Un experto asegura que el gasto público en Sanidad crecerá "exponencialmente" por el aumento de casos de cáncer

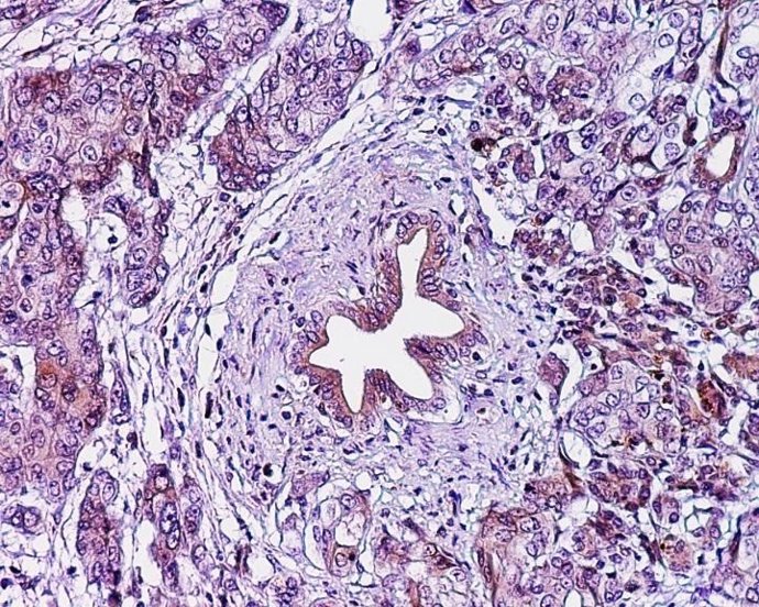
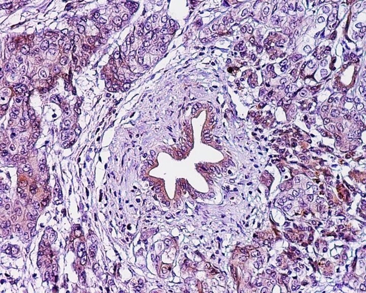
Adenocarcinoma ductal pancreático, cáncer páncreas
EL LABORATORIO DE KEN ZARET, PERELMAN ESCUELA DE M
Europa Press Islas Baleares
Actualizado: viernes, 3 noviembre 2017 17:24


PALMA DE MALLORCA, 3 Nov. (EUROPA PRESS) -

El experto de la Unidad de Cirugía Oncológica del Hospital Quirónsalud Torrevieja y vicepresidente de la Sociedad Española de Oncológica Española (SEOQ), Pedro Bretcha, ha asegurado que el gasto público en Sanidad va a crecer exponencialmente "superando las expectativas" debido al aumento de casos de cáncer.

Según ha explicado el doctor en una entrevista a Europa Press, "el cáncer y el envejecimiento van de la mano", de modo que cuanto mayor esperanza de vida haya, más casos se contabilizarán.

"En algún momento uno de cada tres ciudadanos vamos a tener un cáncer", ha destacado Bretcha, quien ha indicado que con los años se van acumulando mutaciones, "algunas por el simple hecho de estar vivo y otras por agentes externos como el tabaco".

No obstante, el especialista en cirugía oncológica ha afirmado que se están dando importantes avances tecnológicos, como la cirugía robótica, que permite operar a un paciente desde la distancia, mientras el cirujano actúa a través de una interfaz.

CONGRESO ONCOLOGÍA QUIRÚRGICA

El CaixaForum de Palma acogerá el 9 y 10 de noviembre el V Congreso de la Sociedad Española de Oncología Quirúrgica (SEOQ), la organización médica que reúne a los cirujanos especializados en cáncer.

Además, de manera paralela, este año se celebrará la VII Reunión Internacional de Cirugía Oncológica Peritoneal (GECOP).

El congreso dará cabida a mesas de debate, conferencias, casos clínicos interactivos y conferencias de consenso sobre la cirugía oncológica del siglo XXI y sobre el papel que el cirujano tiene en esta nueva era.

También se hablará de las investigaciones más innovadoras y de las herramientas disponibles que asisten al cirujano del cáncer en su toma de decisiones diaria.

Artículos Relacionados

Últimas noticias sobre estos temas

Contenido patrocinado