Científicos españoles han identificado un nuevo biomarcador de respuesta a quimioterapia en cáncer de colon

Abre nuevas perspectivas para la medicina personalizada

Cáncer de colon
UCM
Europa Press Cantabria
Actualizado: lunes, 8 junio 2015 14:43

MADRID, 8 Jun. (EUROPA PRESS) -

Científicos españoles han identificado la presencia de una proteína en el núcleo de las células tumorales como un nuevo marcador de respuesta a la quimioterapia empleada en cáncer de colon, que abre nuevas perspectivas para la medicina personalizada.

El estudio, publicado en la revista 'Oncotarget', fue llevado a cabo por los grupos de Alberto Muñoz, en el Instituto de Investigaciones Biomédicas "Alberto Sols", centro mixto UAM-CSIC, y de Federico Rojo, del Servicio de Anatomía Patológica de la Fundación Jiménez Díaz.

El trabajo ha contado con la colaboración con el Instituto de Oncología del Principado de Asturias, la Universidad de Cantabria y del CNIO en Madrid. Fue liderado por Óscar Aguilera y José Manuel González Sancho, y financiado por el Plan Nacional de Investigación del MINECO y la Comunidad de Madrid.

El cáncer de colon o colorrectal es la neoplasia de mayor incidencia en España, tanto en hombres como en mujeres, con más de 30.000 nuevos casos anuales y un elevado índice de mortalidad.

La supervivencia de los pacientes que son diagnosticados en fase avanzada de la enfermedad no ha mejorado significativamente desde hace muchos años, mientras que la base del tratamiento sigue siendo el uso de la quimioterapia de forma indiscriminada en todos los pacientes.

Aunque el uso de la quimioterapia constituye un beneficio en términos globales, la ausencia de marcadores de su actividad que permitan una adecuada selección de los pacientes susceptibles de beneficiarse de ella (la deseada medicina personalizada) conlleva tratamientos y toxicidades innecesarias y elevados costes sanitarios.

