la Red Española de Registros de Cáncer (REDECAN), y a su vez es superior en mujeres con respecto a la Comunitat Valenciana (incidencia de 14,7 por 100.000 habitantes). La edad media al diagnóstico es de 53 años.

Así mismo, según el Sistema de Información de Cáncer Europeo (ECIS por sus siglas en inglés), la incidencia de cáncer de tiroides en Europa, por tasas ajustadas a la población estándar europea, presentan una diferencia estadísticamente significativa superior en ambos sexos a las observadas en la Comunitat Valenciana (18,9 en mujeres y 6,2 en hombres por 100.000).

La supervivencia relativa global es de 93% (95% en mujeres y 88% en hombres). Y no existen diferencias estadísticamente significativas entre sexos en la Comunitat Valenciana, ni tampoco respecto a nivel nacional ni europeo.

En cuanto a la mortalidad, en 2020 se registraron en la Comunitat Valenciana 38 fallecidos por cáncer de tiroides. De ellos, 22 eran mujeres (lo que supone una tasa ajustada de 0,68 por 100.000 habitantes) y 16 hombres (con una tasa de 0,75 por 100.000 habitantes. Tampoco existen diferencias estadísticamente significativas entre sexos en la Comunitat Valenciana, ni a nivel nacional ni europeo.

Últimas noticias sobre estos temas

Contenido patrocinado

Hemeroteca en Valencià d'Europa Press