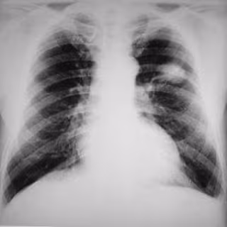
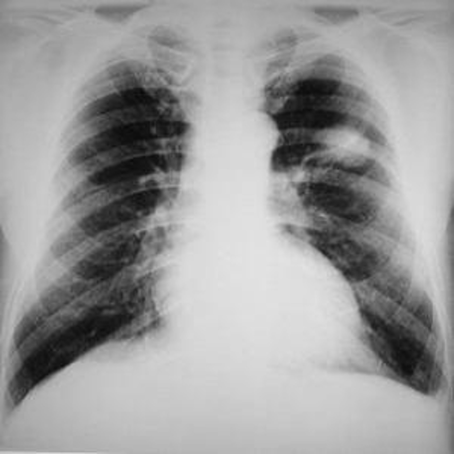
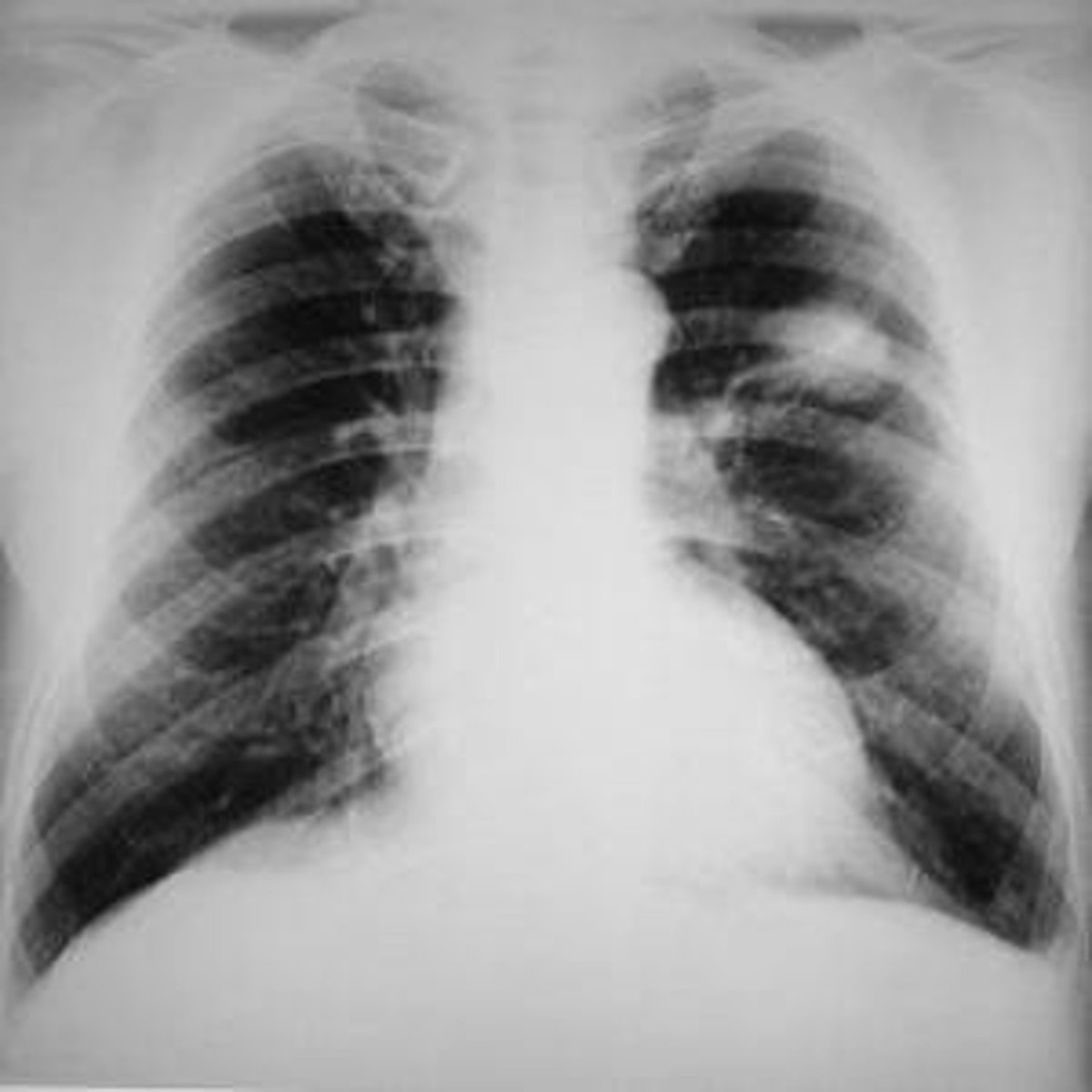
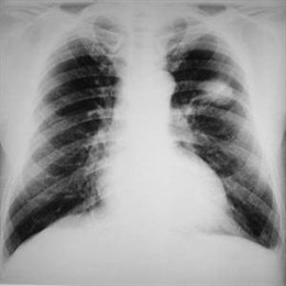
Neumólogos de Tenerife piden a la población que sea consciente de que la tuberculosis sigue vigente en Canarias

Europa Press Nacional
Actualizado: sábado, 22 marzo 2008 19:49

SANTA CRUZ DE TENERIFE, 22 Mar. (EUROPA PRESS) -

Neumólogos de Tenerife piden a la población sea consciente de que la tuberculosis sigue vigente en Canarias, teniendo en cuenta que en las islas existen 500 casos anuales de afectados y, además, el próximo lunes día 24 se celebra el Día Mundial de la Tuberculosis, según informó el Colegio de Médicos de Tenerife a Europa Press.

"Esta cifra podría aumentar en los próximos ejercicios ante la carencia de un programa específico del Ministerio de Sanidad", según advirtió el neumólogo del Hospital Universitario de Nuestra Señora La Candelaria (Tenerife) y miembro del grupo de tuberculosis de la Sociedad Española de Neumología y Cirugía Torácica (SEPAR), José Julián Batista Martín.

Según Batista, la tuberculosis es una enfermedad "contagiosa" que se transmite por las vías respiratorias y, por tanto, requiere un diagnóstico rápido. Además, garantizó que los tratamientos suelen ser eficaces, excepto en pacientes que sufran una resistencia a los medicamentos, y la duración de dicho tratamiento suele ser de seis meses.

LAS CAUSAS DE LA TUBERCULOSIS.

Entre las causas de la TB, destaca la pobreza extrema donde las condiciones de hacinamiento y la desnutrición, favorecen la transmisión de la TB y, también, el sida, que afecta el sistema de defensas y facilita la progresión de la enfermedad.

Otra causa, según Batista, es que la inmigración masiva favorece que haya contagios de personas que proceden de países en subdesarrollo sin medios sanitarios óptimos. Además, la nula o mala aplicación de programas de control que conducen a la propagación sin detectar a tiempo la TB.

"En España cada año hay 12.000 casos nuevos de tuberculosis y en Canarias la cifra se cerró el pasado año en 500. En el archipiélago se considera más importante el tabaquismo y no la tuberculosis", recalcó Batista.

Los datos de SEPAR observan que en Canarias existe un índice menor de afectados, mientras que en otras comunidades como Galicia y Cataluña, la cifra es "más alarmante". El doctor Batista afirmó que esta enfermedad requiere control y atención por parte de las instituciones.

Contenido patrocinado