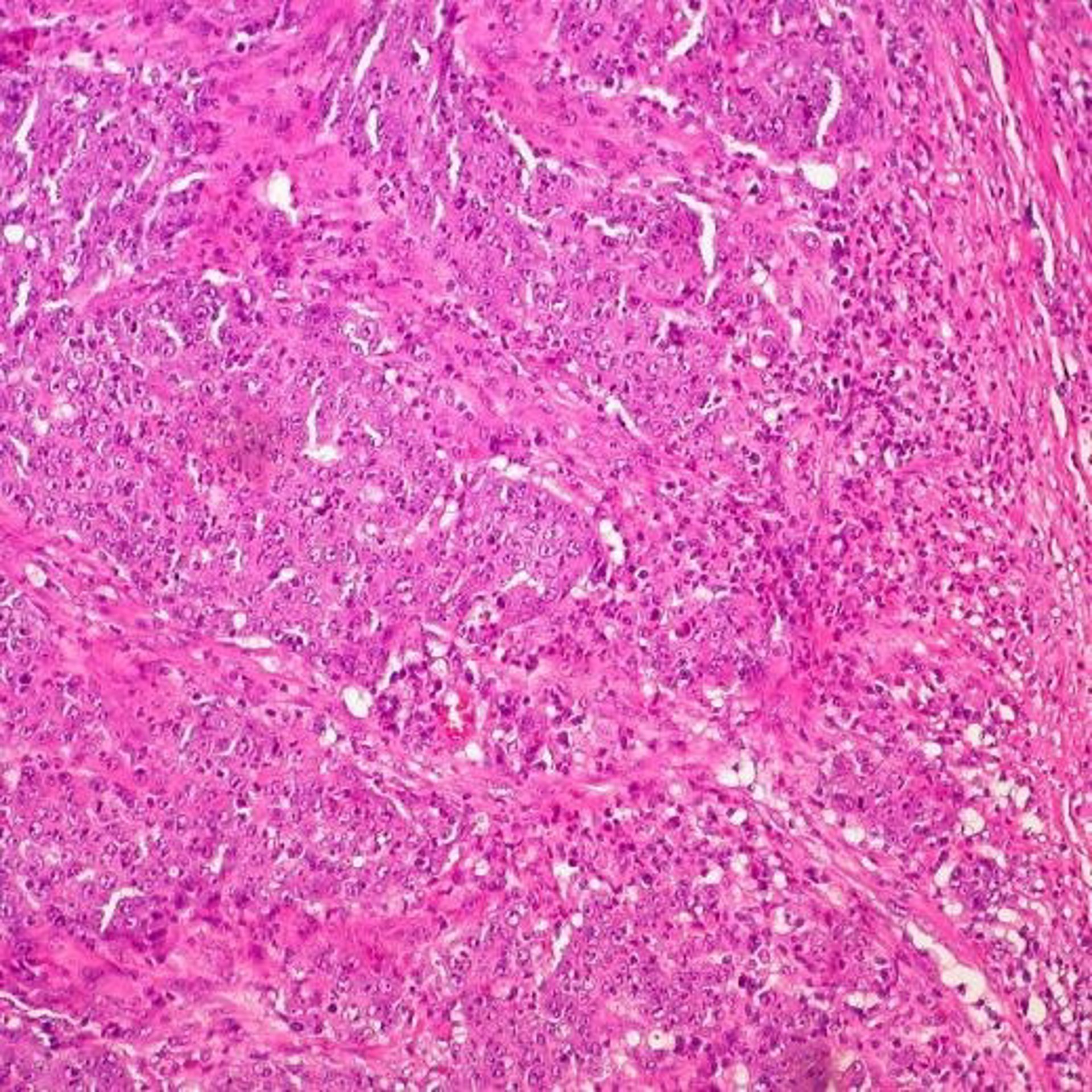
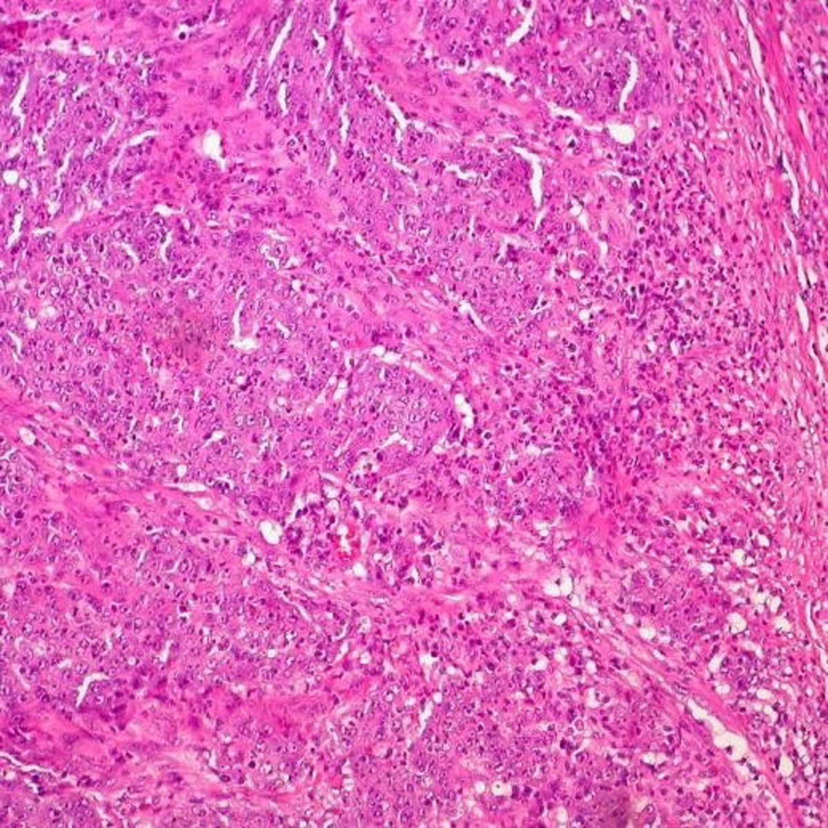
Los investigadores señalan que la expresión de la proteína Dickkopf-1 (DKK-1) en las células de los tumores de colon predice la respuesta de los pacientes a los tratamientos clásicos con quimioterapia.

El trabajo describe la localización de DKK-1 en una amplia serie de 699 tumores de pacientes con cáncer de colon metastásico, así como su relación con la supervivencia global y el período libre de enfermedad tras el tratamiento quimioterápico. Los autores concluyen que la presencia de DKK-1 en el interior del núcleo celular se asocia con peor respuesta al tratamiento y menor supervivencia.

La proteína DKK-1 es conocida como un inhibidor de esta vía actuando en el exterior de la célula, donde impide la unión efectiva de los factores Wnt a sus receptores en la membrana de las células.

Para explicar la inesperada presencia y papel de DKK-1 en el interior del núcleo, los autores investigaron su función en cultivos de células humanas de cáncer de colon.

"DKK-1 se localiza en la cromatina activa, es decir, está asociada a genes que están siendo expresados, y estudios bioquímicos y funcionales han permitido identificar genes regulados por DKK-1 entre los que hay algunos marcadores de células troncales (stem) cancerosas, implicados en la detoxificación de fármacos como ALDH1A1 y REPS2, y otros en proliferación y supervivencia celular", afirman.

Últimas noticias sobre estos temas

Contenido patrocinado