España atrae "turismo reproductivo" de otros países de la UE por la "flexibilidad" de su marco jurídico en fertilidad

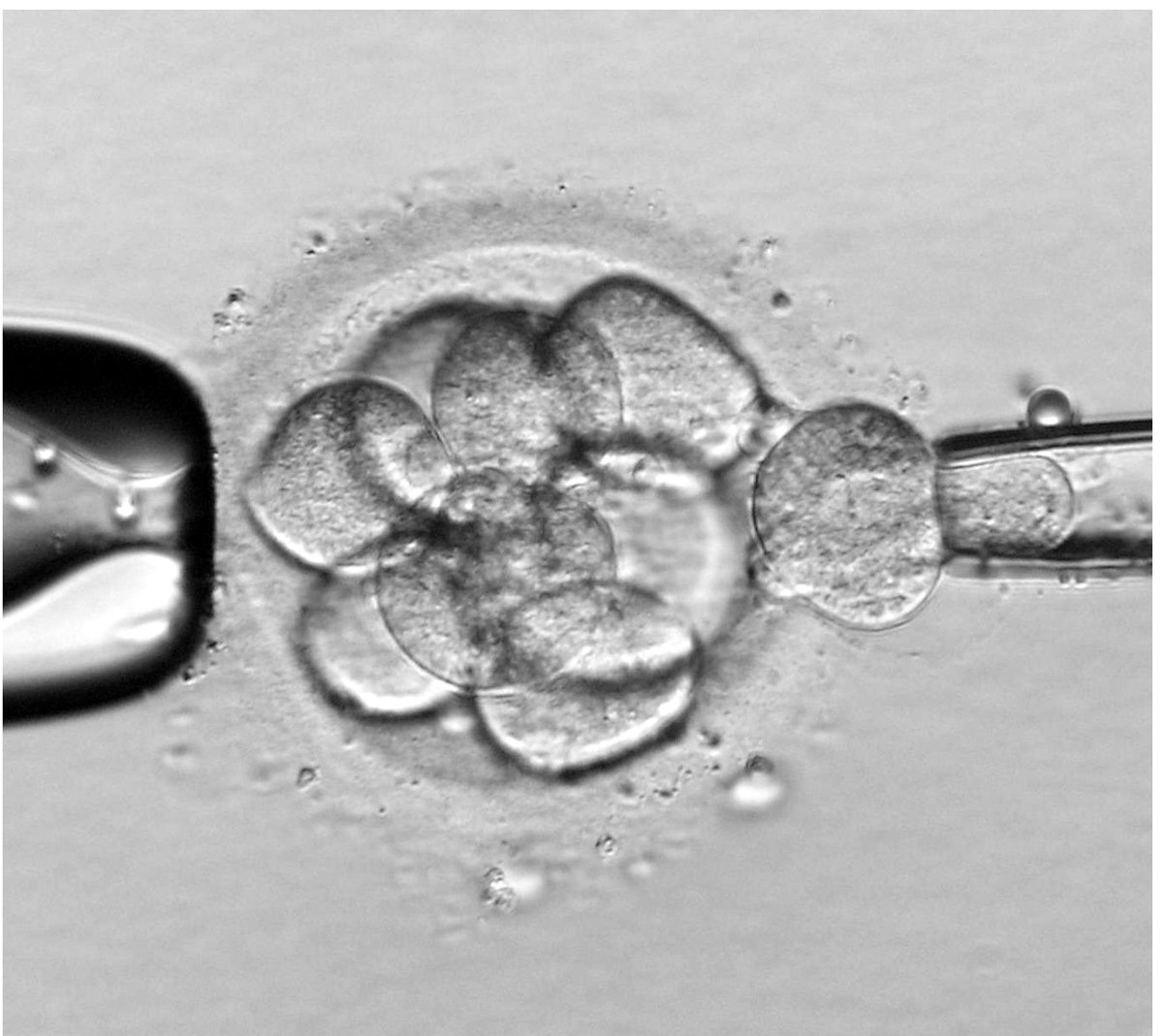
reproducción asistida
FUNDACIÓ PUIGVERT/CEDIDA
Europa Press Turismo
Actualizado: martes, 17 diciembre 2013 22:03

MADRID 6 Nov. (EUROPA PRESS) -

El actual marco jurídico de la fertilidad en España ofrece una "gran flexibilidad" a la hora de permitir la realización de técnicas de reproducción asistida que está favoreciendo lo que los expertos llaman un "turismo reproductivo", protagonizado por parejas de otros países de la Unión Europea que acuden a las clínicas españolas a someterse a tratamientos a los que no pueden acceder en su país de origen.

Así lo ha asegurado el abogado y director de Derecho Sanitario Asesores, Fernando Abellán, durante la Jornada 'Demografía y fertilidad: el reto de ser padres hoy' organizada en Madrid por la Fundación Salud 2000, reconociendo que sobre todo vienen parejas de Italia, Francia o Alemania.

La clave está en la actual Ley de Reproducción Humana Asistida aprobada en 2006, que según Abellán es "especialmente flexible a la introducción de técnicas y posibilidades para los pacientes".

"La situación en España sólo es comparable con Bélgica, donde también hay avalancha de países limítrofes para acceder a técnicas que no pueden conseguir en su país, con la diferencia de que en España el nivel de detalle de la ley es encomiable y clarifica bastante las posibilidad que hay", según ha reconocido.

Una de las particularidades del marco jurídico español es que en el caso de las parejas de hecho no se exige comprobación acreditada de que esos miembros tengan relación afectiva, algo que sí tienen que alegar las parejas en Francia o Italia, donde tienen que justificar que haya una convivencia de al menos dos años.

También permite acceder a técnicas de reproducción asistida a las mujeres sin pareja, algo que tampoco es posible en Francia, Italia o Reino Unido, donde "se pide que haya un varón que se pueda responsabilizar de la descendencia".

Asimismo, y a diferencia que en otros países de nuestro entorno, en España también puede acceder a estas terapias una mujer viuda, incluso con gametos de su marido si la muerte era esperada, siempre que lo hubiera consentido en vida y no hayan pasado más de 12 meses de su fallecimiento.

"Es verdad que en España hemos tenido cierto retraso en asimilación de derechos sociales, pero aquí hemos cogido la delantera a otros países y estamos en la vanguardia", según Abellán.

No obstante, este experto reconoce que, aunque esto ha permitido que los centros alcancen unos niveles tecnológicos y de servicios "punteros", también nos ha puesto "en el punto de mira" de muchas sociedades científicas europeas y colectivos de otros países, "que nos miran con cierto recelo porque no se han activado algunos mecanismos de control que son aún tarea pendiente de la Administración".

EL REGISTRO NACIONAL DE DONANTES, AÚN SIN PONER EN MARCHA

En este sentido, ha lamentado que aún no se haya puesto en marcha el Registro Nacional de Donantes, lo que permitiría "dar una credibilidad" a la realización de estas técnicas "en un marco de calidad".

En el mismo foro, la subdirectora adjunta de la Cartera Básica de Servicios del Ministerio del Ministerio de Sanidad, Servicios Sociales e Igualdad, Maravillas Izquierdo, ha confirmado que su departamento tiene previsto "dar un empujón importante" a este registro, al tiempo que también se están revisando las condiciones de acceso a todas estas terapias en el Sistema Nacional de Salud (SNS).

Sobre esto último, ha destacado que se busca que todas las comunidades tengan "el mismo grado de implantación" de las diferentes técnicas existentes, algo que todavía no se ha conseguido.

"Todas las comunidades tienen todas las técnicas, pero el grado de implantación varía. Por eso, se insiste en que los criterios de acceso sean los mismos y se basen en la eficiencia y la efectividad de los recursos", ha explicado Izquierdo.

Además, ha añadido la representante del Ministerio, también se está priorizando el acceso a estas técnicas en la sanidad pública ya que "en el momento en que estamos no se puede dar de todo a todos".

Sobre esto último, ha recordado que actualmente estos tratamientos sólo están indicados en la sanidad pública con fines terapéuticos o preventivos, lo que deja fuera a las parejas homosexuales. En estos casos, reconoce Maravilla, "sería algo sustitutivo" y "sería como abrir la puerta a toda cirugía reparadora estética".

Contenido patrocinado